Mouse anti-Human ITGB2 Monoclonal Antibody | anti-ITGB2 antibody
ITGB2 Antibody
WB (Western Blot)
(ITGB2 Antibody western blot analysis in K562 cell line lysates (35ug/lane).This demonstrates the ITGB2 antibody detected the ITGB2 protein (arrow).)
WB (Western Blot)
(Western blot analysis of lysate from HL-60 cell line, using ITGB2 Antibody. AAA283515 was diluted at 1:1000. A goat anti-mouse IgG H&L(HRP) at 1:3000 dilution was used as the secondary antibody. Lysate at 35ug.)
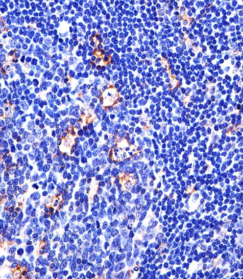
IHC (Immunohistochemistry)
(Immunohistochemical analysis of paraffin-embedded H. tonsil section using ITGB2 Antibody. AAA283515 was diluted at 1:25 dilution. A undiluted biotinylated goat polyvalent antibody was used as the secondary, followed by DAB staining.)
chain family of proteins. Integrins are integral cell-surface
proteins composed of an alpha chain and a beta chain. This gene
encodes the integrin beta chain beta 2. A given chain may combine
with multiple partners resulting in different integrins. For
example, beta 2 combines with the alpha L chain to form the
integrin LFA-1, and combines with the alpha M chain to form the
integrin Mac-1. Integrins are known to participate in cell adhesion
as well as cell-surface mediated signalling. Defects in this gene
are the cause of leukocyte adhesion deficiency type I (LAD1). Two
transcript variants encoding the same protein have been identified
for this gene.
Shimada, M., et al. Hum. Genet. 128(4):433-441(2010)
Bailey, S.D., et al. Diabetes Care 33(10):2250-2253(2010)
Chen, X., et al. Proc. Natl. Acad. Sci. U.S.A. 107(33):14727-14732(2010)
Pliyev, B.K., et al. Biochem. Biophys. Res. Commun. 397(2):277-282(2010)
NCBI and Uniprot Product Information
Customer Reviews
Loading reviews...
Share Your Experience
Similar Products
Product Notes
The ITGB2 itgb2 (Catalog #AAA283515) is an Antibody produced from Mouse and is intended for research purposes only. The product is available for immediate purchase. The ITGB2 Antibody reacts with Human and may cross-react with other species as described in the data sheet. AAA Biotech's ITGB2 can be used in a range of immunoassay formats including, but not limited to, WB (Western Blot), IHC (Immunohistochemistry), ELISA. Researchers should empirically determine the suitability of the ITGB2 itgb2 for an application not listed in the data sheet. Researchers commonly develop new applications and it is an integral, important part of the investigative research process. It is sometimes possible for the material contained within the vial of "ITGB2, Monoclonal Antibody" to become dispersed throughout the inside of the vial, particularly around the seal of said vial, during shipment and storage. We always suggest centrifuging these vials to consolidate all of the liquid away from the lid and to the bottom of the vial prior to opening. Please be advised that certain products may require dry ice for shipping and that, if this is the case, an additional dry ice fee may also be required.Precautions
All products in the AAA Biotech catalog are strictly for research-use only, and are absolutely not suitable for use in any sort of medical, therapeutic, prophylactic, in-vivo, or diagnostic capacity. By purchasing a product from AAA Biotech, you are explicitly certifying that said products will be properly tested and used in line with industry standard. AAA Biotech and its authorized distribution partners reserve the right to refuse to fulfill any order if we have any indication that a purchaser may be intending to use a product outside of our accepted criteria.Disclaimer
Though we do strive to guarantee the information represented in this datasheet, AAA Biotech cannot be held responsible for any oversights or imprecisions. AAA Biotech reserves the right to adjust any aspect of this datasheet at any time and without notice. It is the responsibility of the customer to inform AAA Biotech of any product performance issues observed or experienced within 30 days of receipt of said product. To see additional details on this or any of our other policies, please see our Terms & Conditions page.Item has been added to Shopping Cart
If you are ready to order, navigate to Shopping Cart and get ready to checkout.
