Rabbit anti-Human Galectin 3 Polyclonal Antibody | anti-LGALS3 antibody
Anti-Galectin 3 Antibody
Application Data
(Anti-Galectin 3 Picoband antibody, AAA45712-3.jpgAll lanes: Anti-Galectin-3(AAA45712) at 0.5ug/mlLane 1: Hela Whole Cell Lysate at 40ugLane 2: SGC Whole Cell Lysate at 40ugLane 3: MCF-7 Whole Cell Lysate at 40ugLane 4: SW620 Whole Cell Lysate at 40ugLane 5: A375 Whole Cell Lysate at 40ugLane 6: Smmc Whole Cell Lysate at 40ugPredicted bind size: 26KDObserved bind size: 26KD)
IHC (Immunohiostchemistry)
(Anti-Galectin 3 Picoband antibody, AAA45712-2.JPGIHC(P): Human Placenta Tissue)
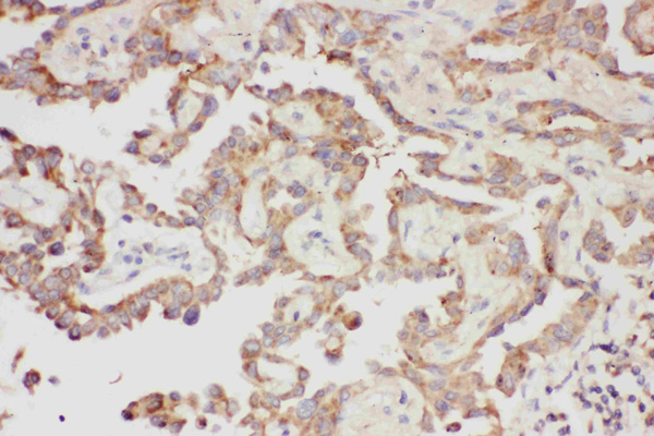
IHC (Immunohistochemistry)
(Anti-Galectin 3 Picoband antibody, AAA45712-1.JPGIHC(P): Human Lung Cancer Tissue)
Background: Galectin-3(GAL3), also known as LGALS3, MAC2 or GALBP, is a member of the lectin family, of which 14 mammalian galectins have been identified. Galectin-3 is encoded by a single gene, it located on chromosome 14, locus q21-q22. It is expressed in the nucleus, cytoplasm,mitochondrion, cell surface, and extracellular space. Studies have also shown that the expression of galectin-3 is implicated in a variety of processes associated with heart failure, including myofibroblast proliferation, fibrogenesis, tissue repair, inflammation, and Ventricular remodeling. Galectin-3 is expressed in various tissues and organs, but is significantly absent in normal hepatocytes.
NCBI and Uniprot Product Information
Customer Reviews
Loading reviews...
Share Your Experience
Similar Products
Product Notes
The LGALS3 lgals3 (Catalog #AAA45712) is an Antibody produced from Rabbit and is intended for research purposes only. The product is available for immediate purchase. The Anti-Galectin 3 Antibody reacts with Human and may cross-react with other species as described in the data sheet. AAA Biotech's Galectin 3 can be used in a range of immunoassay formats including, but not limited to, IHC (Immunohistochemistry), WB (Western Blot). Researchers should empirically determine the suitability of the LGALS3 lgals3 for an application not listed in the data sheet. Researchers commonly develop new applications and it is an integral, important part of the investigative research process. It is sometimes possible for the material contained within the vial of "Galectin 3, Polyclonal Antibody" to become dispersed throughout the inside of the vial, particularly around the seal of said vial, during shipment and storage. We always suggest centrifuging these vials to consolidate all of the liquid away from the lid and to the bottom of the vial prior to opening. Please be advised that certain products may require dry ice for shipping and that, if this is the case, an additional dry ice fee may also be required.Precautions
All products in the AAA Biotech catalog are strictly for research-use only, and are absolutely not suitable for use in any sort of medical, therapeutic, prophylactic, in-vivo, or diagnostic capacity. By purchasing a product from AAA Biotech, you are explicitly certifying that said products will be properly tested and used in line with industry standard. AAA Biotech and its authorized distribution partners reserve the right to refuse to fulfill any order if we have any indication that a purchaser may be intending to use a product outside of our accepted criteria.Disclaimer
Though we do strive to guarantee the information represented in this datasheet, AAA Biotech cannot be held responsible for any oversights or imprecisions. AAA Biotech reserves the right to adjust any aspect of this datasheet at any time and without notice. It is the responsibility of the customer to inform AAA Biotech of any product performance issues observed or experienced within 30 days of receipt of said product. To see additional details on this or any of our other policies, please see our Terms & Conditions page.Item has been added to Shopping Cart
If you are ready to order, navigate to Shopping Cart and get ready to checkout.
