Mouse anti-Human Ki-67 Monoclonal Antibody | anti-MKI67 antibody
Ki-67 (Proliferating Cell Marker)
Gene Names
MKI67; KIA; MIB-; MIB-1; PPP1R105
Reactivity
Human
Applications
Immunohistochemistry, Immunofluorescence, Flow Cytometry, Functional Assay
Purity
Purified Ab conjugated to Biotin
Synonyms
Ki-67, Antibody; Ki-67 (Proliferating Cell Marker); KI-67; Ki67; KI-67 Antigen (KIA); MKI67; Proliferation related Ki-67 antigen; anti-MKI67 antibody
Host
Mouse
Reactivity
Human
Clonality
Monoclonal
Isotype
IgG2b, kappa
Clone Number
MKI67/2465
Specificity
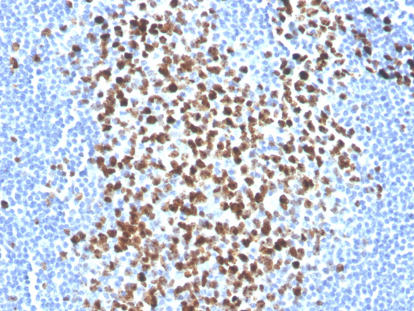
Ki-67 antigen is a nuclear, non-histone protein that is present in all stages of the cell cycle except G0. This characteristic makes Ki-67 an excellent marker for proliferating cells and is commonly used as one of the prognostic factors in cancer studies. A correlation has been demonstrated between Ki-67 index and the histo-pathological grade of neoplasms. Assessment of Ki-67 expression in renal and ureter tumors shows a correlation between tumor proliferation and disease progression, thus making it possible to differentiate high-risk patients. Ki-67 expression may also prove to be important for distinguishing between malignant and benign peripheral nerve sheath tumors. Ki-67 labeling index has been shown to be a prognostic marker in a number of neoplasms including grade II astrocytoma, oligodendroglioma, colon carcinoma, and breast carcinoma. In general, Ki-67 is a good marker of proliferating cell populations.
Purity/Purification
Purified Ab conjugated to Biotin
Form/Format
Antibody purified from Bioreactor Concentrate by Protein A/G and conjugated to Biotin. Prepared in 10mM PBS with 0.05% BSA and 0.05% azide.
Sequence Length
2896
Applicable Applications for anti-MKI67 antibody
IHC (Immunohistochemistry), IF (Immunofluorescence), FCM/FACS (Flow Cytometry)
Immunogen
Recombinant fragment (around aa 2293-2478) of Human Ki67 protein (exact sequence is proprietary)
Cellular Localization
Nuclear
Hu-chromosome Location
10q26.2
Positive Control
Any actively proliferating cells. Human skin, Tonsil or Lymph node.
Preparation and Storage
Antibody with azide: store at 2 to 8 degree C.
Antibody without azide: store at -20 to -80 degree C.
Antibody is stable for 24 months. Non-hazardous. No MSDS required.
Antibody without azide: store at -20 to -80 degree C.
Antibody is stable for 24 months. Non-hazardous. No MSDS required.
References
Gerdes J,et al.1984.J. Immunol.133:1710. | Schluter C,et al.1993J. Cell Biol.123:513.
NCBI and Uniprot Product Information
NCBI GI #
NCBI GeneID
NCBI Accession #
NCBI GenBank Nucleotide #
UniProt Accession #
Molecular Weight
345kDa; 395kDa
NCBI Official Full Name
proliferation marker protein Ki-67 isoform 2
NCBI Official Synonym Full Names
marker of proliferation Ki-67
NCBI Official Symbol
MKI67
NCBI Official Synonym Symbols
KIA; MIB-; MIB-1; PPP1R105
NCBI Protein Information
proliferation marker protein Ki-67
UniProt Protein Name
Antigen KI-67
UniProt Gene Name
MKI67
UniProt Entry Name
KI67_HUMAN
Customer Reviews
Loading reviews...
Share Your Experience
Similar Products
Product Notes
The MKI67 mki67 (Catalog #AAA215357) is an Antibody produced from Mouse and is intended for research purposes only. The product is available for immediate purchase. The Ki-67 (Proliferating Cell Marker) reacts with Human and may cross-react with other species as described in the data sheet. AAA Biotech's Ki-67 can be used in a range of immunoassay formats including, but not limited to, IHC (Immunohistochemistry), IF (Immunofluorescence), FCM/FACS (Flow Cytometry). Researchers should empirically determine the suitability of the MKI67 mki67 for an application not listed in the data sheet. Researchers commonly develop new applications and it is an integral, important part of the investigative research process. It is sometimes possible for the material contained within the vial of "Ki-67, Monoclonal Antibody" to become dispersed throughout the inside of the vial, particularly around the seal of said vial, during shipment and storage. We always suggest centrifuging these vials to consolidate all of the liquid away from the lid and to the bottom of the vial prior to opening. Please be advised that certain products may require dry ice for shipping and that, if this is the case, an additional dry ice fee may also be required.Precautions
All products in the AAA Biotech catalog are strictly for research-use only, and are absolutely not suitable for use in any sort of medical, therapeutic, prophylactic, in-vivo, or diagnostic capacity. By purchasing a product from AAA Biotech, you are explicitly certifying that said products will be properly tested and used in line with industry standard. AAA Biotech and its authorized distribution partners reserve the right to refuse to fulfill any order if we have any indication that a purchaser may be intending to use a product outside of our accepted criteria.Disclaimer
Though we do strive to guarantee the information represented in this datasheet, AAA Biotech cannot be held responsible for any oversights or imprecisions. AAA Biotech reserves the right to adjust any aspect of this datasheet at any time and without notice. It is the responsibility of the customer to inform AAA Biotech of any product performance issues observed or experienced within 30 days of receipt of said product. To see additional details on this or any of our other policies, please see our Terms & Conditions page.Item has been added to Shopping Cart
If you are ready to order, navigate to Shopping Cart and get ready to checkout.
