Hsp90 alpha Recombinant Antibody | Hsp90alpha recombinant antibody
Hsp90 alpha Rabbit mAb
Gene Names
HSP90AA1; EL52; HSPN; LAP2; HSP86; HSPC1; HSPCA; Hsp89; Hsp90; HSP89A; HSP90A; HSP90N; HSPCAL1; HSPCAL4
Reactivity
Human, Mouse, Rat
Applications
Immunofluorescence, Immunocytochemistry, Immunohistochemistry, Western Blot
Purity
Affinity-chromatography
Synonyms
Hsp90 alpha, Recombinant Antibody; Hsp90 alpha Rabbit mAb; FLJ31884; HSPC1 ; EL52; Hsp90; HSPCA; LAP2 ; HSPN ; HSP90A; HSP 86; heat shock 90kD protein 1 alpha antibody; Hsp90alpha recombinant antibody
Host
Rabbit
Reactivity
Human, Mouse, Rat
Clonality
Monoclonal
Isotype
Rabbit IgG
Specificity
Hsp90 alpha antibody detects endogenous levels of total Hsp90 alpha
Purity/Purification
Affinity-chromatography
Form/Format
Rabbit IgG in phosphate buffered saline, pH7.4, 150mM NaCl, 0.02% sodium azide and 50% glycerol.
Applicable Applications for Hsp90alpha recombinant antibody
IF (Immunofluorescence), ICC (Immunocytochemistry), IHC (Immunohistochemistry), WB (Western Blot)
Immunogen
A synthesized peptide derived from human Hsp90 alpha
Preparation and Storage
Store at +4 degree C short term. Store at -20 degree C long term. Avoid freeze/thaw cycle.
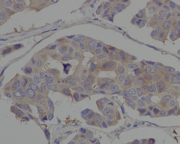
IHC (Immunohiostchemistry)
(Immunohistochemical analysis of paraffin-embedded human breast cancer, using Hsp90 alpha antibody.)
Related Product Information for Hsp90alpha recombinant antibody
HSP90A a molecular chaperone of the heat shock protein 90 family. Has ATPase activity. Known to interact with a wide variety of proteins including steroid hormone receptors, neuropeptide Y, FKBP51/54, and FKBP52. G protein-coupled receptor kinases are stabilized by interacting with HSP 90. Hsp70 and Hsp90 promote tau solubility and tau binding to microtubules, reducing insoluble tau.
Product Categories/Family for Hsp90alpha recombinant antibody
NCBI and Uniprot Product Information
NCBI GI #
NCBI GeneID
NCBI Accession #
NCBI GenBank Nucleotide #
Molecular Weight
84,660 Da
NCBI Official Full Name
heat shock protein HSP 90-alpha isoform 1
NCBI Official Synonym Full Names
heat shock protein 90kDa alpha (cytosolic), class A member 1
NCBI Official Symbol
HSP90AA1
NCBI Official Synonym Symbols
EL52; HSPN; LAP2; HSP86; HSPC1; HSPCA; Hsp89; Hsp90; HSP89A; HSP90A; HSP90N; HSPCAL1; HSPCAL4
NCBI Protein Information
heat shock protein HSP 90-alpha; HSP 86; heat shock 86 kDa; heat shock 90kD protein 1, alpha; heat shock 90kDa protein 1, alpha; renal carcinoma antigen NY-REN-38; heat shock 90kD protein, alpha-like 4; epididymis luminal secretory protein 52; heat shock
UniProt Protein Name
Heat shock protein HSP 90-alpha
UniProt Gene Name
HSP90AA1
UniProt Synonym Gene Names
HSP90A; HSPC1; HSPCA; HSP 86; HSP86
UniProt Entry Name
HS90A_HUMAN
Similar Products
Product Notes
The Hsp90alpha hsp90aa1 (Catalog #AAA315135) is a Recombinant Antibody produced from Rabbit and is intended for research purposes only. The product is available for immediate purchase. The Hsp90 alpha Rabbit mAb reacts with Human, Mouse, Rat and may cross-react with other species as described in the data sheet. AAA Biotech's Hsp90 alpha can be used in a range of immunoassay formats including, but not limited to, IF (Immunofluorescence), ICC (Immunocytochemistry), IHC (Immunohistochemistry), WB (Western Blot). Researchers should empirically determine the suitability of the Hsp90alpha hsp90aa1 for an application not listed in the data sheet. Researchers commonly develop new applications and it is an integral, important part of the investigative research process. It is sometimes possible for the material contained within the vial of "Hsp90 alpha, Monoclonal Recombinant Antibody" to become dispersed throughout the inside of the vial, particularly around the seal of said vial, during shipment and storage. We always suggest centrifuging these vials to consolidate all of the liquid away from the lid and to the bottom of the vial prior to opening. Please be advised that certain products may require dry ice for shipping and that, if this is the case, an additional dry ice fee may also be required.Precautions
All products in the AAA Biotech catalog are strictly for research-use only, and are absolutely not suitable for use in any sort of medical, therapeutic, prophylactic, in-vivo, or diagnostic capacity. By purchasing a product from AAA Biotech, you are explicitly certifying that said products will be properly tested and used in line with industry standard. AAA Biotech and its authorized distribution partners reserve the right to refuse to fulfill any order if we have any indication that a purchaser may be intending to use a product outside of our accepted criteria.Disclaimer
Though we do strive to guarantee the information represented in this datasheet, AAA Biotech cannot be held responsible for any oversights or imprecisions. AAA Biotech reserves the right to adjust any aspect of this datasheet at any time and without notice. It is the responsibility of the customer to inform AAA Biotech of any product performance issues observed or experienced within 30 days of receipt of said product. To see additional details on this or any of our other policies, please see our Terms & Conditions page.Item has been added to Shopping Cart
If you are ready to order, navigate to Shopping Cart and get ready to checkout.
