Cytokeratin 7 Recombinant Antibody | KRT7 recombinant antibody
Cytokeratin 7 Rabbit mAb
Gene Names
KRT7; K7; CK7; SCL; K2C7
Reactivity
Human, Mouse, Rat
Applications
Immunofluorescence, Immunocytochemistry, Immunohistochemistry, Western Blot
Purity
Affinity-chromatography
Synonyms
Cytokeratin 7, Recombinant Antibody; Cytokeratin 7 Rabbit mAb; Cytokeratin-7; CK-7; Cytokeratin 7; Keratin 7; Keratin7; Keratin-7; KRT7; SCL; Sarcolectin; Type-II keratin Kb7; Krt2-7; Keratin type II cytoskeletal 7; KRT7 recombinant antibody
Host
Rabbit
Reactivity
Human, Mouse, Rat
Clonality
Monoclonal
Isotype
Rabbit IgG
Specificity
Cytokeratin 7 Antibody detects endogenous levels of Cytokeratin 7
Purity/Purification
Affinity-chromatography
Form/Format
Rabbit IgG in phosphate buffered saline, pH7.4, 150mM NaCl, 0.02% sodium azide and 50% glycerol.
Applicable Applications for KRT7 recombinant antibody
IF (Immunofluorescence), ICC (Immunocytochemistry), IHC (Immunohistochemistry), WB (Western Blot)
Immunogen
A synthesized peptide derived from human Cytokeratin 7
Preparation and Storage
Store at +4 degree C short term. Store at -20 degree C long term. Avoid freeze/thaw cycle.
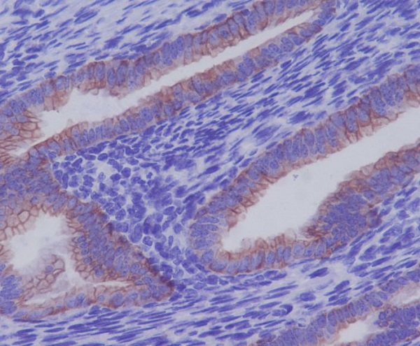
IHC (Immunohiostchemistry)
(Immunohistochemical analysis of paraffin-embedded human uterus, using Cytokeratin 7 Antibody.)
Related Product Information for KRT7 recombinant antibody
Keratins (cytokeratins) are intermediate filament proteins that are mainly expressed in epithelial cells. Blocks interferon-dependent interphase and stimulates DNA synthesis in cells. Involved in the translational regulation of the human papillomavirus type 16 E7 mRNA (HPV16 E7).
Product Categories/Family for KRT7 recombinant antibody
NCBI and Uniprot Product Information
NCBI GI #
NCBI GeneID
NCBI Accession #
NCBI GenBank Nucleotide #
Molecular Weight
51,386 Da
NCBI Official Full Name
keratin, type II cytoskeletal 7
NCBI Official Synonym Full Names
keratin 7
NCBI Official Symbol
KRT7
NCBI Official Synonym Symbols
K7; CK7; SCL; K2C7
NCBI Protein Information
keratin, type II cytoskeletal 7; CK-7; keratin-7; sarcolectin; cytokeratin 7; cytokeratin-7; type-II keratin Kb7; type II mesothelial keratin K7; keratin, 55K type II cytoskeletal; keratin, simple epithelial type I, K7
UniProt Protein Name
Keratin, type II cytoskeletal 7
UniProt Gene Name
KRT7
UniProt Synonym Gene Names
SCL; CK-7; K7
UniProt Entry Name
K2C7_HUMAN
Customer Reviews
Loading reviews...
Share Your Experience
Similar Products
Product Notes
The KRT7 krt7 (Catalog #AAA315361) is a Recombinant Antibody produced from Rabbit and is intended for research purposes only. The product is available for immediate purchase. The Cytokeratin 7 Rabbit mAb reacts with Human, Mouse, Rat and may cross-react with other species as described in the data sheet. AAA Biotech's Cytokeratin 7 can be used in a range of immunoassay formats including, but not limited to, IF (Immunofluorescence), ICC (Immunocytochemistry), IHC (Immunohistochemistry), WB (Western Blot). Researchers should empirically determine the suitability of the KRT7 krt7 for an application not listed in the data sheet. Researchers commonly develop new applications and it is an integral, important part of the investigative research process. It is sometimes possible for the material contained within the vial of "Cytokeratin 7, Monoclonal Recombinant Antibody" to become dispersed throughout the inside of the vial, particularly around the seal of said vial, during shipment and storage. We always suggest centrifuging these vials to consolidate all of the liquid away from the lid and to the bottom of the vial prior to opening. Please be advised that certain products may require dry ice for shipping and that, if this is the case, an additional dry ice fee may also be required.Precautions
All products in the AAA Biotech catalog are strictly for research-use only, and are absolutely not suitable for use in any sort of medical, therapeutic, prophylactic, in-vivo, or diagnostic capacity. By purchasing a product from AAA Biotech, you are explicitly certifying that said products will be properly tested and used in line with industry standard. AAA Biotech and its authorized distribution partners reserve the right to refuse to fulfill any order if we have any indication that a purchaser may be intending to use a product outside of our accepted criteria.Disclaimer
Though we do strive to guarantee the information represented in this datasheet, AAA Biotech cannot be held responsible for any oversights or imprecisions. AAA Biotech reserves the right to adjust any aspect of this datasheet at any time and without notice. It is the responsibility of the customer to inform AAA Biotech of any product performance issues observed or experienced within 30 days of receipt of said product. To see additional details on this or any of our other policies, please see our Terms & Conditions page.Item has been added to Shopping Cart
If you are ready to order, navigate to Shopping Cart and get ready to checkout.
