Mouse Iba1 Monoclonal Antibody | anti-Iba1 antibody
Iba1
Gene Names
AIF1; IBA1; IRT1; AIF-1; IRT-1
Reactivity
Human, Mouse, Rat
Applications
Immunoprecipitation, Flow Cytometry, Functional Assay, Immunohistochemistry, Immunocytochemistry, Western Blot
Purity
Pro A affinity purified
Synonyms
Iba1, Antibody; Iba1; AIF 1 antibody;AIF-1 antibody;Aif1 antibody;AIF1 protein antibody;AIF1_HUMAN antibody;Allograft inflammatory factor 1 antibody;Allograft inflammatory factor 1 splice variant G antibody;allograft inflammatory factor-1 splice variant Hara-1 antibody;balloon angioplasty responsive transcription antibody;BART 1 antibody;G1 antibody;G1 putative splice variant of allograft inflamatory factor 1 antibody;IBA 1 antibody;; anti-Iba1 antibody
Host
Mouse
Reactivity
Human, Mouse, Rat
Clonality
Monoclonal
Isotype
IgG
Clone Number
JB24-42
Purity/Purification
Pro A affinity purified
Form/Format
1*TBS (pH7.4), 1%BSA, 40%Glycerol. Preservative: 0.05% Sodium Azide.
Sequence Length
93
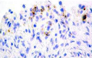
Applicable Applications for anti-Iba1 antibody
IP (Immunoprecipitation), FCM/FACS (Flow Cytometry), IHC (Immunohistochemistry), ICC (Immunocytochemistry), WB (Western Blot)
Immunogen
protein
Subcellular location
Cytoplasm, cytoskeleton.
Positive control
Human PBL whole cell lysate, rat brain, rat C6 glioblastoma tissue.
Preparation and Storage
Store at +4 degree C after thawing. Aliquot store at -20 degree C or -80 degree C. Avoid repeated freeze / thaw cycles.
Related Product Information for anti-Iba1 antibody
Ionized calcium-binding adapter molecule 1 (Iba1), also known as allograft inflammatory factor-1 (AIF-1), is a 147 amino acid cytoplasmic, calcium-binding protein that is thought to play a role in macrophage activation and function. Iba1, containing two EF domains, is induced by cytokines and interferons.
NCBI and Uniprot Product Information
NCBI GI #
NCBI GeneID
NCBI Accession #
NCBI GenBank Nucleotide #
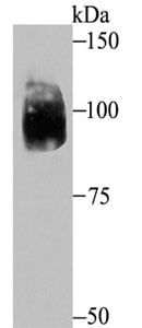
Molecular Weight
17kDa
NCBI Official Full Name
allograft inflammatory factor 1 isoform 1
NCBI Official Synonym Full Names
allograft inflammatory factor 1
NCBI Official Symbol
AIF1
NCBI Official Synonym Symbols
IBA1; IRT1; AIF-1; IRT-1
NCBI Protein Information
allograft inflammatory factor 1
UniProt Protein Name
Allograft inflammatory factor 1
UniProt Gene Name
AIF1
UniProt Synonym Gene Names
G1; IBA1; AIF-1
Customer Reviews
Loading reviews...
Share Your Experience
Similar Products
Product Notes
The Iba1 aif1 (Catalog #AAA268456) is an Antibody produced from Mouse and is intended for research purposes only. The product is available for immediate purchase. The Iba1 reacts with Human, Mouse, Rat and may cross-react with other species as described in the data sheet. AAA Biotech's Iba1 can be used in a range of immunoassay formats including, but not limited to, IP (Immunoprecipitation), FCM/FACS (Flow Cytometry), IHC (Immunohistochemistry), ICC (Immunocytochemistry), WB (Western Blot). Researchers should empirically determine the suitability of the Iba1 aif1 for an application not listed in the data sheet. Researchers commonly develop new applications and it is an integral, important part of the investigative research process. It is sometimes possible for the material contained within the vial of "Iba1, Monoclonal Antibody" to become dispersed throughout the inside of the vial, particularly around the seal of said vial, during shipment and storage. We always suggest centrifuging these vials to consolidate all of the liquid away from the lid and to the bottom of the vial prior to opening. Please be advised that certain products may require dry ice for shipping and that, if this is the case, an additional dry ice fee may also be required.Precautions
All products in the AAA Biotech catalog are strictly for research-use only, and are absolutely not suitable for use in any sort of medical, therapeutic, prophylactic, in-vivo, or diagnostic capacity. By purchasing a product from AAA Biotech, you are explicitly certifying that said products will be properly tested and used in line with industry standard. AAA Biotech and its authorized distribution partners reserve the right to refuse to fulfill any order if we have any indication that a purchaser may be intending to use a product outside of our accepted criteria.Disclaimer
Though we do strive to guarantee the information represented in this datasheet, AAA Biotech cannot be held responsible for any oversights or imprecisions. AAA Biotech reserves the right to adjust any aspect of this datasheet at any time and without notice. It is the responsibility of the customer to inform AAA Biotech of any product performance issues observed or experienced within 30 days of receipt of said product. To see additional details on this or any of our other policies, please see our Terms & Conditions page.Item has been added to Shopping Cart
If you are ready to order, navigate to Shopping Cart and get ready to checkout.
