Mouse Cytokeratin 19 Monoclonal Antibody | anti-KRT19 antibody
Cytokeratin 19 (Pancreatic Stem Cell Marker)
Gene Names
KRT19; K19; CK19; K1CS
Reactivity
Human, Mouse, Rat. Others not known.
Applications
Immunohistochemistry, Immunofluorescence, Flow Cytometry, Functional Assay
Synonyms
Cytokeratin 19, Antibody; Cytokeratin 19 (Pancreatic Stem Cell Marker); k19; k1cs; Keratin 19 Keratin Type i 40kD; KRT19; anti-KRT19 antibody
Host
Mouse
Reactivity
Human, Mouse, Rat. Others not known.
Clonality
Monoclonal
Isotype
IgG1, kappa
Clone Number
rKRT19/800
Specificity
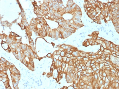
Recognizes a protein of 40kDa, identified as cytokeratin-19 (CK19), which is expressed in sweat gland, mammary gland ductal and secretory cells, bile ducts, gastrointestinal tract, bladder urothelium, oral epithelia, esophagus, and ectocervical epithelium. Anti-CK19 reacts with a wide variety of epithelial malignancies including adenocarcinomas of the colon, stomach, pancreas, biliary tract, liver, and breast. Perhaps the most useful application is the identification of thyroid carcinoma of the papillary type, although 50%-60% of follicular carcinomas are also labeled. Anti-CK19 is a useful marker for detection of tumor cells in lymph nodes, peripheral blood, bone marrow and breast cancer.
Form/Format
200ug/ml of Ab purified from Bioreactor Concentrate by Protein A/G. Prepared in 10mM PBS with 0.05% BSA & 0.05% azide. Also available WITHOUT BSA & azide at 1.0mg/ml.
Sequence Length
400
Applicable Applications for anti-KRT19 antibody
IHC (Immunohistochemistry), IF (Immunofluorescence), FCM/FACS (Flow Cytometry)
Immunogen
Recombinant full-length human KRT19 protein
Cellular Localization
Cytoplasmic
Hu-chromosome Location
17q21.2
Positive Control
MCF-7, HeLa cells, Breast Cancer
Preparation and Storage
Antibody with azide - store at 2 to 8 degree C.
Antibody without azide - store at -20 to -80 degree C.
Antibody is stable for 24 months. Non-hazardous. No MSDS required.
Antibody without azide - store at -20 to -80 degree C.
Antibody is stable for 24 months. Non-hazardous. No MSDS required.
References
van der Velden, L.A., et al. 1993. Cytokeratin expression in normal and (pre)malignant head and neck epithelia: an overview. Head Neck 15: 133-146. Van Eyken, P., et al. 1991. Immunocytochemistry of cytokeratins in primary human liver tumors. APMIS Suppl. 23: 77-85.
NCBI and Uniprot Product Information
NCBI GI #
NCBI GeneID
NCBI Accession #
NCBI GenBank Nucleotide #
Molecular Weight
40kDa
NCBI Official Full Name
keratin, type I cytoskeletal 19
NCBI Official Synonym Full Names
keratin 19
NCBI Official Symbol
KRT19
NCBI Official Synonym Symbols
K19; CK19; K1CS
NCBI Protein Information
keratin, type I cytoskeletal 19
UniProt Protein Name
Keratin, type I cytoskeletal 19
UniProt Gene Name
KRT19
UniProt Synonym Gene Names
CK-19; K19
Customer Reviews
Loading reviews...
Share Your Experience
Similar Products
Product Notes
The KRT19 krt19 (Catalog #AAA214429) is an Antibody produced from Mouse and is intended for research purposes only. The product is available for immediate purchase. The Cytokeratin 19 (Pancreatic Stem Cell Marker) reacts with Human, Mouse, Rat. Others not known. and may cross-react with other species as described in the data sheet. AAA Biotech's Cytokeratin 19 can be used in a range of immunoassay formats including, but not limited to, IHC (Immunohistochemistry), IF (Immunofluorescence), FCM/FACS (Flow Cytometry). Researchers should empirically determine the suitability of the KRT19 krt19 for an application not listed in the data sheet. Researchers commonly develop new applications and it is an integral, important part of the investigative research process. It is sometimes possible for the material contained within the vial of "Cytokeratin 19, Monoclonal Antibody" to become dispersed throughout the inside of the vial, particularly around the seal of said vial, during shipment and storage. We always suggest centrifuging these vials to consolidate all of the liquid away from the lid and to the bottom of the vial prior to opening. Please be advised that certain products may require dry ice for shipping and that, if this is the case, an additional dry ice fee may also be required.Precautions
All products in the AAA Biotech catalog are strictly for research-use only, and are absolutely not suitable for use in any sort of medical, therapeutic, prophylactic, in-vivo, or diagnostic capacity. By purchasing a product from AAA Biotech, you are explicitly certifying that said products will be properly tested and used in line with industry standard. AAA Biotech and its authorized distribution partners reserve the right to refuse to fulfill any order if we have any indication that a purchaser may be intending to use a product outside of our accepted criteria.Disclaimer
Though we do strive to guarantee the information represented in this datasheet, AAA Biotech cannot be held responsible for any oversights or imprecisions. AAA Biotech reserves the right to adjust any aspect of this datasheet at any time and without notice. It is the responsibility of the customer to inform AAA Biotech of any product performance issues observed or experienced within 30 days of receipt of said product. To see additional details on this or any of our other policies, please see our Terms & Conditions page.Item has been added to Shopping Cart
If you are ready to order, navigate to Shopping Cart and get ready to checkout.
