Mouse GSTM1 Monoclonal Antibody | anti-GSTM1 antibody
Anti-GSTM1 Antibody (monoclonal, 11F2)
Avoid repeated freezing and thawing.
WB (Western Blot)
(Figure 5. Western blot analysis of GSTM1 using anti-GSTM1 antibody (AAA125133).Electrophoresis was performed on a 5-20% SDS-PAGE gel at 70V (Stacking gel)/90V (Resolving gel) for 2-3 hours. The sample well of each lane was loaded with 50ug of sample under reducing conditions.Lane 1: human Hela, whole cell lysate,Lane 2: human T-47D whole cell lysate,Lane 3: rat brain tissue lysate,Lane 4: rat lung tissue lysate,Lane 5: rat stomach tissue lysate,Lane 6: mouse lung tissue lysate,Lane 7: mouse stomach tissue lysate,Lane 8: mouse kidney tissue lysate.After Electrophoresis, proteins were transferred to a Nitrocellulose membrane at 150mA for 50-90 minutes. Blocked the membrane with 5% Non-fat Milk/TBS for 1.5 hour at RT. The membrane was incubated with mouse anti-GSTM1 antigen affinity purified monoclonal antibody at 0.5 ug/ml overnight at 4 degree C, then washed with TBS-0.1%Tween 3 times with 5 minutes each and probed with a goat anti- mouse IgG-HRP secondary antibody at a dilution of 1:10000 for 1.5 hour at RT. The signal is developed using an Enhanced Chemiluminescent detection (ECL) kit with Tanon 5200 system. A specific band was detected for GSTM1 at approximately 26KD. The expected band size for GSTM1 is at 26KD.)
IHC (Immunohistochemistry)
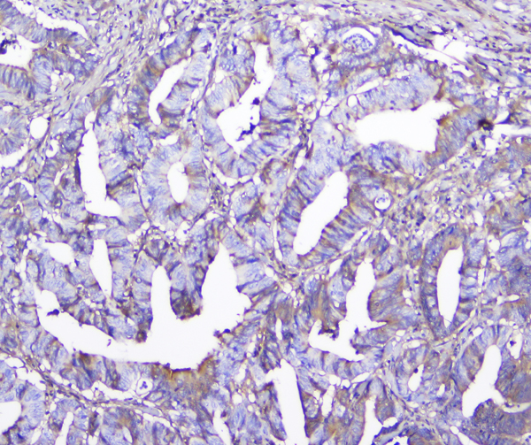
(Figure 4. IHC analysis of GSTM1 using anti-GSTM1 antibody (AAA125133).GSTM1 was detected in paraffin-embedded section of human colon cancer tissue. Heat mediated antigen retrieval was performed in citrate buffer (pH6, epitope retrieval solution) for 20 mins. The tissue section was blocked with 10% goat serum. The tissue section was then incubated with 2ug/ml mouse anti-GSTM1 Antibody (AAA125133) overnight at 4 degree C. Biotinylated goat anti-mouse IgG was used as secondary antibody and incubated for 30 minutes at 37 degree C. The tissue section was developed using Strepavidin-Biotin-Complex (SABC) with DAB as the chromogen.)
IHC (Immunohistochemisry)
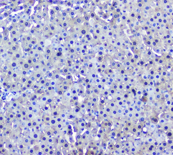
(Figure 3. IHC analysis of GSTM1 using anti-GSTM1 antibody (AAA125133).GSTM1 was detected in paraffin-embedded section of rat liver tissue. Heat mediated antigen retrieval was performed in citrate buffer (pH6, epitope retrieval solution) for 20 mins. The tissue section was blocked with 10% goat serum. The tissue section was then incubated with 2ug/ml mouse anti-GSTM1 Antibody (AAA125133) overnight at 4 degree C. Biotinylated goat anti-mouse IgG was used as secondary antibody and incubated for 30 minutes at 37 degree C. The tissue section was developed using Strepavidin-Biotin-Complex (SABC) with DAB as the chromogen.)
IHC (Immunohiostchemistry)
(Figure 3. IHC analysis of GSTM1 using anti-GSTM1 antibody (AAA125133).GSTM1 was detected in paraffin-embedded section of rat liver tissue. Heat mediated antigen retrieval was performed in citrate buffer (pH6, epitope retrieval solution) for 20 mins. The tissue section was blocked with 10% goat serum. The tissue section was then incubated with 2ug/ml mouse anti-GSTM1 Antibody (AAA125133) overnight at 4 degree C. Biotinylated goat anti-mouse IgG was used as secondary antibody and incubated for 30 minutes at 37 degree C. The tissue section was developed using Strepavidin-Biotin-Complex (SABC) with DAB as the chromogen.)
