Mouse anti-Human Galectin-3 Monoclonal Antibody | anti-LGALS3 antibody
Galectin-3 Mouse mAb
Gene Names
LGALS3; L31; GAL3; MAC2; CBP35; GALBP; GALIG; LGALS2
Reactivity
Human
Applications
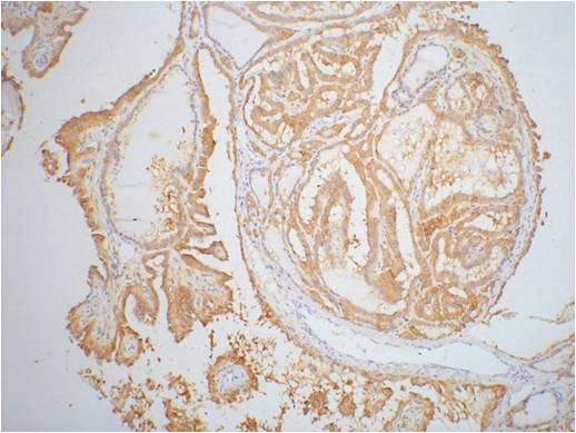
Immunohistochemistry, Western Blot
Synonyms
Galectin-3, Antibody; Galectin-3 Mouse mAb; 35 kDa lectin; CBP 35; CBP35; Gal 3; GAL3; Galactose specific lectin 3; Galactoside binding protein; GALBP; Galectin 3; Galectin-3; GALIG; IgE binding protein; L 31; Laminin binding protein; Lectin L 29; LGALS2; LGALS3; Mac 2 antigen; MAC2; anti-LGALS3 antibody
Host
Mouse
Reactivity
Human
Clonality
Monoclonal
Isotype
IgG1
Form/Format
PBS with 0.02% sodium azide and 50% glycerol pH7.4.
Concentration
1mg/ml (varies by lot)
Applicable Applications for anti-LGALS3 antibody
IHC (Immunohistochemistry), WB (Western Blot)
Species
Human
Immunogen
Synthetic Peptide
Preparation and Storage
Store at -20 degree C. Avoid repeated freeze-thaw cycles.
Related Product Information for anti-LGALS3 antibody
Galectin 3 is one of the more extensively studied members of this family and is a 30 kDa protein. Due to a C-terminal carbohydrate binding site, Galectin 3 is capable of binding IgE and mammalian cell surfaces only when homodimerized or homooligomerized. Galectin 3 is normally distributed in epithelia of many organs, in various inflammatory cells, including macrophages, as well as dendritic cells and Kupffer cells. The expression of this lectin is up-regulated during inflammation, cell proliferation, cell differentiation and through trans-activation by viral proteins.
Product Categories/Family for anti-LGALS3 antibody
NCBI and Uniprot Product Information
NCBI GI #
NCBI GeneID
NCBI Accession #
NCBI GenBank Nucleotide #
Molecular Weight
26,152 Da
NCBI Official Full Name
galectin-3 isoform 1
NCBI Official Synonym Full Names
lectin, galactoside-binding, soluble, 3
NCBI Official Symbol
LGALS3
NCBI Official Synonym Symbols
L31; GAL3; MAC2; CBP35; GALBP; GALIG; LGALS2
NCBI Protein Information
galectin-3; lectin L-29; 35 kDa lectin; MAC-2 antigen; IgE-binding protein; laminin-binding protein; galactose-specific lectin 3; carbohydrate-binding protein 35
UniProt Protein Name
Galectin-3
UniProt Gene Name
LGALS3
UniProt Synonym Gene Names
MAC2; Gal-3; CBP 35; GALBP
UniProt Entry Name
LEG3_HUMAN
Customer Reviews
Loading reviews...
Share Your Experience
Similar Products
Product Notes
The LGALS3 lgals3 (Catalog #AAA276786) is an Antibody produced from Mouse and is intended for research purposes only. The product is available for immediate purchase. The Galectin-3 Mouse mAb reacts with Human and may cross-react with other species as described in the data sheet. AAA Biotech's Galectin-3 can be used in a range of immunoassay formats including, but not limited to, IHC (Immunohistochemistry), WB (Western Blot). Researchers should empirically determine the suitability of the LGALS3 lgals3 for an application not listed in the data sheet. Researchers commonly develop new applications and it is an integral, important part of the investigative research process. It is sometimes possible for the material contained within the vial of "Galectin-3, Monoclonal Antibody" to become dispersed throughout the inside of the vial, particularly around the seal of said vial, during shipment and storage. We always suggest centrifuging these vials to consolidate all of the liquid away from the lid and to the bottom of the vial prior to opening. Please be advised that certain products may require dry ice for shipping and that, if this is the case, an additional dry ice fee may also be required.Precautions
All products in the AAA Biotech catalog are strictly for research-use only, and are absolutely not suitable for use in any sort of medical, therapeutic, prophylactic, in-vivo, or diagnostic capacity. By purchasing a product from AAA Biotech, you are explicitly certifying that said products will be properly tested and used in line with industry standard. AAA Biotech and its authorized distribution partners reserve the right to refuse to fulfill any order if we have any indication that a purchaser may be intending to use a product outside of our accepted criteria.Disclaimer
Though we do strive to guarantee the information represented in this datasheet, AAA Biotech cannot be held responsible for any oversights or imprecisions. AAA Biotech reserves the right to adjust any aspect of this datasheet at any time and without notice. It is the responsibility of the customer to inform AAA Biotech of any product performance issues observed or experienced within 30 days of receipt of said product. To see additional details on this or any of our other policies, please see our Terms & Conditions page.Item has been added to Shopping Cart
If you are ready to order, navigate to Shopping Cart and get ready to checkout.
