Mouse FOXA1/HNF3A Monoclonal Antibody | anti-FOXA1 antibody
FOXA1/HNF3A
Gene Names
FOXA1; HNF3A; TCF3A
Reactivity
Human, Rat. Others not known.
Applications
Immunohistochemistry, Immunofluorescence, Flow Cytometry, Functional Assay
Synonyms
FOXA1/HNF3A, Antibody; FOXA1/HNF3A; Forkhead box protein A1 (FOXA1); Hepatocyte nuclear factor 3-alpha (HNF-3-alpha or HNF-3A or HNF3A); Transcription factor 3A (TCF-3A or TCF3A); anti-FOXA1 antibody
Host
Mouse
Reactivity
Human, Rat. Others not known.
Clonality
Monoclonal
Isotype
IgG2a
Clone Number
FOXA1/1518
Specificity
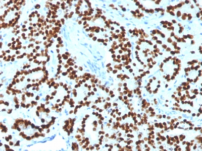
The transcription factor Forkhead-box A1 (FOXA1), also known as hepatocyte nuclear factor 3-alpha, is a member of the FOX class of transcription factors. HNF-1 (alpha and beta), HNF-3 (alpha, beta and gamma), HNF-4 (alpha and gamma), and HNF-6 compose, in part, a homeoprotein family designated the hepatocyte nuclear factor family. The various HNF-1 isoforms regulate transcription of genes in the liver as well as in other tissues such as kidney, small intestine and thymus. FOXA1 is expressed in normal breast ductal epithelium and other epithelium in different organs, such as lung, pancreas, bladder, prostate, and colon. Recently, FOXA1 has been shown to be a major determinant of estrogen-ER activity and endocrine response in breast cancer cells. FOXA1 expression correlates with estrogen receptor (ER)-positivity, especially in luminal subtype A breast cancers, which is associated with favorable prognosis. FOXA1 is useful in the sub-classification of breast carcinomas.
Form/Format
200ug/ml of Ab purified from Bioreactor Concentrate by Protein A/G. Prepared in 10mM PBS with 0.05% BSA & 0.05% azide. Also available WITHOUT BSA & azide at 1.0mg/ml.
Sequence Length
472
Applicable Applications for anti-FOXA1 antibody
IHC (Immunohistochemistry), IF (Immunofluorescence), FCM/FACS (Flow Cytometry)
Immunogen
Recombinant human FOXA1 protein fragment (aa467-614)
Cellular Localization
Nuclear
Hu-chromosome Location
14q21.1
Positive Control
HepG-2 or MCF-7 cells. Liver, Pancreas, Bladder, Prostate, Colon and Lung and Breast.
Preparation and Storage
Antibody with azide - store at 2 to 8 degree C.
Antibody without azide - store at -20 to -80 degree C.
Antibody is stable for 24 months. Non-hazardous. No MSDS required.
Antibody without azide - store at -20 to -80 degree C.
Antibody is stable for 24 months. Non-hazardous. No MSDS required.
References
Andre Albergaria, Joana Paredes, Barbara Sousa, Fernanda Milanezi, Vitor Carneiro, Joana Bastos, Sandra Costa, Daniella Vieira, Nair Lopes, Eric W Lam, Nuno Lunet and Fernando Schmitt. Expression of FOXA1 and GATA-3 in breast cancer: the prognostic significance in hormone receptor-negative tumours. Breast Cancer Research 2009, 11:R40.
NCBI and Uniprot Product Information
NCBI GI #
NCBI GeneID
NCBI Accession #
NCBI GenBank Nucleotide #
Molecular Weight
79kDa
NCBI Official Full Name
hepatocyte nuclear factor 3-alpha
NCBI Official Synonym Full Names
forkhead box A1
NCBI Official Symbol
FOXA1
NCBI Official Synonym Symbols
HNF3A; TCF3A
NCBI Protein Information
hepatocyte nuclear factor 3-alpha
UniProt Protein Name
Hepatocyte nuclear factor 3-alpha
UniProt Gene Name
FOXA1
UniProt Synonym Gene Names
HNF3A; TCF3A; HNF-3-alpha; HNF-3A; TCF-3A
Customer Reviews
Loading reviews...
Share Your Experience
Similar Products
Product Notes
The FOXA1 foxa1 (Catalog #AAA214386) is an Antibody produced from Mouse and is intended for research purposes only. The product is available for immediate purchase. The FOXA1/HNF3A reacts with Human, Rat. Others not known. and may cross-react with other species as described in the data sheet. AAA Biotech's FOXA1/HNF3A can be used in a range of immunoassay formats including, but not limited to, IHC (Immunohistochemistry), IF (Immunofluorescence), FCM/FACS (Flow Cytometry). Researchers should empirically determine the suitability of the FOXA1 foxa1 for an application not listed in the data sheet. Researchers commonly develop new applications and it is an integral, important part of the investigative research process. It is sometimes possible for the material contained within the vial of "FOXA1/HNF3A, Monoclonal Antibody" to become dispersed throughout the inside of the vial, particularly around the seal of said vial, during shipment and storage. We always suggest centrifuging these vials to consolidate all of the liquid away from the lid and to the bottom of the vial prior to opening. Please be advised that certain products may require dry ice for shipping and that, if this is the case, an additional dry ice fee may also be required.Precautions
All products in the AAA Biotech catalog are strictly for research-use only, and are absolutely not suitable for use in any sort of medical, therapeutic, prophylactic, in-vivo, or diagnostic capacity. By purchasing a product from AAA Biotech, you are explicitly certifying that said products will be properly tested and used in line with industry standard. AAA Biotech and its authorized distribution partners reserve the right to refuse to fulfill any order if we have any indication that a purchaser may be intending to use a product outside of our accepted criteria.Disclaimer
Though we do strive to guarantee the information represented in this datasheet, AAA Biotech cannot be held responsible for any oversights or imprecisions. AAA Biotech reserves the right to adjust any aspect of this datasheet at any time and without notice. It is the responsibility of the customer to inform AAA Biotech of any product performance issues observed or experienced within 30 days of receipt of said product. To see additional details on this or any of our other policies, please see our Terms & Conditions page.Item has been added to Shopping Cart
If you are ready to order, navigate to Shopping Cart and get ready to checkout.