FCM/FACS (Flow Cytometry)
(Figure 1. Flow Cytometry analysis of U20S cells using anti-GSTM1 antibody (AAA125133).Overlay histogram showing U20S cells stained with AAA125133 (Blue line).The cells were blocked with 10% normal goat serum. And then incubated with mouse anti-GSTM1 Antibody (AAA125133, 1ug/1x106 cells) for 30 min at 20 degree C. DyLight488 conjugated goat anti-mouse IgG (BA1126, 5-10ug/1x106 cells) was used as secondary antibody for 30 minutes at 20 degree C. Isotype control antibody (Green line) was mouse IgG (1ug/1x106) used under the same conditions. Unlabelled sample (Red line) was also used as a control.)
Background: Glutathione S-transferase Mu 1 (gene name GSTM1) is a human glutathione S-transferase. Cytosolic and membrane-bound forms of glutathione S-transferase are encoded by two distinct supergene families. At present, eight distinct classes of the soluble cytoplasmic mammalian glutathione S-transferases have been identified: alpha, kappa, mu, omega, pi, sigma, theta and zeta. This gene encodes a glutathione S-transferase that belongs to the mu class. The mu class of enzymes functions in the detoxification of electrophilic compounds, including carcinogens, therapeutic drugs, environmental toxins and products of oxidative stress, by conjugation with glutathione. The genes encoding the mu class of enzymes are organized in a gene cluster on chromosome 1p13.3 and are known to be highly polymorphic. These genetic variations can change an individual's susceptibility to carcinogens and toxins as well as affect the toxicity and efficacy of certain drugs. Null mutations of this class mu gene have been linked with an increase in a number of cancers, likely due to an increased susceptibility to environmental toxins and carcinogens. Multiple protein isoforms are encoded by transcript variants of this gene.
NCBI and Uniprot Product Information
Customer Reviews
Loading reviews...
Share Your Experience
Similar Products
Product Notes
The GSTM1 gstm1 (Catalog #AAA125133) is an Antibody produced from Mouse and is intended for research purposes only. The product is available for immediate purchase. The Anti-GSTM1 Antibody (monoclonal, 11F2) reacts with Human, Mouse, Rat and may cross-react with other species as described in the data sheet. AAA Biotech's GSTM1 can be used in a range of immunoassay formats including, but not limited to, FCM/FACS (Flow Cytometry), ICC (Immunocytochemistry), IHC (Immunohistochemistry), WB (Western Blot). Researchers should empirically determine the suitability of the GSTM1 gstm1 for an application not listed in the data sheet. Researchers commonly develop new applications and it is an integral, important part of the investigative research process. It is sometimes possible for the material contained within the vial of "GSTM1, Monoclonal Antibody" to become dispersed throughout the inside of the vial, particularly around the seal of said vial, during shipment and storage. We always suggest centrifuging these vials to consolidate all of the liquid away from the lid and to the bottom of the vial prior to opening. Please be advised that certain products may require dry ice for shipping and that, if this is the case, an additional dry ice fee may also be required.Precautions
All products in the AAA Biotech catalog are strictly for research-use only, and are absolutely not suitable for use in any sort of medical, therapeutic, prophylactic, in-vivo, or diagnostic capacity. By purchasing a product from AAA Biotech, you are explicitly certifying that said products will be properly tested and used in line with industry standard. AAA Biotech and its authorized distribution partners reserve the right to refuse to fulfill any order if we have any indication that a purchaser may be intending to use a product outside of our accepted criteria.Disclaimer
Though we do strive to guarantee the information represented in this datasheet, AAA Biotech cannot be held responsible for any oversights or imprecisions. AAA Biotech reserves the right to adjust any aspect of this datasheet at any time and without notice. It is the responsibility of the customer to inform AAA Biotech of any product performance issues observed or experienced within 30 days of receipt of said product. To see additional details on this or any of our other policies, please see our Terms & Conditions page.Item has been added to Shopping Cart
If you are ready to order, navigate to Shopping Cart and get ready to checkout.
