Mouse Cytokeratin 17 (KRT17) Monoclonal Antibody | anti-KRT17 antibody
Cytokeratin 17 (KRT17) (Basal Epithelial Marker) Mouse Monoclonal Antibody
Gene Names
KRT17; PC; K17; PC2; 39.1; CK-17; PCHC1
Reactivity
Human, Rat, Cow, Goat, Pig
Applications
Immunohistochemistry, Immunofluorescence, Flow Cytometry, Functional Assay
Synonyms
Cytokeratin 17 (KRT17), Antibody; Cytokeratin 17 (KRT17) (Basal Epithelial Marker) Mouse Monoclonal Antibody; K17; Keratin Type I Cytoskeletal 17; Keratin-17; KRT17; PCHC1; anti-KRT17 antibody
Host
Mouse
Reactivity
Human, Rat, Cow, Goat, Pig
Clonality
Monoclonal
Isotype
IgG2b, kappa
Clone Number
KRT17/778
Specificity
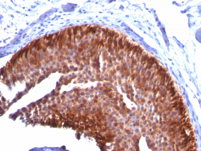
Cytokeratin 17 (CK17) is normally expressed in the basal cells of complex epithelia but not in stratified or simple epithelia. Antibody to CK17 is an excellent tool to distinguish myoepithelial cells from luminal epithelium of various glands such as mammary, sweat and salivary. CK17 is expressed in epithelial cells of various origins, such as bronchial epithelial cells and skin appendages. It may be considered as -epithelial stem cell- marker because CK17 Ab marks basal cell differentiation. CK17 is expressed in SCLC much higher than in LADC. Eighty-five percent of the triple negative breast carcinomas immunoreact with basal cytokeratins including anti-CK17. Also important is that cases of triple negative breast carcinoma with expression of CK17 show an aggressive clinical course. The histologic differentiation of ampullary cancer, intestinal vs. pancreatobiliary, is very important for treatment. Usually anti-CK17 and anti-MUC1 immunoreactivity represents pancreatobiliary subtype whereas anti-MUC2 and anti-CDX-2 positivity defines intestinal subtype.
Form/Format
200ug/ml of Ab purified from Bioreactor Concentrate by Protein A/G. Prepared in 10mM PBS with 0.05% BSA & 0.05% azide. Also available WITHOUT BSA & azide at 1.0mg/ml.
Sequence Length
432
Applicable Applications for anti-KRT17 antibody
IHC (Immunohistochemistry), IF (Immunofluorescence), FCM/FACS (Flow Cytometry)
Cellular Localization
Cytoplasmic
Immunogen
Recombinant full-length human KRT17 protein
Hu-Chromosome Location
17q21.2
Positive Control
T24 cells or Skin. Bladder or Cervix.
Preparation and Storage
Antibody with azide - store at 2 to 8 degree C. Antibody without azide - store at -20 to -80 degree C. Antibody is stable for 24 months. Non-hazardous. No MSDS required.
References
(1) Smedts et. al. Am J Pathol 141: 497, 1992. (2) Smedts et. al. Am J Pathol 140: 601, 1992.(3) Wetzels et. al. Histopathol 20: 295, 1992.
NCBI and Uniprot Product Information
NCBI GI #
NCBI GeneID
NCBI Accession #
NCBI GenBank Nucleotide #
Molecular Weight
46kDa
NCBI Official Full Name
keratin, type I cytoskeletal 17
NCBI Official Synonym Full Names
keratin 17
NCBI Official Symbol
KRT17
NCBI Official Synonym Symbols
PC; K17; PC2; 39.1; CK-17; PCHC1
NCBI Protein Information
keratin, type I cytoskeletal 17
UniProt Protein Name
Keratin, type I cytoskeletal 17
UniProt Gene Name
KRT17
UniProt Synonym Gene Names
CK-17; K17
UniProt Entry Name
K1C17_HUMAN
Customer Reviews
Loading reviews...
Share Your Experience
Similar Products
Product Notes
The KRT17 krt17 (Catalog #AAA62811) is an Antibody produced from Mouse and is intended for research purposes only. The product is available for immediate purchase. The Cytokeratin 17 (KRT17) (Basal Epithelial Marker) Mouse Monoclonal Antibody reacts with Human, Rat, Cow, Goat, Pig and may cross-react with other species as described in the data sheet. AAA Biotech's Cytokeratin 17 (KRT17) can be used in a range of immunoassay formats including, but not limited to, IHC (Immunohistochemistry), IF (Immunofluorescence), FCM/FACS (Flow Cytometry). Researchers should empirically determine the suitability of the KRT17 krt17 for an application not listed in the data sheet. Researchers commonly develop new applications and it is an integral, important part of the investigative research process. It is sometimes possible for the material contained within the vial of "Cytokeratin 17 (KRT17), Monoclonal Antibody" to become dispersed throughout the inside of the vial, particularly around the seal of said vial, during shipment and storage. We always suggest centrifuging these vials to consolidate all of the liquid away from the lid and to the bottom of the vial prior to opening. Please be advised that certain products may require dry ice for shipping and that, if this is the case, an additional dry ice fee may also be required.Precautions
All products in the AAA Biotech catalog are strictly for research-use only, and are absolutely not suitable for use in any sort of medical, therapeutic, prophylactic, in-vivo, or diagnostic capacity. By purchasing a product from AAA Biotech, you are explicitly certifying that said products will be properly tested and used in line with industry standard. AAA Biotech and its authorized distribution partners reserve the right to refuse to fulfill any order if we have any indication that a purchaser may be intending to use a product outside of our accepted criteria.Disclaimer
Though we do strive to guarantee the information represented in this datasheet, AAA Biotech cannot be held responsible for any oversights or imprecisions. AAA Biotech reserves the right to adjust any aspect of this datasheet at any time and without notice. It is the responsibility of the customer to inform AAA Biotech of any product performance issues observed or experienced within 30 days of receipt of said product. To see additional details on this or any of our other policies, please see our Terms & Conditions page.Item has been added to Shopping Cart
If you are ready to order, navigate to Shopping Cart and get ready to checkout.
