Mouse anti-Human Cytokeratin 7 (KRT7) Monoclonal Antibody | anti-KRT7 antibody
Cytokeratin 7 (KRT7) (Glandular and Transitional Epithelial Marker) Mouse Monoclonal Antibody
Gene Names
KRT7; K7; CK7; SCL; K2C7
Reactivity
Human
Applications
Immunohistochemistry, Immunofluorescence, Flow Cytometry, Functional Assay
Synonyms
Cytokeratin 7 (KRT7), Antibody; Cytokeratin 7 (KRT7) (Glandular and Transitional Epithelial Marker) Mouse Monoclonal Antibody; CK-7, K2C7, Keratin 55K Type II Cytoskeletal, Keratin Simple Epithelial Type 1 K7, Keratin Type II Cytoskeletal 7, Krt2-7, KRT7, Sarcolectin, SCL, Type II Mesothelial Keratin K7, Type-II Keratin Kb7; anti-KRT7 antibody
Host
Mouse
Reactivity
Human
Clonality
Monoclonal
Isotype
IgG1, kappa
Clone Number
K72.7
Specificity
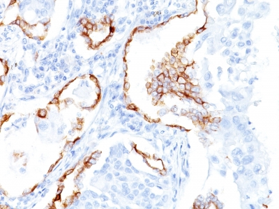
It recognizes an intermediate filament protein (IFP) of 55kDa, which is identified as cytokeratin 7. This MAb is highly specific to cytokeratin 7 and shows no cross-reaction with other IFPs. Cytokeratin 7 is a basic cytokeratin, which is found in most glandular and transitional epithelia but not in the stratified squamous epithelia. Keratin 7 is expressed in the epithelial cells of ovary, lung, and breast but not of colon, prostate, or gastrointestinal tract. This MAb is highly useful in distinguishing ovarian carcinomas (keratin 7+) from colon carcinomas (keratin 7-).
Form/Format
200ug/ml of Ab purified from Bioreactor Concentrate by Protein A/G. Prepared in 10mM PBS with 0.05% BSA & 0.05% azide. Also available WITHOUT BSA & azide at 1.0mg/ml.
Sequence Length
469
Applicable Applications for anti-KRT7 antibody
IHC (Immunohistochemistry), IF (Immunofluorescence), FCM/FACS (Flow Cytometry)
Cellular Localization
Cytoplasmic
Immunogen
Semi-purified cytokeratin preparation.
Hu-Chromosome Location
12q13.13
Positive Control
HeLa cells. Carcinoma of ovary, lung, cervix, or breast
Preparation and Storage
Antibody with azide - store at 2 to 8 degree C. Antibody without azide - store at -20 to -80 degree C. Antibody is stable for 24 months. Non-hazardous. No MSDS required.
References
Ramaekers F, van Niekerk C, Poels L, Schaafsma E, Huijsmans A, Robben H, et al. Use of monoclonal antibodies to keratin 7 in the differential diagnosis of adenocarcinomas. Am J Pathol 1990;136:641-5
NCBI and Uniprot Product Information
NCBI GI #
NCBI GeneID
NCBI Accession #
NCBI GenBank Nucleotide #
Molecular Weight
55kDa
NCBI Official Full Name
keratin, type II cytoskeletal 7
NCBI Official Synonym Full Names
keratin 7
NCBI Official Symbol
KRT7
NCBI Official Synonym Symbols
K7; CK7; SCL; K2C7
NCBI Protein Information
keratin, type II cytoskeletal 7
UniProt Protein Name
Keratin, type II cytoskeletal 7
UniProt Gene Name
KRT7
UniProt Synonym Gene Names
SCL; CK-7; K7
UniProt Entry Name
K2C7_HUMAN
Customer Reviews
Loading reviews...
Share Your Experience
Similar Products
Product Notes
The KRT7 krt7 (Catalog #AAA62747) is an Antibody produced from Mouse and is intended for research purposes only. The product is available for immediate purchase. The Cytokeratin 7 (KRT7) (Glandular and Transitional Epithelial Marker) Mouse Monoclonal Antibody reacts with Human and may cross-react with other species as described in the data sheet. AAA Biotech's Cytokeratin 7 (KRT7) can be used in a range of immunoassay formats including, but not limited to, IHC (Immunohistochemistry), IF (Immunofluorescence), FCM/FACS (Flow Cytometry). Researchers should empirically determine the suitability of the KRT7 krt7 for an application not listed in the data sheet. Researchers commonly develop new applications and it is an integral, important part of the investigative research process. It is sometimes possible for the material contained within the vial of "Cytokeratin 7 (KRT7), Monoclonal Antibody" to become dispersed throughout the inside of the vial, particularly around the seal of said vial, during shipment and storage. We always suggest centrifuging these vials to consolidate all of the liquid away from the lid and to the bottom of the vial prior to opening. Please be advised that certain products may require dry ice for shipping and that, if this is the case, an additional dry ice fee may also be required.Precautions
All products in the AAA Biotech catalog are strictly for research-use only, and are absolutely not suitable for use in any sort of medical, therapeutic, prophylactic, in-vivo, or diagnostic capacity. By purchasing a product from AAA Biotech, you are explicitly certifying that said products will be properly tested and used in line with industry standard. AAA Biotech and its authorized distribution partners reserve the right to refuse to fulfill any order if we have any indication that a purchaser may be intending to use a product outside of our accepted criteria.Disclaimer
Though we do strive to guarantee the information represented in this datasheet, AAA Biotech cannot be held responsible for any oversights or imprecisions. AAA Biotech reserves the right to adjust any aspect of this datasheet at any time and without notice. It is the responsibility of the customer to inform AAA Biotech of any product performance issues observed or experienced within 30 days of receipt of said product. To see additional details on this or any of our other policies, please see our Terms & Conditions page.Item has been added to Shopping Cart
If you are ready to order, navigate to Shopping Cart and get ready to checkout.
