Mouse anti-Human GIP Monoclonal Antibody | anti-GIP antibody
GIP antibody
Reactivity
Human
Applications
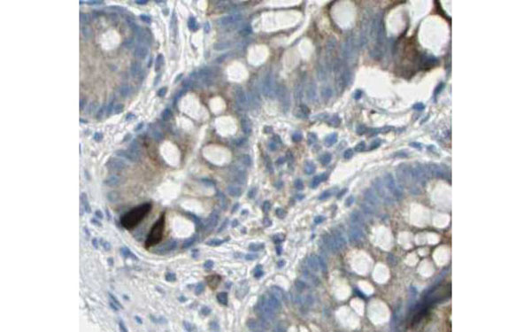
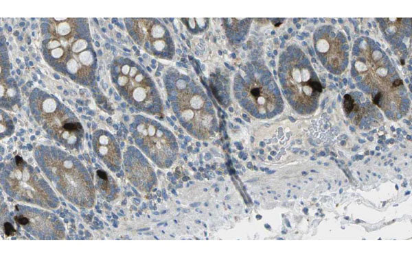
Immunohistochemistry, ELISA
Purity
GIP antibody was purified from cell culture supernatant by protein A/G chromatography
Synonyms
GIP, Antibody; GIP antibody; Monoclonal GIP; Anti-GIP; Gastric inhibitory polypeptide; GIP; Glucose-dependent insulinotropic polypeptide; anti-GIP antibody
Host
Mouse
Reactivity
Human
Clonality
Monoclonal
Isotype
IgG1 kappa
Clone Number
M81511
Specificity
Binds human GIP
Purity/Purification
GIP antibody was purified from cell culture supernatant by protein A/G chromatography
Form/Format
Supplied in 0.01 M phosphate buffer, pH 7.4, containing 0.5 M NaCl and 15 mM sodium azide
Sequence Length
153
Applicable Applications for anti-GIP antibody
IHC (Immunohistochemistry), ELISA
Biological Significance
GIP is a potent stimulator of insulin secretion and relatively poor inhibitor of gastric acid secretion.
Cross-Reactivity
Human
Immunogen
GIP antibody was raised in Mouse using Synthetic human gastric inhibitory polypeptide as the immunogen
Preparation and Storage
Store at 4-8 degree C without exposure to light
Related Product Information for anti-GIP antibody
Mouse monoclonal GIP antibody
Product Categories/Family for anti-GIP antibody
NCBI and Uniprot Product Information
NCBI GI #
NCBI GeneID
NCBI Accession #
NCBI GenBank Nucleotide #
Molecular Weight
17,108 Da
NCBI Official Full Name
gastric inhibitory polypeptide preproprotein
NCBI Official Synonym Full Names
gastric inhibitory polypeptide
NCBI Official Symbol
GIP
NCBI Protein Information
gastric inhibitory polypeptide
UniProt Protein Name
Gastric inhibitory polypeptide
UniProt Gene Name
GIP
UniProt Synonym Gene Names
GIP
UniProt Entry Name
GIP_HUMAN
Customer Reviews
Loading reviews...
Share Your Experience
Similar Products
Product Notes
The GIP gip (Catalog #AAA108078) is an Antibody produced from Mouse and is intended for research purposes only. The product is available for immediate purchase. The GIP antibody reacts with Human and may cross-react with other species as described in the data sheet. AAA Biotech's GIP can be used in a range of immunoassay formats including, but not limited to, IHC (Immunohistochemistry), ELISA. Researchers should empirically determine the suitability of the GIP gip for an application not listed in the data sheet. Researchers commonly develop new applications and it is an integral, important part of the investigative research process. It is sometimes possible for the material contained within the vial of "GIP, Monoclonal Antibody" to become dispersed throughout the inside of the vial, particularly around the seal of said vial, during shipment and storage. We always suggest centrifuging these vials to consolidate all of the liquid away from the lid and to the bottom of the vial prior to opening. Please be advised that certain products may require dry ice for shipping and that, if this is the case, an additional dry ice fee may also be required.Precautions
All products in the AAA Biotech catalog are strictly for research-use only, and are absolutely not suitable for use in any sort of medical, therapeutic, prophylactic, in-vivo, or diagnostic capacity. By purchasing a product from AAA Biotech, you are explicitly certifying that said products will be properly tested and used in line with industry standard. AAA Biotech and its authorized distribution partners reserve the right to refuse to fulfill any order if we have any indication that a purchaser may be intending to use a product outside of our accepted criteria.Disclaimer
Though we do strive to guarantee the information represented in this datasheet, AAA Biotech cannot be held responsible for any oversights or imprecisions. AAA Biotech reserves the right to adjust any aspect of this datasheet at any time and without notice. It is the responsibility of the customer to inform AAA Biotech of any product performance issues observed or experienced within 30 days of receipt of said product. To see additional details on this or any of our other policies, please see our Terms & Conditions page.Item has been added to Shopping Cart
If you are ready to order, navigate to Shopping Cart and get ready to checkout.
