Mouse Hsp70 Monoclonal Antibody | anti-HSPA1A antibody
Hsp70 Antibody: Biotin
IF (Immunofluorescence)
(Fluorescence Activated Cell Sorting analysis using Mouse Anti-Hsp70: FITC Monoclonal Antibody, Clone C92. Tissue: Heat Shocked CD3+ CD8+ T cells . Species: Mouse. Primary Antibody: Mouse Anti-Hsp70: FITC Monoclonal Antibody at 1:1000. Courtesy of: Cheryl Cameron, Vaccine and Gene Therapy Instit. Florida.)
WB (Western Blot)
(Western Blot analysis of Human cell lysates from various cell lines showing detection of Hsp70 protein using Mouse Anti-Hsp70 Monoclonal Antibody, Clone C92. Load: 15 ug. Block: 1.5% BSA for 30 minutes at RT. Primary Antibody: Mouse Anti-Hsp70 Monoclonal Antibody at 1:1000 for 2 hours at RT. Secondary Antibody: Sheep Anti-Mouse IgG: HRP for 1 hour at RT.)
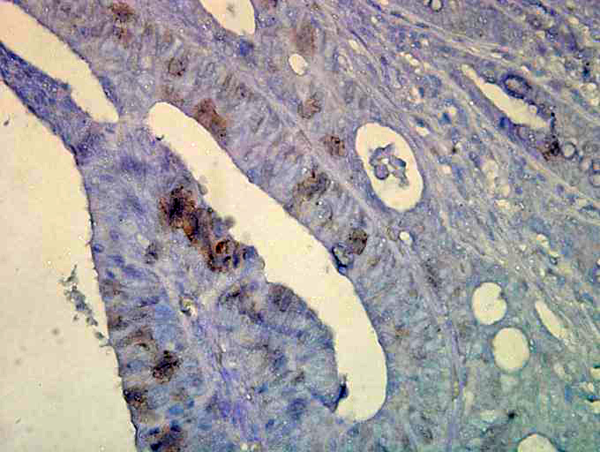
IHC (Immunohistochemisry)
(Immunohistochemistry analysis using Mouse Anti-Hsp70 Monoclonal Antibody, Clone C92. Tissue: colon carcinoma. Species: Human. Fixation: Formalin. Primary Antibody: Mouse Anti-Hsp70 Monoclonal Antibody at 1:10000 for 12 hours at 4 degree C. Secondary Antibody: Biotin Goat Anti-Mouse at 1:2000 for 1 hour at RT. Counterstain: Mayer Hematoxylin (purple/blue) nuclear stain at 200 ul for 2 minutes at RT. Localization: Inflammatory cells. Magnification: 40x.)
ICC (Immunocytochemistry)
(Immunocytochemistry/Immunofluorescence analysis using Mouse Anti-Hsp70 Monoclonal Antibody, Clone C92. Tissue: Heat Shocked Melanoma cells. Species: Mouse. Fixation: Formalin. Primary Antibody: Mouse Anti-Hsp70 Monoclonal Antibody at 1:1000 for 16 hours at RT. Secondary Antibody: Biotin Goat Anti-Mouse. Courtesy of: Dr. Ewa Malusecka, Maria Sklodowska-Curie Memorial Cancer Centre and Inst. Of Oncology, Poland.)
IHC (Immunohistochemistry)
(Immunohistochemistry analysis using Mouse Anti-Hsp70 Monoclonal Antibody, Clone C92. Tissue: colon carcinoma. Species: Mouse. Fixation: Formalin. Primary Antibody: Mouse Anti-Hsp70 Monoclonal Antibody at 1:10000 for 12 hours at 4 degree C. Secondary Antibody: Biotin Goat Anti-Mouse at 1:2000 for 1 hour at RT. Counterstain: Mayer Hematoxylin (purple/blue) nuclear stain at 200 ul for 2 minutes at RT. Localization: Inflammatory cells. Magnification: 40x.)
