Mouse Ksp-Cadherin (Kidney-Specific Cadherin)/CDH16 Monoclonal Antibody | anti-CDH16 antibody
Ksp-Cadherin (Kidney-Specific Cadherin)/CDH16
Reactivity
Human, Mouse, Rat, Rabbit, Dog. Others not known.
Applications
Immunohistochemistry, Immunofluorescence, Flow Cytometry, Functional Assay
Synonyms
Ksp-Cadherin (Kidney-Specific Cadherin)/CDH16, Antibody; Ksp-Cadherin (Kidney-Specific Cadherin)/CDH16; Cadherin-16 (CDH16); Kidney-specific cadherin; Ksp-cadherin antibody; anti-CDH16 antibody
Host
Mouse
Reactivity
Human, Mouse, Rat, Rabbit, Dog. Others not known.
Clonality
Monoclonal
Isotype
IgG1, kappa
Clone Number
rCDH16/1071
Specificity
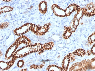
This MAb recognizes a protein of 130kDa, identified as Ksp-cadherin. Cadherins form a superfamily of related glycoproteins that mediate calcium-dependent cell adhesion and transmit signals from the extracellular matrix to the cytoplasm. Cadherins have been implicated in embryogenesis, tissue morphogenesis, tissue structure maintenance, cell polarization, neoplastic invasiveness and metastasis, and membrane transport. It is suggested that Ksp-cadherin is a marker for terminal differentiation of the basolateral membranes of renal tubular epithelial cells. Within the kidney, Ksp-Cadherin is found exclusively in the basolateral membrane of renal tubular epithelial cells and collecting duct cells, and not in glomeruli, renal interstitial cells, or blood vessels. Ksp-Cadherin has been suggested to distinguish Chromophobe Renal-Cell Carcinoma from Oncocytoma.
Form/Format
200ug/ml of recombinant MAb purified by Protein A/G. Prepared in 10mM PBS with 0.05% BSA & 0.05% azide. Also available WITHOUT BSA & azide at 1.0mg/ml.
Sequence Length
807
Applicable Applications for anti-CDH16 antibody
IHC (Immunohistochemistry), IF (Immunofluorescence), FCM/FACS (Flow Cytometry)
Immunogen
Recombinant full-length human CDH16 protein
Cellular Localization
Cell Surface with some Cytoplasmic
Hu-chromosome Location
16q22.1
Positive Control
Normal kidney or renal cell carcinoma.
Preparation and Storage
Antibody with azide - store at 2 to 8 degree C.
Antibody without azide - store at -20 to -80 degree C.
Antibody is stable for 24 months. Non-hazardous. No MSDS required.
Antibody without azide - store at -20 to -80 degree C.
Antibody is stable for 24 months. Non-hazardous. No MSDS required.
References
Mazal, P.R., et al. 2005. Expression of kidney-specific cadherin distinguishes chromophobe renal cell carcinoma from renal oncocytoma. Hum Pathol. 36: 22-28. Shen, S.S., et al. 2005. Kidney-specific cadherin, a specific marker for the distal portion of the nephron and related renal neoplasms. Mod Pathol. 18: 933-40.
NCBI and Uniprot Product Information
NCBI GI #
NCBI GeneID
NCBI Accession #
NCBI GenBank Nucleotide #
Molecular Weight
130kDa
NCBI Official Full Name
cadherin-16 isoform 2
NCBI Official Synonym Full Names
cadherin 16
NCBI Official Symbol
CDH16
NCBI Protein Information
cadherin-16
UniProt Protein Name
Cadherin-16
UniProt Gene Name
CDH16
UniProt Synonym Gene Names
Ksp-cadherin
Customer Reviews
Loading reviews...
Share Your Experience
Similar Products
Product Notes
The CDH16 cdh16 (Catalog #AAA62791) is an Antibody produced from Mouse and is intended for research purposes only. The product is available for immediate purchase. The Ksp-Cadherin (Kidney-Specific Cadherin)/CDH16 reacts with Human, Mouse, Rat, Rabbit, Dog. Others not known. and may cross-react with other species as described in the data sheet. AAA Biotech's Ksp-Cadherin (Kidney-Specific Cadherin)/CDH16 can be used in a range of immunoassay formats including, but not limited to, IHC (Immunohistochemistry), IF (Immunofluorescence), FCM/FACS (Flow Cytometry). Researchers should empirically determine the suitability of the CDH16 cdh16 for an application not listed in the data sheet. Researchers commonly develop new applications and it is an integral, important part of the investigative research process. It is sometimes possible for the material contained within the vial of "Ksp-Cadherin (Kidney-Specific Cadherin)/CDH16, Monoclonal Antibody" to become dispersed throughout the inside of the vial, particularly around the seal of said vial, during shipment and storage. We always suggest centrifuging these vials to consolidate all of the liquid away from the lid and to the bottom of the vial prior to opening. Please be advised that certain products may require dry ice for shipping and that, if this is the case, an additional dry ice fee may also be required.Precautions
All products in the AAA Biotech catalog are strictly for research-use only, and are absolutely not suitable for use in any sort of medical, therapeutic, prophylactic, in-vivo, or diagnostic capacity. By purchasing a product from AAA Biotech, you are explicitly certifying that said products will be properly tested and used in line with industry standard. AAA Biotech and its authorized distribution partners reserve the right to refuse to fulfill any order if we have any indication that a purchaser may be intending to use a product outside of our accepted criteria.Disclaimer
Though we do strive to guarantee the information represented in this datasheet, AAA Biotech cannot be held responsible for any oversights or imprecisions. AAA Biotech reserves the right to adjust any aspect of this datasheet at any time and without notice. It is the responsibility of the customer to inform AAA Biotech of any product performance issues observed or experienced within 30 days of receipt of said product. To see additional details on this or any of our other policies, please see our Terms & Conditions page.Item has been added to Shopping Cart
If you are ready to order, navigate to Shopping Cart and get ready to checkout.
