Mouse Desmoglein-3 Monoclonal Antibody | anti-DSG3 antibody
Desmoglein-3 (Squamous Cell Marker)
Gene Names
DSG3; PVA; CDHF6
Reactivity
Human. Others not known.
Applications
Immunohistochemistry, Western Blot, Immunofluorescence, Flow Cytometry, Functional Assay
Synonyms
Desmoglein-3, Antibody; Desmoglein-3 (Squamous Cell Marker); 130kDa pemphigus vulgaris antigen (PVA); Balding (Bal); Cadherin family member 6 (CDHF6); Desmoglein-3 (DSG3); anti-DSG3 antibody
Host
Mouse
Reactivity
Human. Others not known.
Clonality
Monoclonal
Isotype
IgG1, kappa
Clone Number
DSG3/1535
Specificity
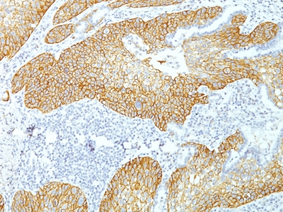
Recognizes a protein of 130kDa, identified as Desmoglein-3 (DSG3). This MAb is highly specific to Desmoglein-3 and does not cross-react with other members of the Desmoglein-family. DSG3 is a calcium-binding transmembrane glycoprotein component of desmosomes in vertebrate epithelial cells. Research has shown that DSG3 has a very high sensitivity (>80%) and specificity (100%) in recognizing squamous cell carcinoma (SqCC). Therefore, DSG3 is considered a very important marker for lung SqCC and can be a useful ancillary marker to separate SqCC from other subtypes of lung cancer. Moreover, studies have shown that DSG3 expression in lung SqCC may indicate a poor prognosis.
Form/Format
200ug/ml of Ab purified from Bioreactor Concentrate by Protein A/G. Prepared in 10mM PBS with 0.05% BSA & 0.05% azide. Also available WITHOUT BSA & azide at 1.0mg/ml.
Sequence Length
999
Applicable Applications for anti-DSG3 antibody
IHC (Immunohistochemistry), WB (Western Blot), IF (Immunofluorescence), FCM/FACS (Flow Cytometry)
Immunogen
Recombinant human DSG3 extracellular protein fragment
Cellular Localization
Cell Surface
Hu-chromosome Location
18q12.1
Positive Control
A431 cells. Skin or Lung squamous cell carcinoma.
Preparation and Storage
Antibody with azide - store at 2 to 8 degree C.
Antibody without azide - store at -20 to -80 degree C.
Antibody is stable for 24 months. Non-hazardous. No MSDS required.
Antibody without azide - store at -20 to -80 degree C.
Antibody is stable for 24 months. Non-hazardous. No MSDS required.
References
Savci-Heijink CD, et al. The role of desmoglein-3 in the diagnosis of squamous cell carcinoma of the lung. Am J Pathology 2009; 174(5):1629-37.
NCBI and Uniprot Product Information
NCBI GI #
NCBI GeneID
NCBI Accession #
NCBI GenBank Nucleotide #
Molecular Weight
130kDa
NCBI Official Full Name
desmoglein-3 preproprotein
NCBI Official Synonym Full Names
desmoglein 3
NCBI Official Symbol
DSG3
NCBI Official Synonym Symbols
PVA; CDHF6
NCBI Protein Information
desmoglein-3
UniProt Protein Name
Desmoglein-3
UniProt Gene Name
DSG3
UniProt Synonym Gene Names
CDHF6; PVA
Customer Reviews
Loading reviews...
Share Your Experience
Similar Products
Product Notes
The DSG3 dsg3 (Catalog #AAA62955) is an Antibody produced from Mouse and is intended for research purposes only. The product is available for immediate purchase. The Desmoglein-3 (Squamous Cell Marker) reacts with Human. Others not known. and may cross-react with other species as described in the data sheet. AAA Biotech's Desmoglein-3 can be used in a range of immunoassay formats including, but not limited to, IHC (Immunohistochemistry), WB (Western Blot), IF (Immunofluorescence), FCM/FACS (Flow Cytometry). Researchers should empirically determine the suitability of the DSG3 dsg3 for an application not listed in the data sheet. Researchers commonly develop new applications and it is an integral, important part of the investigative research process. It is sometimes possible for the material contained within the vial of "Desmoglein-3, Monoclonal Antibody" to become dispersed throughout the inside of the vial, particularly around the seal of said vial, during shipment and storage. We always suggest centrifuging these vials to consolidate all of the liquid away from the lid and to the bottom of the vial prior to opening. Please be advised that certain products may require dry ice for shipping and that, if this is the case, an additional dry ice fee may also be required.Precautions
All products in the AAA Biotech catalog are strictly for research-use only, and are absolutely not suitable for use in any sort of medical, therapeutic, prophylactic, in-vivo, or diagnostic capacity. By purchasing a product from AAA Biotech, you are explicitly certifying that said products will be properly tested and used in line with industry standard. AAA Biotech and its authorized distribution partners reserve the right to refuse to fulfill any order if we have any indication that a purchaser may be intending to use a product outside of our accepted criteria.Disclaimer
Though we do strive to guarantee the information represented in this datasheet, AAA Biotech cannot be held responsible for any oversights or imprecisions. AAA Biotech reserves the right to adjust any aspect of this datasheet at any time and without notice. It is the responsibility of the customer to inform AAA Biotech of any product performance issues observed or experienced within 30 days of receipt of said product. To see additional details on this or any of our other policies, please see our Terms & Conditions page.Item has been added to Shopping Cart
If you are ready to order, navigate to Shopping Cart and get ready to checkout.