Scientific Background: Hsp70 genes encode abundant heat-inducible 70-kDa hsps (hsp70s). In most eukaryotes hsp70 genes exist as part of a multigene family. They are found in most cellular compartments of eukaryotes including nuclei, mitochondria, chloroplasts, the endoplasmic reticulum and the cytosol, as well as in bacteria. The genes show a high degree of conservation, having at least 5O% identity (2). The N-terminal two thirds of hsp70s are more conserved than the C-terminal third. Hsp70 binds ATP with high affinity and possesses a weak ATPase activity which can be stimulated by binding to unfolded proteins and synthetic peptides (3). When hsc70 (constitutively expressed) present in mammalian cells was truncated, ATP binding activity was found to reside in an N-terminal fragment of 44 kDa which lacked peptide binding capacity. Polypeptide binding ability therefore resided within the C-terminal half (4). The structure of this ATP binding domain displays multiple features of nucleotide binding proteins (5). All hsp70s, regardless of location, bind proteins, particularly unfolded ones. The molecular chaperones of the hsp70 family recognize and bind to nascent polypeptide chains as well as partially folded intermediates of proteins preventing their aggregation and misfolding. The binding of ATP triggers a critical conformational change leading to the release of the bound substrate protein (6). The universal ability of hsp70s to undergo cycles of binding to and release from hydrophobic stretches of partially unfolded proteins determines their role in a great variety of vital intracellular functions such as protein synthesis, protein folding and oligomerization and protein transport.
1. Xu, Y. et al. (2009). 2,3-Dihydrowithaferin A-3β-O-sulfate, a new potential prodrug of withaferin A from aeroponically grown Withania somnifera. Bioorganic & Medicinal Chemistry. 17 (6), 2210-2214. doi:10.1016/j.bmc.2008.10.091
2. Fernndez-Llama, P. et al. (2010). Tamm-Horsfall protein and urinary exosome isolation. Kidney International. 77, 736-742. doi:10.1038/ki.2009.550
3. Marubayashi, S. et al. (2010). HSP90 is a therapeutic target in JAK2-dependent myeloproliferative neoplasms in mice and humans. J Clin Invest. 120 (10), 3578-3593. doi:10.1172/JCI42442
4. Olkku, A., Leskinen, J.J., Lammi, M.J., Hynynen, K., and Mahonen, A. (2010). Ultrasound-induced activation of Wnt signaling in human MG-63 osteoblastic cells. Bone. 47 (2), 320-330.
5. Aare, S. et al. (2011). Mechanisms underlying the sparing of masticatory versus limb muscle function in an experimental critical illness model. Physiol Genomics. 43 (24), 1334-1350. doi: 10.1152/physiolgenomics.00116.2011.
NCBI and Uniprot Product Information
HSPA1B; HSP70-1/HSP70-2; HSP70.1/HSP70.2
Customer Reviews
Loading reviews...
Share Your Experience
Similar Products
Product Notes
The HSPA1A hspa1a (Catalog #AAA102998) is an Antibody produced from Mouse and is intended for research purposes only. The product is available for immediate purchase. The Hsp70 Antibody: Biotin reacts with Human, Mouse, Rat, Bovine, C.elegans, Canine, Chicken, Drosophilia, Carp, Guinea pig, Hamster, Monkey, Pig, Rabbit, Sheep and may cross-react with other species as described in the data sheet. AAA Biotech's Hsp70 can be used in a range of immunoassay formats including, but not limited to, FCM/FACS (Flow Cytometry), IHC (Immunohistochemistry), ICC (Immunocytochemistry), ELISA, IP (Immunoprecipitation), WB (Western Blot). Researchers should empirically determine the suitability of the HSPA1A hspa1a for an application not listed in the data sheet. Researchers commonly develop new applications and it is an integral, important part of the investigative research process. It is sometimes possible for the material contained within the vial of "Hsp70, Monoclonal Antibody" to become dispersed throughout the inside of the vial, particularly around the seal of said vial, during shipment and storage. We always suggest centrifuging these vials to consolidate all of the liquid away from the lid and to the bottom of the vial prior to opening. Please be advised that certain products may require dry ice for shipping and that, if this is the case, an additional dry ice fee may also be required.Precautions
All products in the AAA Biotech catalog are strictly for research-use only, and are absolutely not suitable for use in any sort of medical, therapeutic, prophylactic, in-vivo, or diagnostic capacity. By purchasing a product from AAA Biotech, you are explicitly certifying that said products will be properly tested and used in line with industry standard. AAA Biotech and its authorized distribution partners reserve the right to refuse to fulfill any order if we have any indication that a purchaser may be intending to use a product outside of our accepted criteria.Disclaimer
Though we do strive to guarantee the information represented in this datasheet, AAA Biotech cannot be held responsible for any oversights or imprecisions. AAA Biotech reserves the right to adjust any aspect of this datasheet at any time and without notice. It is the responsibility of the customer to inform AAA Biotech of any product performance issues observed or experienced within 30 days of receipt of said product. To see additional details on this or any of our other policies, please see our Terms & Conditions page.Item has been added to Shopping Cart
If you are ready to order, navigate to Shopping Cart and get ready to checkout.
