Mouse DAZL (Deleted in Azoospermia-like) Monoclonal Antibody | anti-DAZL antibody
DAZL (Deleted in Azoospermia-like) Mouse Monoclonal Antibody [Clone DAZL/4253]
Gene Names
DAZL; DAZH; DAZL1; DAZLA; SPGYLA
Reactivity
Human, Mouse, Rat and Cynomolgus monkey
Applications
Immunohistochemistry, Western Blot, Immunofluorescence
Synonyms
DAZL (Deleted in Azoospermia-like), Antibody; DAZL (Deleted in Azoospermia-like) Mouse Monoclonal Antibody [Clone DAZL/4253]; Deleted in azoospermia-like, DAZL, DAZ homolog, DAZ-like autosomal, Deleted in azoospermia-like 1, SPGY-like-autosomal, DAZH, DAZL1, DAZLA, SPGYLA; anti-DAZL antibody
Host
Mouse
Reactivity
Human, Mouse, Rat and Cynomolgus monkey
Clonality
Monoclonal
Isotype
Mouse/IgG1
Clone Number
DAZL/4253
Form/Format
200ug/ml of Ab purified from Bioreactor Concentrate by Protein A/G. Prepared in 10mM PBS with 0. 05% BSA & 0. 05% azide. Also available WITHOUT BSA & azide at 1.0mg/ml.
Concentration
Purified Ab with BSA and Azide at 200ug/ml
OR
Purified Ab WITHOUT BSA and Azide at 1.0mg/ml (varies by lot)
OR
Purified Ab WITHOUT BSA and Azide at 1.0mg/ml (varies by lot)
Applicable Applications for anti-DAZL antibody
IHC (Immunohistochemistry), WB (Western Blot), IF (Immunofluorescence)
Immunogen
Recognizes DAZL protein C terminus sequence CRVHHFRRSRAMLKSV.
Cellular Localization
Cytoplasmic
Positive Control
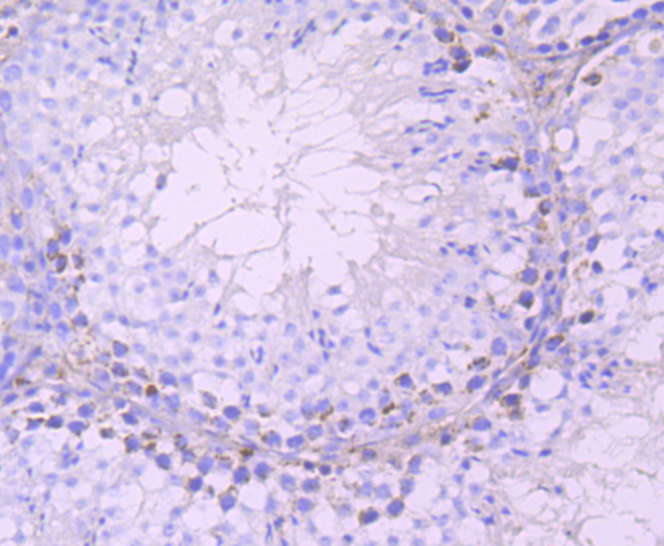
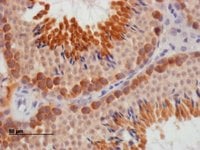
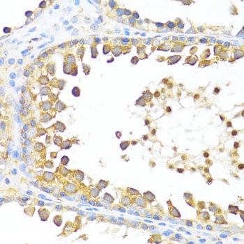
Human testis or ovary tissue.
Hu-chromosome Location
3p24.3
Unigene
131179
Preparation and Storage
Antibody with azide: store at 2 to 8 degree C
Antibody without azide: store at -20 to -80 degree C
Antibody is stable for 24 months. Non-hazardous. No MSDS required.
Antibody without azide: store at -20 to -80 degree C
Antibody is stable for 24 months. Non-hazardous. No MSDS required.
Related Product Information for anti-DAZL antibody
Specific for human DAZL, a member of the DAZ (deleted in azoospermia) family of RNA binding proteins. DAZL is expressed in fetal and adult testes and ovaries, and is believed to play a role in germ cell development. In adult germ cells, the expression of DAZL is localized to the cytoplasm. Mutations in this gene have been linked to severe spermatogenic failure and infertility in males. Clone DAZL/4253 recognizes DAZL at its C terminus, and is used in detection of DAZL expression by various methods.
NCBI and Uniprot Product Information
NCBI GI #
NCBI GeneID
Molecular Weight
295
NCBI Official Full Name
Deleted in azoospermia-like
NCBI Official Synonym Full Names
deleted in azoospermia-like
NCBI Official Symbol
DAZL
NCBI Official Synonym Symbols
DAZH; DAZL1; DAZLA; SPGYLA
NCBI Protein Information
deleted in azoospermia-like; DAZ homolog; DAZ-like autosomal; SPGY-like-autosomal; deleted in azoospermia-like 1; germline specific RNA binding protein; spermatogenesis gene on the Y-like autosomal
UniProt Protein Name
Deleted in azoospermia-like
UniProt Gene Name
DAZL
UniProt Synonym Gene Names
DAZH; DAZL1; DAZLA; SPGYLA
UniProt Entry Name
DAZL_HUMAN
Customer Reviews
Loading reviews...
Share Your Experience
Similar Products
Product Notes
The DAZL dazl (Catalog #AAA215590) is an Antibody produced from Mouse and is intended for research purposes only. The product is available for immediate purchase. The DAZL (Deleted in Azoospermia-like) Mouse Monoclonal Antibody [Clone DAZL/4253] reacts with Human, Mouse, Rat and Cynomolgus monkey and may cross-react with other species as described in the data sheet. AAA Biotech's DAZL (Deleted in Azoospermia-like) can be used in a range of immunoassay formats including, but not limited to, IHC (Immunohistochemistry), WB (Western Blot), IF (Immunofluorescence). Researchers should empirically determine the suitability of the DAZL dazl for an application not listed in the data sheet. Researchers commonly develop new applications and it is an integral, important part of the investigative research process. It is sometimes possible for the material contained within the vial of "DAZL (Deleted in Azoospermia-like), Monoclonal Antibody" to become dispersed throughout the inside of the vial, particularly around the seal of said vial, during shipment and storage. We always suggest centrifuging these vials to consolidate all of the liquid away from the lid and to the bottom of the vial prior to opening. Please be advised that certain products may require dry ice for shipping and that, if this is the case, an additional dry ice fee may also be required.Precautions
All products in the AAA Biotech catalog are strictly for research-use only, and are absolutely not suitable for use in any sort of medical, therapeutic, prophylactic, in-vivo, or diagnostic capacity. By purchasing a product from AAA Biotech, you are explicitly certifying that said products will be properly tested and used in line with industry standard. AAA Biotech and its authorized distribution partners reserve the right to refuse to fulfill any order if we have any indication that a purchaser may be intending to use a product outside of our accepted criteria.Disclaimer
Though we do strive to guarantee the information represented in this datasheet, AAA Biotech cannot be held responsible for any oversights or imprecisions. AAA Biotech reserves the right to adjust any aspect of this datasheet at any time and without notice. It is the responsibility of the customer to inform AAA Biotech of any product performance issues observed or experienced within 30 days of receipt of said product. To see additional details on this or any of our other policies, please see our Terms & Conditions page.Item has been added to Shopping Cart
If you are ready to order, navigate to Shopping Cart and get ready to checkout.
