Host
Mouse
Reactivity
Human, Mouse, Rat
Clonality
Monoclonal
Isotype
IgG1
Clone Number
BSB-144
Form/Format
Paraffin, Frozen
Lamin-R is a mouse monoclonal antibody derived from cell culture supernatant that is concentrated, dialyzed, filter sterilized and diluted in buffer pH7.5, containing BSA and sodium azide as a preservative.
Lamin-R is a mouse monoclonal antibody derived from cell culture supernatant that is concentrated, dialyzed, filter sterilized and diluted in buffer pH7.5, containing BSA and sodium azide as a preservative.
Immunogen
Synthetic peptide corresponding to the internal region of the human Laminin-R protein.
Control
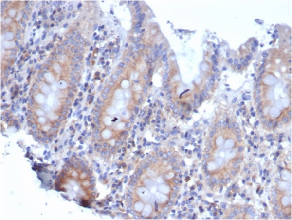
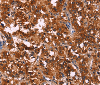
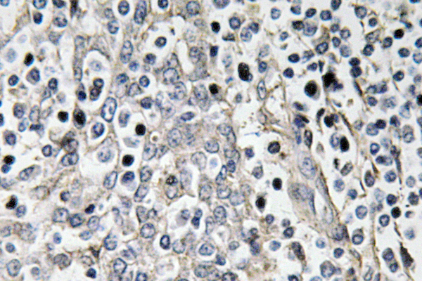
Placenta, Kidney, Prostate, Tonsil, Spleen, Transitional Cell Carcinoma, T Cell Lymphoblastic Lymphoma
Localization
Cytoplasmic, Membranous
Preparation and Storage
Store at 2-8 degree C (Control Slides: Store at 20-25 degree C)
Related Product Information for anti-R/RPSA antibody
Laminin receptor (Ribosomal Protein SA or 67LR) is a 67kDa protein in the extracellular matrix, coded by a 5,833 bp gene on Chromosome 3,containing seven exons and six introns. Laminin-R is involved in cellular adhesion to basement membranes and signal transduction pathways after binding the ligand Integrin-1. The receptor is also involved in pathways of cytoskeletal movement, chromatin structure, cellular migration, stress response, ribosomal function, translation, and rRNA processing. Laminin-R is also a receptor for green tea polyphenol and mediator in the Nitrous Oxide (eNOS) pathways used to force cancer cells into apoptosis. The 37kDa precursor protein, known also as p40, is a highly-conserved protein in the 40S ribosomal subunit.
Laminin-R antibody has been found to be overexpressed in Breast, Colorectal, Pancreatic, Prostate, and Cervical Cancer, and in Lymphomas. Laminin-R interacts with cyclin-dependent kinases and inhibitors to control G1/S, S/G2 and G2/M phase cell cycle arrest; down-regulation of the receptor is correlated with arrested cell growth and a reduction in the development of tumors. Laminin-R has also been found to be involved in regulation of Survivin expression, as well as cancer metastasis and drug resistance
Laminin-R antibody has been found to be overexpressed in Breast, Colorectal, Pancreatic, Prostate, and Cervical Cancer, and in Lymphomas. Laminin-R interacts with cyclin-dependent kinases and inhibitors to control G1/S, S/G2 and G2/M phase cell cycle arrest; down-regulation of the receptor is correlated with arrested cell growth and a reduction in the development of tumors. Laminin-R has also been found to be involved in regulation of Survivin expression, as well as cancer metastasis and drug resistance
Customer Reviews
Loading reviews...
Share Your Experience
Similar Products
Product Notes
The R/RPSA (Catalog #AAA59380) is an Antibody produced from Mouse and is intended for research purposes only. The product is available for immediate purchase. The Laminin-R/RPSA (BSB-144) reacts with Human, Mouse, Rat and may cross-react with other species as described in the data sheet. It is sometimes possible for the material contained within the vial of "Laminin-R/RPSA, Monoclonal Antibody" to become dispersed throughout the inside of the vial, particularly around the seal of said vial, during shipment and storage. We always suggest centrifuging these vials to consolidate all of the liquid away from the lid and to the bottom of the vial prior to opening. Please be advised that certain products may require dry ice for shipping and that, if this is the case, an additional dry ice fee may also be required.Precautions
All products in the AAA Biotech catalog are strictly for research-use only, and are absolutely not suitable for use in any sort of medical, therapeutic, prophylactic, in-vivo, or diagnostic capacity. By purchasing a product from AAA Biotech, you are explicitly certifying that said products will be properly tested and used in line with industry standard. AAA Biotech and its authorized distribution partners reserve the right to refuse to fulfill any order if we have any indication that a purchaser may be intending to use a product outside of our accepted criteria.Disclaimer
Though we do strive to guarantee the information represented in this datasheet, AAA Biotech cannot be held responsible for any oversights or imprecisions. AAA Biotech reserves the right to adjust any aspect of this datasheet at any time and without notice. It is the responsibility of the customer to inform AAA Biotech of any product performance issues observed or experienced within 30 days of receipt of said product. To see additional details on this or any of our other policies, please see our Terms & Conditions page.Item has been added to Shopping Cart
If you are ready to order, navigate to Shopping Cart and get ready to checkout.
