Mouse FOXP3 (Forkhead Box Protein P3) / Scurfin Monoclonal Antibody | anti-FOXP3 antibody
FOXP3 (Forkhead Box Protein P3) / Scurfin Mouse Monoclonal Antibody
Gene Names
FOXP3; JM2; AIID; IPEX; PIDX; XPID; DIETER
Reactivity
Human, Monkey, Mouse
Applications
Immunohistochemistry, Immunofluorescence, Flow Cytometry, Functional Assay
Synonyms
FOXP3 (Forkhead Box Protein P3) / Scurfin, Antibody; FOXP3 (Forkhead Box Protein P3) / Scurfin Mouse Monoclonal Antibody; JM2, AIID, DIETER, IPEX, MGC141961, MGC141963, PIDX, XPID, FOXP3delta7, forkhead box protein P3, immune dysregulation, polyendocrinopathy, enteropathy, X-linked, immunodeficiency, polyendocrinopathy, enteropathy, X-linked, scurfin; anti-FOXP3 antibody
Host
Mouse
Reactivity
Human, Monkey, Mouse
Clonality
Monoclonal
Isotype
IgG1, kappa
Clone Number
FXP3/197
Specificity
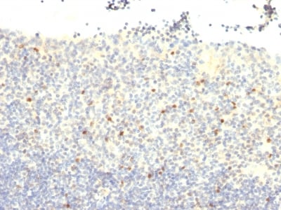
Recognizes a protein of 47-55kDa, which is identified as FOXP3. Its precise epitope is not known, but it has been mapped to the N-terminal portion of the protein. The FOX family of transcription factors is a large group of proteins that share a common DNA binding domain termed a winged-helix or forkhead domain. During early development, FOXP1 and FOXP2 are expressed abundantly in the lung, with lower levels of expression in neural, intestinal and cardiovascular tissues, where they act as transcription repressors. FOXP1 is widely expressed in adult tissues, while neoplastic cells often exhibit a dramatic change in expression level or localization of FOXP1. Mutations in FOXP3 gene cause IPEX, a fatal, X-linked inherited disorder characterized by immune dysregulation. The FOXP3 protein is essential for normal immune homeostasis. Specifically, FOXP3 represses transcription through a DNA binding forkhead domain, thereby regulating T cell activation.
Form/Format
200ug/ml of Ab purified from Bioreactor Concentrate by Protein A/G. Prepared in 10mM PBS with 0.05% BSA & 0.05% azide. Also available WITHOUT BSA & azide at 1.0mg/ml.
Sequence Length
396
Applicable Applications for anti-FOXP3 antibody
IHC (Immunohistochemistry), IF (Immunofluorescence), FCM/FACS (Flow Cytometry)
Cellular Localization
Nuclear and Cytoplasmic
Immunogen
Recombinant human full-length FOXP3 protein
Hu-Chromosome Location
Xp11.23
Positive Control
Tonsil or Testis
Preparation and Storage
Antibody with azide - store at 2 to 8 degree C. Antibody without azide - store at -20 to -80 degree C. Antibody is stable for 24 months. Non-hazardous. No MSDS required.
References
Schubert, L.A., et al. 2001. Scurfin (FOXP3) acts as a repressor of transcription and regulates T cell activation. J. Biol. Chem. 276: 37672-37679
NCBI and Uniprot Product Information
NCBI GI #
NCBI GeneID
NCBI Accession #
NCBI GenBank Nucleotide #
Molecular Weight
47-55kDa
NCBI Official Full Name
forkhead box protein P3 isoform b
NCBI Official Synonym Full Names
forkhead box P3
NCBI Official Symbol
FOXP3
NCBI Official Synonym Symbols
JM2; AIID; IPEX; PIDX; XPID; DIETER
NCBI Protein Information
forkhead box protein P3
UniProt Protein Name
Forkhead box protein P3
UniProt Gene Name
FOXP3
UniProt Synonym Gene Names
IPEX
UniProt Entry Name
FOXP3_HUMAN
Customer Reviews
Loading reviews...
Share Your Experience
Similar Products
Product Notes
The FOXP3 foxp3 (Catalog #AAA62623) is an Antibody produced from Mouse and is intended for research purposes only. The product is available for immediate purchase. The FOXP3 (Forkhead Box Protein P3) / Scurfin Mouse Monoclonal Antibody reacts with Human, Monkey, Mouse and may cross-react with other species as described in the data sheet. AAA Biotech's FOXP3 (Forkhead Box Protein P3) / Scurfin can be used in a range of immunoassay formats including, but not limited to, IHC (Immunohistochemistry), IF (Immunofluorescence), FCM/FACS (Flow Cytometry). Researchers should empirically determine the suitability of the FOXP3 foxp3 for an application not listed in the data sheet. Researchers commonly develop new applications and it is an integral, important part of the investigative research process. It is sometimes possible for the material contained within the vial of "FOXP3 (Forkhead Box Protein P3) / Scurfin, Monoclonal Antibody" to become dispersed throughout the inside of the vial, particularly around the seal of said vial, during shipment and storage. We always suggest centrifuging these vials to consolidate all of the liquid away from the lid and to the bottom of the vial prior to opening. Please be advised that certain products may require dry ice for shipping and that, if this is the case, an additional dry ice fee may also be required.Precautions
All products in the AAA Biotech catalog are strictly for research-use only, and are absolutely not suitable for use in any sort of medical, therapeutic, prophylactic, in-vivo, or diagnostic capacity. By purchasing a product from AAA Biotech, you are explicitly certifying that said products will be properly tested and used in line with industry standard. AAA Biotech and its authorized distribution partners reserve the right to refuse to fulfill any order if we have any indication that a purchaser may be intending to use a product outside of our accepted criteria.Disclaimer
Though we do strive to guarantee the information represented in this datasheet, AAA Biotech cannot be held responsible for any oversights or imprecisions. AAA Biotech reserves the right to adjust any aspect of this datasheet at any time and without notice. It is the responsibility of the customer to inform AAA Biotech of any product performance issues observed or experienced within 30 days of receipt of said product. To see additional details on this or any of our other policies, please see our Terms & Conditions page.Item has been added to Shopping Cart
If you are ready to order, navigate to Shopping Cart and get ready to checkout.
