Mouse anti-Human Kappa Light Chain Monoclonal Antibody | anti-IGKC antibody
Kappa Light Chain (B-Cell Marker) Mouse Monoclonal Antibody
Gene Names
IGKC; Km; HCAK1; IGKCD
Reactivity
Human
Applications
Immunohistochemistry, Western Blot, Flow Cytometry, Functional Assay
Synonyms
Kappa Light Chain, Antibody; Kappa Light Chain (B-Cell Marker) Mouse Monoclonal Antibody; HCAK1; Ig Kappa Chain C Region; IGKC; Immunoglobulin KM; anti-IGKC antibody
Host
Mouse
Reactivity
Human
Clonality
Monoclonal
Isotype
IgG
Clone Number
HP6053 + L1C1
Specificity
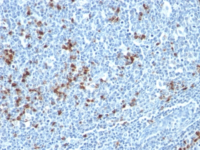
This MAb is specific to kappa light chain of immunoglobulin and shows no cross-reaction with lambda light chain or any of the five heavy chains. In mammals, the two light chains in an antibody are always identical, with only one type of light chain, kappa or lambda. The ratio of Kappa to Lambda is 70:30. However, with the occurrence of multiple myeloma or other B-cell malignancies this ratio is disturbed. Antibody to the kappa light chain is reportedly useful in the identification of leukemias, plasmacytomas, and certain non-Hodgkin's lymphomas. Demonstration of clonality in lymphoid infiltrates indicates that the infiltrate is malignant.
Form/Format
200ug/ml of Ab purified from Bioreactor Concentrate by Protein A/G. Prepared in 10mM PBS with 0.05% BSA & 0.05% azide. Also available WITHOUT BSA & azide at 1.0mg/ml.
Sequence Length
117
Applicable Applications for anti-IGKC antibody
IHC (Immunohistochemistry), WB (Western Blot), FCM/FACS (Flow Cytometry)
Cellular Localization
Cell Surface, Cytoplasmic and Secreted
Immunogen
Purified human Ig kappa chain (HP6053) & Human B-Lymphoma Cells (L1C1)
Hu-Chromosome Location
2p11.2
Positive Control
293T, Raji or hPBL cells. Tonsil or Spleen
Preparation and Storage
Antibody with azide - store at 2 to 8 degree C. Antibody without azide - store at -20 to -80 degree C. Antibody is stable for 24 months. Non-hazardous. No MSDS required.
References
Takahashi H et. al. Pathol Res Prac 189:300-311 (1993).2. Momose H et. al. Hum Pathol. 23:1115-1119 (1992)
NCBI and Uniprot Product Information
NCBI GI #
NCBI GeneID
UniProt Accession #
Molecular Weight
~22.5kDa
NCBI Official Full Name
Ig kappa chain V-ID region 16
NCBI Official Synonym Full Names
immunoglobulin kappa constant
NCBI Official Symbol
IGKC
NCBI Official Synonym Symbols
Km; HCAK1; IGKCD
UniProt Protein Name
Ig kappa chain V-ID region 16
UniProt Gene Name
IGKV1D-16
UniProt Entry Name
KV109_HUMAN
Customer Reviews
Loading reviews...
Share Your Experience
Similar Products
Product Notes
The IGKC igkv1d-16 (Catalog #AAA62510) is an Antibody produced from Mouse and is intended for research purposes only. The product is available for immediate purchase. The Kappa Light Chain (B-Cell Marker) Mouse Monoclonal Antibody reacts with Human and may cross-react with other species as described in the data sheet. AAA Biotech's Kappa Light Chain can be used in a range of immunoassay formats including, but not limited to, IHC (Immunohistochemistry), WB (Western Blot), FCM/FACS (Flow Cytometry). Researchers should empirically determine the suitability of the IGKC igkv1d-16 for an application not listed in the data sheet. Researchers commonly develop new applications and it is an integral, important part of the investigative research process. It is sometimes possible for the material contained within the vial of "Kappa Light Chain, Monoclonal Antibody" to become dispersed throughout the inside of the vial, particularly around the seal of said vial, during shipment and storage. We always suggest centrifuging these vials to consolidate all of the liquid away from the lid and to the bottom of the vial prior to opening. Please be advised that certain products may require dry ice for shipping and that, if this is the case, an additional dry ice fee may also be required.Precautions
All products in the AAA Biotech catalog are strictly for research-use only, and are absolutely not suitable for use in any sort of medical, therapeutic, prophylactic, in-vivo, or diagnostic capacity. By purchasing a product from AAA Biotech, you are explicitly certifying that said products will be properly tested and used in line with industry standard. AAA Biotech and its authorized distribution partners reserve the right to refuse to fulfill any order if we have any indication that a purchaser may be intending to use a product outside of our accepted criteria.Disclaimer
Though we do strive to guarantee the information represented in this datasheet, AAA Biotech cannot be held responsible for any oversights or imprecisions. AAA Biotech reserves the right to adjust any aspect of this datasheet at any time and without notice. It is the responsibility of the customer to inform AAA Biotech of any product performance issues observed or experienced within 30 days of receipt of said product. To see additional details on this or any of our other policies, please see our Terms & Conditions page.Item has been added to Shopping Cart
If you are ready to order, navigate to Shopping Cart and get ready to checkout.
