Rabbit anti-Human, Mouse Cytokeratin 19 Monoclonal Antibody | anti-KRT19 antibody
Cytokeratin 19 Antibody
IHC: 1:50-1:200
ICC: 1:50-1:200
FC/FACS: 1:10-1:100
FCM (Flow Cytometry)
(Flow cytometric analysis of MCF-7 cells with Cytokeratin 19 antibody at 1/50 dilution (blue) compared with an unlabelled control (cells without incubation with primary antibody; red). Alexa Fluor 488-conjugated goat anti-rabbit IgG was used as the secondary antibody.)
ICC (Immunocytochemistry)
(ICC staining Cytokeratin 19 in Ags cells (green). The nuclear counter stain is DAPI (blue). Cells were fixed in paraformaldehyde, permeabilised with 0.25% Triton X100/PBS.)
IHC (Immunohistochemistry)
(Immunohistochemical analysis of paraffin-embedded mouse liver tissue using anti-Cytokeratin 19 antibody. Counter stained with hematoxylin.)
IHC (Immunohistochemistry)
(Immunohistochemical analysis of paraffin-embedded human stomach carcinoma tissue using anti-Cytokeratin 19 antibody. Counter stained with hematoxylin.)
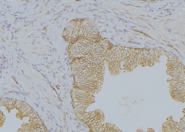
IHC (Immunohistochemistry)
(Immunohistochemical analysis of paraffin-embedded human breast carcinoma tissue using anti-Cytokeratin 19 antibody. Counter stained with hematoxylin.)
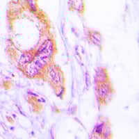
IHC (Immunohistochemistry)
(Immunohistochemical analysis of paraffin-embedded human liver tissue using anti-Cytokeratin 19 antibody. Counter stained with hematoxylin.)
WB (Western Blot)
(Western blot analysis of Cytokeratin 19 on MCF-7 cell lysates using anti- Cytokeratin 19 antibody at 1/10, 000 dilution.)
NCBI and Uniprot Product Information
Customer Reviews
Loading reviews...
Share Your Experience
Similar Products
Product Notes
The KRT19 krt19 (Catalog #AAA29981) is an Antibody produced from Rabbit and is intended for research purposes only. The product is available for immediate purchase. The Cytokeratin 19 Antibody reacts with Human, Mouse and may cross-react with other species as described in the data sheet. AAA Biotech's Cytokeratin 19 can be used in a range of immunoassay formats including, but not limited to, WB (Western Blot), ICC (Immunocytochemistry), IF (Immunofluorescence), IHC (Immunohistochemistry), FCM/FACS (Flow Cytometry). WB: 1:5000-1:10,000 IHC: 1:50-1:200 ICC: 1:50-1:200 FC/FACS: 1:10-1:100. Researchers should empirically determine the suitability of the KRT19 krt19 for an application not listed in the data sheet. Researchers commonly develop new applications and it is an integral, important part of the investigative research process. It is sometimes possible for the material contained within the vial of "Cytokeratin 19, Monoclonal Antibody" to become dispersed throughout the inside of the vial, particularly around the seal of said vial, during shipment and storage. We always suggest centrifuging these vials to consolidate all of the liquid away from the lid and to the bottom of the vial prior to opening. Please be advised that certain products may require dry ice for shipping and that, if this is the case, an additional dry ice fee may also be required.Precautions
All products in the AAA Biotech catalog are strictly for research-use only, and are absolutely not suitable for use in any sort of medical, therapeutic, prophylactic, in-vivo, or diagnostic capacity. By purchasing a product from AAA Biotech, you are explicitly certifying that said products will be properly tested and used in line with industry standard. AAA Biotech and its authorized distribution partners reserve the right to refuse to fulfill any order if we have any indication that a purchaser may be intending to use a product outside of our accepted criteria.Disclaimer
Though we do strive to guarantee the information represented in this datasheet, AAA Biotech cannot be held responsible for any oversights or imprecisions. AAA Biotech reserves the right to adjust any aspect of this datasheet at any time and without notice. It is the responsibility of the customer to inform AAA Biotech of any product performance issues observed or experienced within 30 days of receipt of said product. To see additional details on this or any of our other policies, please see our Terms & Conditions page.Frequently Asked Questions
What is Cytokeratin 19 and what role does it play in epithelial cells?
Cytokeratin 19 is a structural protein found in epithelial cells. It helps maintain cell shape and strength. In epithelial tissues, it supports the internal framework of the cell and helps cells stay connected and stable.
Is Cytokeratin 19 a reliable marker for detecting carcinoma or epithelial-derived tumors?
Yes, Cytokeratin 19 is a reliable marker for detecting carcinoma or epithelial-derived tumors. Carcinoma originates in the epithelial cells, and Cytokeratin 19 is often highly expressed in these cancers.
Can this Cytokeratin 19 antibody be used for immunofluorescence or Western blot analysis?
Yes, these Cytokeratin 19 antibodies can be used for immunofluorescence or Western blot analysis. It helps researchers see where CK19 is located in cells and measure how much of the protein is present.
What is the difference between Cytokeratin 19 and other cytokeratins like CK8 or CK18?
CK19 is smaller, lacks a tail, and often stands alone. CK8 and CK18 pair up and suit different epithelial cell types and cancer.
Is Cytokeratin 19 commonly studied in liver, breast, or thyroid cancer research?
Yes, Cytokeratin 19 is commonly studied in liver, breast, or thyroid cancer research. A High Cytokeratin 19 indicates aggressive tumors and worse outcomes.
Can this antibody detect Cytokeratin 19 in both human and mouse tissues?
Yes, this antibody can detect Cytokeratin 19 in both human and mouse tissues. This makes it great for patient samples and animal models used for research.
Item has been added to Shopping Cart
If you are ready to order, navigate to Shopping Cart and get ready to checkout.
