Rabbit ITGB2 Polyclonal Antibody | anti-ITGB2 antibody
ITGB2 Antibody
Phosphate buffered saline, pH 7.4, 150mM NaCl, 0.02% sodium azide and 50% glycerol.
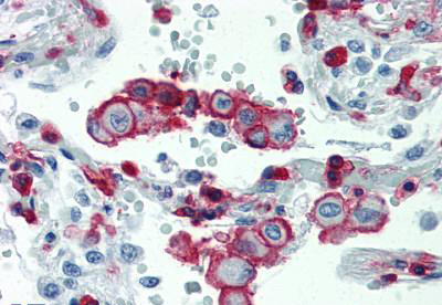
IHC (Immunohiostchemistry)
(AAA326651 at 1/100 staining Human liver cancer tissue by IHC-P. The sample was formaldehyde fixed and a heat mediated antigen retrieval step in citrate buffer was performed. The sample was then blocked and incubated with the antibody for 1.5 hours at 22 degree C. An HRP conjugated goat anti-rabbit antibody was used as the secondary.)
WB (Western Blot)
(Western blot analysis of extracts of K562, using ITGB2 antibody. The lane on the left is treated with the antigen-specific peptide.)
Function: Integrin ITGAL/ITGB2 is a receptor for ICAM1, ICAM2, ICAM3 and ICAM4. Integrins ITGAM/ITGB2 and ITGAX/ITGB2 are receptors for the iC3b fragment of the third complement component and for fibrinogen. Integrin ITGAX/ITGB2 recognizes the sequence G-P-R in fibrinogen alpha-chain. Integrin ITGAM/ITGB2 recognizes P1 and P2 peptides of fibrinogen gamma chain. Integrin ITGAM/ITGB2 is also a receptor for factor X. Integrin ITGAD/ITGB2 is a receptor for ICAM3 and VCAM1. Contributes to natural killer cell cytotoxicity (PubMed:15356110). Involved in leukocyte adhesion and transmigration of leukocytes including T-cells and neutrophils (PubMed:11812992, PubMed:28807980). Triggers neutrophil transmigration during lung injury through PTK2B/PYK2-mediated activation (PubMed:18587400). Integrin ITGAL/ITGB2 in association with ICAM3, contributes to apoptotic neutrophil phagocytosis by macrophages (PubMed:23775590). In association with alpha subunit ITGAM/CD11b, required for CD177-PRTN3-mediated activation of TNF primed neutrophils (PubMed:21193407).
Subunit Structure: Heterodimer of an alpha and a beta subunit (PubMed:20033057). ITGB2 associates with either ITGAL, ITGAM, ITGAX or ITGAD. Found in a complex with CD177 and ITGAM/CD11b (PubMed:21193407, PubMed:28807980). Interacts with FGR (By similarity). Interacts with COPS5 and RANBP9 (PubMed:10766246, PubMed:14722085). Interacts with FLNA (via filamin repeats 4, 9, 12, 17, 19, 21, and 23) (PubMed:19828450). Interacts with THBD (PubMed:27055590).
Post-translational Modifications: Both Ser-745 and Ser-756 become phosphorylated when T-cells are exposed to phorbol esters (PubMed:11700305). Phosphorylation on Thr-758 (but not on Ser-756) allows interaction with 14-3-3 proteins (PubMed:11700305, PubMed:16301335).
Similarity: Belongs to the integrin beta chain family.
NCBI and Uniprot Product Information
Predicted: 85 kDa
Customer Reviews
Loading reviews...
Share Your Experience
Similar Products
Product Notes
The ITGB2 itgb2 (Catalog #AAA326651) is an Antibody produced from Rabbit and is intended for research purposes only. The product is available for immediate purchase. The ITGB2 Antibody reacts with Human, Mouse, Rat and may cross-react with other species as described in the data sheet. AAA Biotech's ITGB2 can be used in a range of immunoassay formats including, but not limited to, ELISA, IHC (Immunohistochemistry), WB (Western Blot). Researchers should empirically determine the suitability of the ITGB2 itgb2 for an application not listed in the data sheet. Researchers commonly develop new applications and it is an integral, important part of the investigative research process. It is sometimes possible for the material contained within the vial of "ITGB2, Polyclonal Antibody" to become dispersed throughout the inside of the vial, particularly around the seal of said vial, during shipment and storage. We always suggest centrifuging these vials to consolidate all of the liquid away from the lid and to the bottom of the vial prior to opening. Please be advised that certain products may require dry ice for shipping and that, if this is the case, an additional dry ice fee may also be required.Precautions
All products in the AAA Biotech catalog are strictly for research-use only, and are absolutely not suitable for use in any sort of medical, therapeutic, prophylactic, in-vivo, or diagnostic capacity. By purchasing a product from AAA Biotech, you are explicitly certifying that said products will be properly tested and used in line with industry standard. AAA Biotech and its authorized distribution partners reserve the right to refuse to fulfill any order if we have any indication that a purchaser may be intending to use a product outside of our accepted criteria.Disclaimer
Though we do strive to guarantee the information represented in this datasheet, AAA Biotech cannot be held responsible for any oversights or imprecisions. AAA Biotech reserves the right to adjust any aspect of this datasheet at any time and without notice. It is the responsibility of the customer to inform AAA Biotech of any product performance issues observed or experienced within 30 days of receipt of said product. To see additional details on this or any of our other policies, please see our Terms & Conditions page.Item has been added to Shopping Cart
If you are ready to order, navigate to Shopping Cart and get ready to checkout.
