Mouse IkappaB beta Monoclonal Antibody | anti-IkappaBbeta antibody
IkappaB beta Monoclonal Antibody (8D11)
Gene Names
NFKBIB; IKBB; TRIP9
Reactivity
Human, Mouse, Rat
Applications
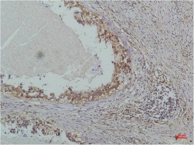
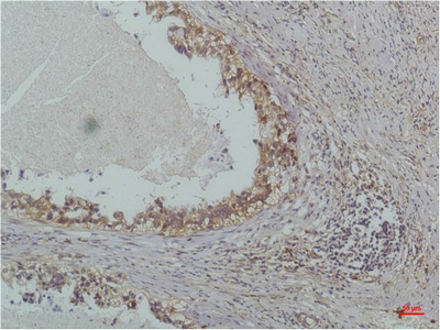
Immunohistochemistry
Synonyms
IkappaB beta, Antibody; IkappaB beta Monoclonal Antibody (8D11); NFKBIB; IKBB; TRIP9; NF-kappa-B inhibitor beta; NF-kappa-BIB; I-kappa-B-beta; IkB-B; IkB-beta; IkappaBbeta; Thyroid receptor-interacting protein 9; TR-interacting protein 9; TRIP-9; anti-IkappaBbeta antibody
Host
Mouse
Reactivity
Human, Mouse, Rat
Clonality
Monoclonal
Clone Number
8D11
Applicable Applications for anti-IkappaBbeta antibody
IHC (Immunohistochemistry)
Preparation and Storage
Maintain refrigerated at 2-8 degree C for up to 2 weeks. For long term storage store at -20 degree C in small aliquots to prevent freeze-thaw cycles.
Related Product Information for anti-IkappaBbeta antibody
Inhibits NF-kappa-B by complexing with and trapping it in the cytoplasm. However, the unphosphorylated form resynthesized after cell stimulation is able to bind NF-kappa-B allowing its transport to the nucleus and protecting it to further NFKBIA- dependent inactivation. Association with inhibitor kappa B- interacting NKIRAS1 and NKIRAS2 prevent its phosphorylation rendering it more resistant to degradation, explaining its slower degradation.
NCBI and Uniprot Product Information
NCBI GI #
NCBI GeneID
NCBI Accession #
NCBI GenBank Nucleotide #
Molecular Weight
37,771 Da
NCBI Official Full Name
NF-kappa-B inhibitor beta isoform 2
NCBI Official Synonym Full Names
nuclear factor of kappa light polypeptide gene enhancer in B-cells inhibitor, beta
NCBI Official Symbol
NFKBIB
NCBI Official Synonym Symbols
IKBB; TRIP9
NCBI Protein Information
NF-kappa-B inhibitor beta; ikB-B; TRIP-9; ikB-beta; ikappaBbeta; NF-kappa-BIB; I-kappa-B-beta; TR-interacting protein 9; thyroid receptor-interacting protein 9
UniProt Protein Name
NF-kappa-B inhibitor beta
UniProt Gene Name
NFKBIB
UniProt Synonym Gene Names
IKBB; TRIP9; NF-kappa-BIB; IkB-B; IkB-beta; IkappaBbeta; TR-interacting protein 9; TRIP-9
UniProt Entry Name
IKBB_HUMAN
Customer Reviews
Loading reviews...
Share Your Experience
Similar Products
Product Notes
The IkappaBbeta nfkbib (Catalog #AAA293715) is an Antibody produced from Mouse and is intended for research purposes only. The product is available for immediate purchase. The IkappaB beta Monoclonal Antibody (8D11) reacts with Human, Mouse, Rat and may cross-react with other species as described in the data sheet. AAA Biotech's IkappaB beta can be used in a range of immunoassay formats including, but not limited to, IHC (Immunohistochemistry). Researchers should empirically determine the suitability of the IkappaBbeta nfkbib for an application not listed in the data sheet. Researchers commonly develop new applications and it is an integral, important part of the investigative research process. It is sometimes possible for the material contained within the vial of "IkappaB beta, Monoclonal Antibody" to become dispersed throughout the inside of the vial, particularly around the seal of said vial, during shipment and storage. We always suggest centrifuging these vials to consolidate all of the liquid away from the lid and to the bottom of the vial prior to opening. Please be advised that certain products may require dry ice for shipping and that, if this is the case, an additional dry ice fee may also be required.Precautions
All products in the AAA Biotech catalog are strictly for research-use only, and are absolutely not suitable for use in any sort of medical, therapeutic, prophylactic, in-vivo, or diagnostic capacity. By purchasing a product from AAA Biotech, you are explicitly certifying that said products will be properly tested and used in line with industry standard. AAA Biotech and its authorized distribution partners reserve the right to refuse to fulfill any order if we have any indication that a purchaser may be intending to use a product outside of our accepted criteria.Disclaimer
Though we do strive to guarantee the information represented in this datasheet, AAA Biotech cannot be held responsible for any oversights or imprecisions. AAA Biotech reserves the right to adjust any aspect of this datasheet at any time and without notice. It is the responsibility of the customer to inform AAA Biotech of any product performance issues observed or experienced within 30 days of receipt of said product. To see additional details on this or any of our other policies, please see our Terms & Conditions page.Item has been added to Shopping Cart
If you are ready to order, navigate to Shopping Cart and get ready to checkout.
