Rabbit MART-1/Melan-A/MLANA Monoclonal Antibody | anti-MLANA antibody
MART-1/Melan-A/MLANA (Melanoma Marker)
Gene Names
MLANA; MART1; MART-1
Reactivity
Human, Mouse, Rat, Dog. Others not tested.
Applications
Immunohistochemistry, Western Blot, Immunofluorescence, Flow Cytometry, Functional Assay
Synonyms
MART-1/Melan-A/MLANA, Antibody; MART-1/Melan-A/MLANA (Melanoma Marker); Antigen LB39-AA; Antigen SK29-AA; Melanoma antigen recognized by T-cells 1; MLAN-A; MLANA; anti-MLANA antibody
Host
Rabbit
Reactivity
Human, Mouse, Rat, Dog. Others not tested.
Clonality
Monoclonal
Isotype
IgG
Clone Number
MLANA/1409R
Specificity
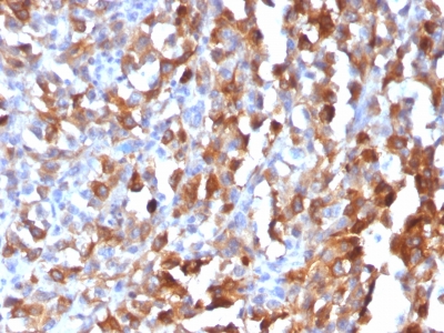
This antibody recognizes a protein doublet of 20-22kDa, identified as MART-1 (Melanoma Antigen Recognized by T cells 1) or Melan-A. MART-1 is a newly identified melanocyte differentiation antigen recognized by autologous cytotoxic T lymphocytes. Seven other melanoma associated antigens recognized by autologous cytotoxic T cells include MAGE-1, MAGE-3, tyrosinase, gp100, gp75, BAGE-1, and GAGE-1. Subcellular fractionation shows that MART-1 is present in melanosomes and endoplasmic reticulum. This MAb labels melanomas and other tumors showing melanocytic differentiation. It is also a useful positive-marker for angiomyolipomas. It does not stain tumor cells of epithelial, lymphoid, glial, or mesenchymal origin.
Form/Format
200ug/ml of Ab purified from Bioreactor Concentrate by Protein A/G. Prepared in 10mM PBS with 0.05% BSA & 0.05% azide. Also available WITHOUT BSA & azide at 1.0mg/ml.
Sequence Length
118
Applicable Applications for anti-MLANA antibody
IHC (Immunohistochemistry), WB (Western Blot), IF (Immunofluorescence), FCM/FACS (Flow Cytometry)
Immunogen
Recombinant full-length human MLANA protein
Cellular Localization
Cytoplasmic
Hu-chromosome Location
9p24.1
Positive Control
SK-MEL-13 and SK-MEL-19 Melanoma cell lines; Melanomas
Preparation and Storage
Antibody with azide - store at 2 to 8 degree C.
Antibody without azide - store at -20 to -80 degree C.
Antibody is stable for 24 months. Non-hazardous. No MSDS required.
Antibody without azide - store at -20 to -80 degree C.
Antibody is stable for 24 months. Non-hazardous. No MSDS required.
References
Chen Y-T, et. al. Proc Natl Acad Sci, USA, 1996, 93:5915-19.
NCBI and Uniprot Product Information
NCBI GI #
NCBI GeneID
NCBI Accession #
NCBI GenBank Nucleotide #
Molecular Weight
20-22kDa (doublet)
NCBI Official Full Name
melanoma antigen recognized by T-cells 1
NCBI Official Synonym Full Names
melan-A
NCBI Official Symbol
MLANA
NCBI Official Synonym Symbols
MART1; MART-1
NCBI Protein Information
melanoma antigen recognized by T-cells 1
UniProt Protein Name
Melanoma antigen recognized by T-cells 1
UniProt Gene Name
MLANA
UniProt Synonym Gene Names
MART1; MART-1
Customer Reviews
Loading reviews...
Share Your Experience
Similar Products
Product Notes
The MLANA mlana (Catalog #AAA62982) is an Antibody produced from Rabbit and is intended for research purposes only. The product is available for immediate purchase. The MART-1/Melan-A/MLANA (Melanoma Marker) reacts with Human, Mouse, Rat, Dog. Others not tested. and may cross-react with other species as described in the data sheet. AAA Biotech's MART-1/Melan-A/MLANA can be used in a range of immunoassay formats including, but not limited to, IHC (Immunohistochemistry), WB (Western Blot), IF (Immunofluorescence), FCM/FACS (Flow Cytometry). Researchers should empirically determine the suitability of the MLANA mlana for an application not listed in the data sheet. Researchers commonly develop new applications and it is an integral, important part of the investigative research process. It is sometimes possible for the material contained within the vial of "MART-1/Melan-A/MLANA, Monoclonal Antibody" to become dispersed throughout the inside of the vial, particularly around the seal of said vial, during shipment and storage. We always suggest centrifuging these vials to consolidate all of the liquid away from the lid and to the bottom of the vial prior to opening. Please be advised that certain products may require dry ice for shipping and that, if this is the case, an additional dry ice fee may also be required.Precautions
All products in the AAA Biotech catalog are strictly for research-use only, and are absolutely not suitable for use in any sort of medical, therapeutic, prophylactic, in-vivo, or diagnostic capacity. By purchasing a product from AAA Biotech, you are explicitly certifying that said products will be properly tested and used in line with industry standard. AAA Biotech and its authorized distribution partners reserve the right to refuse to fulfill any order if we have any indication that a purchaser may be intending to use a product outside of our accepted criteria.Disclaimer
Though we do strive to guarantee the information represented in this datasheet, AAA Biotech cannot be held responsible for any oversights or imprecisions. AAA Biotech reserves the right to adjust any aspect of this datasheet at any time and without notice. It is the responsibility of the customer to inform AAA Biotech of any product performance issues observed or experienced within 30 days of receipt of said product. To see additional details on this or any of our other policies, please see our Terms & Conditions page.Item has been added to Shopping Cart
If you are ready to order, navigate to Shopping Cart and get ready to checkout.
