GSK3 beta Recombinant Antibody | GSK3beta recombinant antibody
GSK3 beta Rabbit mAb
Reactivity
Human, Mouse
Applications
Flow Cytometry, Functional Assay, Immunofluorescence, Immunocytochemistry, Immunohistochemistry, Western Blot
Purity
Affinity-chromatography
Synonyms
GSK3 beta, Recombinant Antibody; GSK3 beta Rabbit mAb; glycogen synthase kinase 3 beta; Glycogen synthase kinase-3 beta; GSK-3 beta; GSK3B; GSK3beta isoform; GSK3beta recombinant antibody
Host
Rabbit
Reactivity
Human, Mouse
Clonality
Monoclonal
Isotype
Rabbit IgG
Specificity
GSK3 beta Antibody detects endogenous levels of total GSK3 beta
Purity/Purification
Affinity-chromatography
Form/Format
Rabbit IgG in phosphate buffered saline, pH7.4, 150mM NaCl, 0.02% sodium azide and 50% glycerol.
Applicable Applications for GSK3beta recombinant antibody
FCM/FACS (Flow Cytometry), IF (Immunofluorescence), ICC (Immunocytochemistry), IHC (Immunohistochemistry), WB (Western Blot)
Immunogen
A synthesized peptide derived from human GSK3 beta
Preparation and Storage
Store at +4 degree C short term. Store at -20 degree C long term. Avoid freeze/thaw cycle.
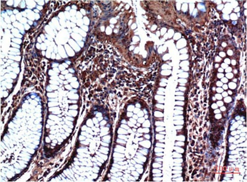
IHC (Immunohiostchemistry)
(Immunohistochemical analysis of paraffin-embedded human colon carcinome, using GSK3 beta Antibody.)
Related Product Information for GSK3beta recombinant antibody
Glycogen synthase kinase-3 (GSK3) is a proline-directed serine-threonine kinase that was initially identified as a phosphorylating and inactivating glycogen synthase.GSK3B is involved in energy metabolism, neuronal cell development, and body pattern formation.In skeletal muscle, it contributes to insulin regulation of glycogen synthesis by phosphorylating and inhibiting GYS1 activity and hence glycogen synthesis.
Product Categories/Family for GSK3beta recombinant antibody
NCBI and Uniprot Product Information
NCBI GI #
NCBI GeneID
NCBI Accession #
NCBI GenBank Nucleotide #
Molecular Weight
46,744 Da
NCBI Official Full Name
glycogen synthase kinase-3 beta isoform 2
NCBI Official Synonym Full Names
glycogen synthase kinase 3 beta
NCBI Official Symbol
GSK3B
NCBI Protein Information
glycogen synthase kinase-3 beta; GSK-3 beta; GSK3beta isoform; serine/threonine-protein kinase GSK3B
UniProt Protein Name
Glycogen synthase kinase-3 beta
UniProt Gene Name
GSK3B
UniProt Synonym Gene Names
GSK-3 beta
UniProt Entry Name
GSK3B_HUMAN
Similar Products
Product Notes
The GSK3beta gsk3b (Catalog #AAA314977) is a Recombinant Antibody produced from Rabbit and is intended for research purposes only. The product is available for immediate purchase. The GSK3 beta Rabbit mAb reacts with Human, Mouse and may cross-react with other species as described in the data sheet. AAA Biotech's GSK3 beta can be used in a range of immunoassay formats including, but not limited to, FCM/FACS (Flow Cytometry), IF (Immunofluorescence), ICC (Immunocytochemistry), IHC (Immunohistochemistry), WB (Western Blot). Researchers should empirically determine the suitability of the GSK3beta gsk3b for an application not listed in the data sheet. Researchers commonly develop new applications and it is an integral, important part of the investigative research process. It is sometimes possible for the material contained within the vial of "GSK3 beta, Monoclonal Recombinant Antibody" to become dispersed throughout the inside of the vial, particularly around the seal of said vial, during shipment and storage. We always suggest centrifuging these vials to consolidate all of the liquid away from the lid and to the bottom of the vial prior to opening. Please be advised that certain products may require dry ice for shipping and that, if this is the case, an additional dry ice fee may also be required.Precautions
All products in the AAA Biotech catalog are strictly for research-use only, and are absolutely not suitable for use in any sort of medical, therapeutic, prophylactic, in-vivo, or diagnostic capacity. By purchasing a product from AAA Biotech, you are explicitly certifying that said products will be properly tested and used in line with industry standard. AAA Biotech and its authorized distribution partners reserve the right to refuse to fulfill any order if we have any indication that a purchaser may be intending to use a product outside of our accepted criteria.Disclaimer
Though we do strive to guarantee the information represented in this datasheet, AAA Biotech cannot be held responsible for any oversights or imprecisions. AAA Biotech reserves the right to adjust any aspect of this datasheet at any time and without notice. It is the responsibility of the customer to inform AAA Biotech of any product performance issues observed or experienced within 30 days of receipt of said product. To see additional details on this or any of our other policies, please see our Terms & Conditions page.Item has been added to Shopping Cart
If you are ready to order, navigate to Shopping Cart and get ready to checkout.
