Mouse HLA-DRB Monoclonal Antibody | anti-HLA-DRB1 antibody
HLA-DRB (MHC II) Mouse Monoclonal Antibody
Gene Names
HLA-DRB1; SS1; DRB1; DRw10; HLA-DRB; HLA-DR1B
Reactivity
Human, Monkey.Does not react with Mouse
Applications
Immunohistochemistry, Western Blot, Immunofluorescence, Flow Cytometry, Functional Assay
Synonyms
HLA-DRB, Antibody; HLA-DRB (MHC II) Mouse Monoclonal Antibody; DRB1; HLA class II histocompatibility antigen, DR-1 beta chain; HLA-DR-beta 1; HLA-DRB1; human leucocyte antigen DRB1; Leucocyte antigen DR beta 1 chain; lymphocyte antigen DRB1; major histocompatibility complex, class II, DR beta 1; MHC class II HLA-DR beta 1 chain; MHC class II HLA-DR-beta cell surface glycoprotein; anti-HLA-DRB1 antibody
Host
Mouse
Reactivity
Human, Monkey.
Does not react with Mouse
Does not react with Mouse
Clonality
Monoclonal
Isotype
IgG2b, kappa
Clone Number
LN-3
Specificity
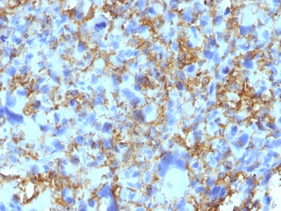
This MAb reacts with a 28kDa chain of HLA-DRB1 antigen, a member of MHC class II molecules. It does not cross react with HLA-DP and HLA-DQ. The L243 antibody recognizes a different epitope than the LN3 monoclonal antibody, and these antibodies do not cross-block binding to each other's respective epitopes. HLA-DR is a heterodimeric cell surface glycoprotein comprised of a 36kDa alpha (heavy) chain and a 28kDa beta (light) chain. It is expressed on B-cells, activated T-cells, monocytes/macrophages, dendritic cells and other non-professional AP's. In conjunction with the CD3/TCR complex and CD4 molecules, HLA-DR is critical for efficient peptide presentation to CD4+ T cells. It is an excellent histiocytic marker in paraffin sections producing intense staining. True histiocytic neoplasms are similarly positive. HLA-DR antigens also occur on a variety of epithelial cells and their corresponding neoplastic counterparts. Loss of HLA-DR expression is related to tumor microenvironment and predicts adverse outcome in diffuse large B-cell lymphoma.
Form/Format
200ug/ml of Ab purified from Bioreactor Concentrate by Protein A/G. Prepared in 10mM PBS with 0.05% BSA & 0.05% azide. Also available WITHOUT BSA & azide at 1.0mg/ml.
Sequence Length
266
Applicable Applications for anti-HLA-DRB1 antibody
IHC (Immunohistochemistry), WB (Western Blot), IF (Immunofluorescence), FCM/FACS (Flow Cytometry)
Cellular Localization
Cell Surface
Immunogen
Activated human peripheral blood mononuclear cells
Hu-Chromosome Location
6p21.3
Positive Control
Ramos, Daudi or HuT78 cells. Tonsil or lymph node
Preparation and Storage
Antibody with azide - store at 2 to 8 degree C. Antibody without azide - store at -20 to -80 degree C. Antibody is stable for 24 months. Non-hazardous. No MSDS required.
References
Marder RJ, et al. 1985. Lab. Invest. 52:497.2. Norton AJ and Isaacson PG. 1987. Am. J. Pathol. 128:225.3. Hua ZX, et al. 1998. Hum. Pathol. 29(12):1441
NCBI and Uniprot Product Information
NCBI GI #
NCBI GeneID
NCBI Accession #
NCBI GenBank Nucleotide #
UniProt Accession #
Molecular Weight
28kDa (beta chain)
NCBI Official Full Name
major histocompatibility complex, class II, DR beta 1
NCBI Official Synonym Full Names
major histocompatibility complex, class II, DR beta 1
NCBI Official Symbol
HLA-DRB1
NCBI Official Synonym Symbols
SS1; DRB1; DRw10; HLA-DRB; HLA-DR1B
NCBI Protein Information
major histocompatibility complex, class II, DR beta 1
UniProt Protein Name
HLA class II histocompatibility antigen, DRB1-15 beta chain
UniProt Gene Name
HLA-DRB1
UniProt Synonym Gene Names
HLA-DRB2
UniProt Entry Name
2B1F_HUMAN
Customer Reviews
Loading reviews...
Share Your Experience
Similar Products
Product Notes
The HLA-DRB1 hla-drb1 (Catalog #AAA62805) is an Antibody produced from Mouse and is intended for research purposes only. The product is available for immediate purchase. The HLA-DRB (MHC II) Mouse Monoclonal Antibody reacts with Human, Monkey. Does not react with Mouse and may cross-react with other species as described in the data sheet. AAA Biotech's HLA-DRB can be used in a range of immunoassay formats including, but not limited to, IHC (Immunohistochemistry), WB (Western Blot), IF (Immunofluorescence), FCM/FACS (Flow Cytometry). Researchers should empirically determine the suitability of the HLA-DRB1 hla-drb1 for an application not listed in the data sheet. Researchers commonly develop new applications and it is an integral, important part of the investigative research process. It is sometimes possible for the material contained within the vial of "HLA-DRB, Monoclonal Antibody" to become dispersed throughout the inside of the vial, particularly around the seal of said vial, during shipment and storage. We always suggest centrifuging these vials to consolidate all of the liquid away from the lid and to the bottom of the vial prior to opening. Please be advised that certain products may require dry ice for shipping and that, if this is the case, an additional dry ice fee may also be required.Precautions
All products in the AAA Biotech catalog are strictly for research-use only, and are absolutely not suitable for use in any sort of medical, therapeutic, prophylactic, in-vivo, or diagnostic capacity. By purchasing a product from AAA Biotech, you are explicitly certifying that said products will be properly tested and used in line with industry standard. AAA Biotech and its authorized distribution partners reserve the right to refuse to fulfill any order if we have any indication that a purchaser may be intending to use a product outside of our accepted criteria.Disclaimer
Though we do strive to guarantee the information represented in this datasheet, AAA Biotech cannot be held responsible for any oversights or imprecisions. AAA Biotech reserves the right to adjust any aspect of this datasheet at any time and without notice. It is the responsibility of the customer to inform AAA Biotech of any product performance issues observed or experienced within 30 days of receipt of said product. To see additional details on this or any of our other policies, please see our Terms & Conditions page.Item has been added to Shopping Cart
If you are ready to order, navigate to Shopping Cart and get ready to checkout.
