Rabbit KRT7 Polyclonal Antibody | anti-KRT7 antibody
KRT7 antibody - N-terminal region
WB (Western Blot)
(WB Suggested Anti-KRT7 Antibody Titration: 0.2-1 ug/mlELISA Titer: 1:1562500Positive Control: HepG2 cell lysate)
IHC (Immunohiostchemistry)
(KRT7 antibody - N-terminal regionFormalin Fixed Paraffin Embedded Tissue: Human Lung TissueObserved Staining: Membrane of PneumocytesPrimary Antibody Concentration: 1:100Other Working Concentrations: 1/600Secondary Antibody: Donkey anti-Rabbit-Cy3Secondary Antibody Concentration: 1:200Magnification: 20XExposure Time: 0.5 - 2.0 sec)
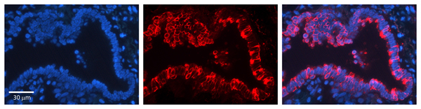
IHC (Immunohistochemistry)
(KRT7 antibody - N-terminal regionFormalin Fixed Paraffin Embedded Tissue: Human Bronchial Epithelial TissueObserved Staining: Cytoplasm and membrane of bronchial epithelial tissuePrimary Antibody Concentration: 1:100Other Working Concentrations: 1/600Secondary Antibody: Donkey anti-Rabbit-Cy3Secondary Antibody Concentration: 1:200Magnification: 20XExposure Time: 0.5 - 2.0 sec)
Target Description: KRT7 is a member of the keratin protein family. The type II cytokeratins consist of basic or neutral proteins which are arranged in pairs of heterotypic keratin chains coexpressed during differentiation of simple and stratified epithelial tissues. This type II cytokeratin is specifically expressed in the simple epithelia lining the cavities of the internal organs and in the gland ducts and blood vessels. The genes encoding the type II cytokeratins are clustered in a region of chromosome 12q12-q13. The protein encoded by this gene is a member of the keratin gene family. The type II cytokeratins consist of basic or neutral proteins which are arranged in pairs of heterotypic keratin chains coexpressed during differentiation of simple and stratified epithelial tissues. This type II cytokeratin is specifically expressed in the simple epithelia lining the cavities of the internal organs and in the gland ducts and blood vessels. The genes encoding the type II cytokeratins are clustered in a region of chromosome 12q12-q13. Alternative splicing may result in several transcript variants; however, not all variants have been fully described. Publication Note: This RefSeq record includes a subset of the publications that are available for this gene. Please see the Entrez Gene record to access additional publications.
NCBI and Uniprot Product Information
Customer Reviews
Loading reviews...
Share Your Experience
Similar Products
Product Notes
The KRT7 krt7 (Catalog #AAA200791) is an Antibody produced from Rabbit and is intended for research purposes only. The product is available for immediate purchase. The KRT7 antibody - N-terminal region reacts with Cow, Dog, Horse, Human and may cross-react with other species as described in the data sheet. AAA Biotech's KRT7 can be used in a range of immunoassay formats including, but not limited to, IHC (Immunohistochemistry), WB (Western Blot). Researchers should empirically determine the suitability of the KRT7 krt7 for an application not listed in the data sheet. Researchers commonly develop new applications and it is an integral, important part of the investigative research process. The amino acid sequence is listed below: Synthetic peptide located within the following region: SIHFSSPVFT SRSAAFSGRG AQVRLSSARP GGLGSSSLYG LGASRPRVAV. It is sometimes possible for the material contained within the vial of "KRT7, Polyclonal Antibody" to become dispersed throughout the inside of the vial, particularly around the seal of said vial, during shipment and storage. We always suggest centrifuging these vials to consolidate all of the liquid away from the lid and to the bottom of the vial prior to opening. Please be advised that certain products may require dry ice for shipping and that, if this is the case, an additional dry ice fee may also be required.Precautions
All products in the AAA Biotech catalog are strictly for research-use only, and are absolutely not suitable for use in any sort of medical, therapeutic, prophylactic, in-vivo, or diagnostic capacity. By purchasing a product from AAA Biotech, you are explicitly certifying that said products will be properly tested and used in line with industry standard. AAA Biotech and its authorized distribution partners reserve the right to refuse to fulfill any order if we have any indication that a purchaser may be intending to use a product outside of our accepted criteria.Disclaimer
Though we do strive to guarantee the information represented in this datasheet, AAA Biotech cannot be held responsible for any oversights or imprecisions. AAA Biotech reserves the right to adjust any aspect of this datasheet at any time and without notice. It is the responsibility of the customer to inform AAA Biotech of any product performance issues observed or experienced within 30 days of receipt of said product. To see additional details on this or any of our other policies, please see our Terms & Conditions page.Item has been added to Shopping Cart
If you are ready to order, navigate to Shopping Cart and get ready to checkout.
