Rabbit DUSP6/Mkp 3 Monoclonal Antibody | anti-DUSP6 antibody
Anti-DUSP6/Mkp 3 Rabbit Monoclonal Antibody
Gene Names
DUSP6; HH19; MKP3; PYST1
Reactivity
Human, Mouse, Rat
Applications
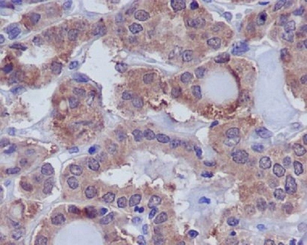
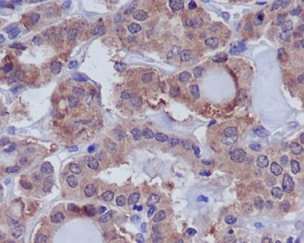
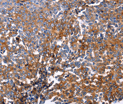
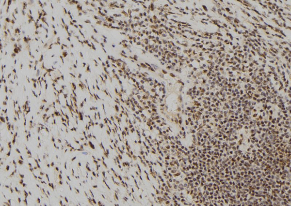
Western Blot, Immunocytochemistry, Immunohistochemistry, Immunofluorescence, Immunoprecipitation, Flow Cytometry, Functional Assay
Purity
Affinity-chromatography
Synonyms
DUSP6/Mkp 3, Antibody; Anti-DUSP6/Mkp 3 Rabbit Monoclonal Antibody; Dual specificity protein phosphatase 6; 3.1.3.16; 3.1.3.48; Dual specificity protein phosphatase PYST1; Mitogen-activated protein kinase phosphatase 3; MAP kinase phosphatase 3; MKP-3; DUSP6; MKP3; PYST1; anti-DUSP6 antibody
Host
Rabbit
Reactivity
Human, Mouse, Rat
Clonality
Monoclonal
Purity/Purification
Affinity-chromatography
Form/Format
Liquid; Rabbit IgG in phosphate buffered saline, pH 7.4, 150mM NaCl, 0.02% sodium azide and 50% glycerol.
Sequence Length
235
Applicable Applications for anti-DUSP6 antibody
WB (Western Blot), ICC (Immunocytochemistry), IHC (Immunohistochemistry), IF (Immunofluorescence), IP (Immunoprecipitation), FCM/FACS (Flow Cytometry)
Immunogen
A synthesized peptide derived from human DUSP6
Preparation and Storage
Store at -20 degree C for one year. Avoid repeated freezing and thawing.
Related Product Information for anti-DUSP6 antibody
Inactivates MAP kinases. Has a specificity for the ERK family (PubMed: 9858808). Plays an important role in alleviating chronic postoperative pain. Necessary for the normal dephosphorylation of the long-lasting phosphorylated forms of spinal MAPK1/3 and MAP kinase p38 induced by peripheral surgery, which drives the resolution of acute postoperative allodynia (By similarity).
Product Categories/Family for anti-DUSP6 antibody
NCBI and Uniprot Product Information
NCBI GI #
NCBI GeneID
NCBI Accession #
NCBI GenBank Nucleotide #
NCBI Official Full Name
dual specificity protein phosphatase 6 isoform a
NCBI Official Synonym Full Names
dual specificity phosphatase 6
NCBI Official Symbol
DUSP6
NCBI Official Synonym Symbols
HH19; MKP3; PYST1
NCBI Protein Information
dual specificity protein phosphatase 6
UniProt Protein Name
Dual specificity protein phosphatase 6
UniProt Gene Name
DUSP6
UniProt Synonym Gene Names
MKP3; PYST1; MAP kinase phosphatase 3; MKP-3
Customer Reviews
Loading reviews...
Share Your Experience
Similar Products
Product Notes
The DUSP6 dusp6 (Catalog #AAA47098) is an Antibody produced from Rabbit and is intended for research purposes only. The product is available for immediate purchase. The Anti-DUSP6/Mkp 3 Rabbit Monoclonal Antibody reacts with Human, Mouse, Rat and may cross-react with other species as described in the data sheet. AAA Biotech's DUSP6/Mkp 3 can be used in a range of immunoassay formats including, but not limited to, WB (Western Blot), ICC (Immunocytochemistry), IHC (Immunohistochemistry), IF (Immunofluorescence), IP (Immunoprecipitation), FCM/FACS (Flow Cytometry). Researchers should empirically determine the suitability of the DUSP6 dusp6 for an application not listed in the data sheet. Researchers commonly develop new applications and it is an integral, important part of the investigative research process. It is sometimes possible for the material contained within the vial of "DUSP6/Mkp 3, Monoclonal Antibody" to become dispersed throughout the inside of the vial, particularly around the seal of said vial, during shipment and storage. We always suggest centrifuging these vials to consolidate all of the liquid away from the lid and to the bottom of the vial prior to opening. Please be advised that certain products may require dry ice for shipping and that, if this is the case, an additional dry ice fee may also be required.Precautions
All products in the AAA Biotech catalog are strictly for research-use only, and are absolutely not suitable for use in any sort of medical, therapeutic, prophylactic, in-vivo, or diagnostic capacity. By purchasing a product from AAA Biotech, you are explicitly certifying that said products will be properly tested and used in line with industry standard. AAA Biotech and its authorized distribution partners reserve the right to refuse to fulfill any order if we have any indication that a purchaser may be intending to use a product outside of our accepted criteria.Disclaimer
Though we do strive to guarantee the information represented in this datasheet, AAA Biotech cannot be held responsible for any oversights or imprecisions. AAA Biotech reserves the right to adjust any aspect of this datasheet at any time and without notice. It is the responsibility of the customer to inform AAA Biotech of any product performance issues observed or experienced within 30 days of receipt of said product. To see additional details on this or any of our other policies, please see our Terms & Conditions page.Item has been added to Shopping Cart
If you are ready to order, navigate to Shopping Cart and get ready to checkout.
