Mouse anti-Human Cytokeratin 8/18 Monoclonal Antibody | anti-CK8/CK18 antibody
Cytokeratin 8/18
Gene Names
KRT8; K8; KO; CK8; CK-8; CYK8; K2C8; CARD2
Reactivity
Human
Applications
Immunohistochemistry, Immunofluorescence, Flow Cytometry, Functional Assay
Purity
Culture Supernatant
Synonyms
Cytokeratin 8/18, Antibody; Cytokeratin 8/18; CARD2; CK8; CYK8; CYKER; Cytokeratin Endo A; DreK8; EndoA; K2C8; K8; Keratin 8; Krt 2.8; KRT8; Type-II Keratin Kb8. Cell Proliferation-inducing Gene 46 Protein; CK18; CYK18Cytokeratin Endo B; K18; Keratin-18; Kerd; KRT18; anti-CK8/CK18 antibody
Host
Mouse
Reactivity
Human
Clonality
Monoclonal
Isotype
IgG1, kappa
Clone Number
5D3
Specificity
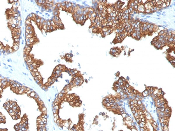
Cytokeratin 8 (CK8) belongs to the type II (or B or basic) subfamily of high molecular weight cytokeratins and exists in combination with cytokeratin 18 (CK18). This MAb recognizes all simple epithelia including glandular epithelium, for example thyroid, female breast, gastrointestinal tract, respiratory tract, and urogenital tract including transitional epithelium. All adenocarcinomas and most squamous carcinomas are positive but keratinizing squamous carcinomas are usually negative. This antibody is useful in demonstrating the presence of Paget cells; there is very little keratin 18 in the normal epidermis so only Paget cells are stained.
Purity/Purification
Culture Supernatant
Form/Format
Tissue culture supernatant with 0.05% Azide. Contact us if you require it in a different format.
Sequence Length
483
Applicable Applications for anti-CK8/CK18 antibody
IHC (Immunohistochemistry), IF (Immunofluorescence), FCM/FACS (Flow Cytometry)
Positive Control
MCF-7 or A431 cells. Skin, colon, lung or breast carcinoma.
Immunogen
Cytoskeleton preparation from human breast cancer MCF-7 cells
Cellular Localization
Cytoplasmic
Hu-chromosome Location
17q21.2 (CK8); 12q13.13 (CK18)
Preparation and Storage
Antibody with azide: store at 2 to 8 degree C. Non-hazardous. No MSDS required.
References
1. Bartkova et al. Neoplasma 38(4), 439-46 (1991). 2. Bartek et al. J. Pathology,164:215-24 (1991).
NCBI and Uniprot Product Information
NCBI GI #
NCBI GeneID
NCBI Accession #
NCBI GenBank Nucleotide #
Molecular Weight
52.5kDa (CK8); 45kDa (CK18)
NCBI Official Full Name
keratin, type II cytoskeletal 8 isoform 2
NCBI Official Synonym Full Names
keratin 8
NCBI Official Symbol
KRT8
NCBI Official Synonym Symbols
K8; KO; CK8; CK-8; CYK8; K2C8; CARD2
NCBI Protein Information
keratin, type II cytoskeletal 8
UniProt Protein Name
Keratin, type II cytoskeletal 8
UniProt Gene Name
KRT8
UniProt Synonym Gene Names
CYK8; CK-8; K8
UniProt Entry Name
K2C8_HUMAN
Similar Products
Product Notes
The CK8/CK18 krt8 (Catalog #AAA215334) is an Antibody produced from Mouse and is intended for research purposes only. The product is available for immediate purchase. The Cytokeratin 8/18 reacts with Human and may cross-react with other species as described in the data sheet. AAA Biotech's Cytokeratin 8/18 can be used in a range of immunoassay formats including, but not limited to, IHC (Immunohistochemistry), IF (Immunofluorescence), FCM/FACS (Flow Cytometry). Researchers should empirically determine the suitability of the CK8/CK18 krt8 for an application not listed in the data sheet. Researchers commonly develop new applications and it is an integral, important part of the investigative research process. It is sometimes possible for the material contained within the vial of "Cytokeratin 8/18, Monoclonal Antibody" to become dispersed throughout the inside of the vial, particularly around the seal of said vial, during shipment and storage. We always suggest centrifuging these vials to consolidate all of the liquid away from the lid and to the bottom of the vial prior to opening. Please be advised that certain products may require dry ice for shipping and that, if this is the case, an additional dry ice fee may also be required.Precautions
All products in the AAA Biotech catalog are strictly for research-use only, and are absolutely not suitable for use in any sort of medical, therapeutic, prophylactic, in-vivo, or diagnostic capacity. By purchasing a product from AAA Biotech, you are explicitly certifying that said products will be properly tested and used in line with industry standard. AAA Biotech and its authorized distribution partners reserve the right to refuse to fulfill any order if we have any indication that a purchaser may be intending to use a product outside of our accepted criteria.Disclaimer
Though we do strive to guarantee the information represented in this datasheet, AAA Biotech cannot be held responsible for any oversights or imprecisions. AAA Biotech reserves the right to adjust any aspect of this datasheet at any time and without notice. It is the responsibility of the customer to inform AAA Biotech of any product performance issues observed or experienced within 30 days of receipt of said product. To see additional details on this or any of our other policies, please see our Terms & Conditions page.Item has been added to Shopping Cart
If you are ready to order, navigate to Shopping Cart and get ready to checkout.
