Rabbit DSG1/Desmoglein 1 Monoclonal Antibody | anti-DSG1 antibody
Anti-DSG1/Desmoglein 1 Rabbit Monoclonal Antibody
Gene Names
DSG1; DG1; DSG; CDHF4; EPKHE; PPKS1; SPPK1; EPKHIA
Reactivity
Human, Mouse, Rat
Applications
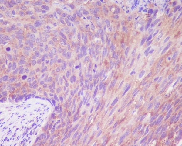
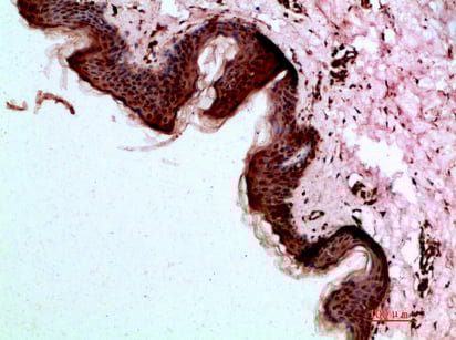
Western Blot, Immunocytochemistry, Immunohistochemistry, Immunofluorescence
Purity
Affinity-chromatography
Synonyms
DSG1/Desmoglein 1, Antibody; Anti-DSG1/Desmoglein 1 Rabbit Monoclonal Antibody; Desmoglein-1; Cadherin family member 4; Desmosomal glycoprotein 1; DG1; DGI; Pemphigus foliaceus antigen; DSG1; CDHF4; anti-DSG1 antibody
Host
Rabbit
Reactivity
Human, Mouse, Rat
Clonality
Monoclonal
Isotype
Rabbit IgG
Clone Number
ED-4
Purity/Purification
Affinity-chromatography
Form/Format
Liquid; Rabbit IgG in phosphate buffered saline, pH 7.4, 150mM NaCl, 0.02% sodium azide and 50% glycerol, 0.4-0.5 mg/ml BSA.
Concentration
Use suggested dilution ratio to decide dilution procedure. (varies by lot)
Sequence Length
408
Applicable Applications for anti-DSG1 antibody
WB (Western Blot), ICC (Immunocytochemistry), IHC (Immunohistochemistry), IF (Immunofluorescence)
Immunogen
A synthesized peptide derived from human DSG1
Preparation and Storage
Store at -20°C for one year. For short term storage and frequent use, store at 4°C for up to one month. Avoid repeated freeze-thaw cycles.
Related Product Information for anti-DSG1 antibody
Anti-DSG1/Desmoglein 1 Rabbit Monoclonal Antibody catalog # MBS179876.
Product Categories/Family for anti-DSG1 antibody
NCBI and Uniprot Product Information
NCBI GI #
NCBI GeneID
NCBI Accession #
NCBI GenBank Nucleotide #
NCBI Official Full Name
desmoglein-1 preproprotein
NCBI Official Synonym Full Names
desmoglein 1
NCBI Official Symbol
DSG1
NCBI Official Synonym Symbols
DG1; DSG; CDHF4; EPKHE; PPKS1; SPPK1; EPKHIA
NCBI Protein Information
desmoglein-1
UniProt Protein Name
Desmoglein-1
UniProt Gene Name
DSG1
UniProt Synonym Gene Names
CDHF4; DG1; DGI
Customer Reviews
Loading reviews...
Share Your Experience
Similar Products
Product Notes
The DSG1 dsg1 (Catalog #AAA47116) is an Antibody produced from Rabbit and is intended for research purposes only. The product is available for immediate purchase. The Anti-DSG1/Desmoglein 1 Rabbit Monoclonal Antibody reacts with Human, Mouse, Rat and may cross-react with other species as described in the data sheet. AAA Biotech's DSG1/Desmoglein 1 can be used in a range of immunoassay formats including, but not limited to, WB (Western Blot), ICC (Immunocytochemistry), IHC (Immunohistochemistry), IF (Immunofluorescence). Researchers should empirically determine the suitability of the DSG1 dsg1 for an application not listed in the data sheet. Researchers commonly develop new applications and it is an integral, important part of the investigative research process. It is sometimes possible for the material contained within the vial of "DSG1/Desmoglein 1, Monoclonal Antibody" to become dispersed throughout the inside of the vial, particularly around the seal of said vial, during shipment and storage. We always suggest centrifuging these vials to consolidate all of the liquid away from the lid and to the bottom of the vial prior to opening. Please be advised that certain products may require dry ice for shipping and that, if this is the case, an additional dry ice fee may also be required.Precautions
All products in the AAA Biotech catalog are strictly for research-use only, and are absolutely not suitable for use in any sort of medical, therapeutic, prophylactic, in-vivo, or diagnostic capacity. By purchasing a product from AAA Biotech, you are explicitly certifying that said products will be properly tested and used in line with industry standard. AAA Biotech and its authorized distribution partners reserve the right to refuse to fulfill any order if we have any indication that a purchaser may be intending to use a product outside of our accepted criteria.Disclaimer
Though we do strive to guarantee the information represented in this datasheet, AAA Biotech cannot be held responsible for any oversights or imprecisions. AAA Biotech reserves the right to adjust any aspect of this datasheet at any time and without notice. It is the responsibility of the customer to inform AAA Biotech of any product performance issues observed or experienced within 30 days of receipt of said product. To see additional details on this or any of our other policies, please see our Terms & Conditions page.Item has been added to Shopping Cart
If you are ready to order, navigate to Shopping Cart and get ready to checkout.
