Rat anti-Mouse MBL-A Monoclonal Antibody | anti-MBL-A antibody
MBL-A, Mouse, mAb 8G6
For unit size 0.5 mg or larger: PBS only (concentration< 0.5mg/ml)
IHC (Immunohistochemistry)
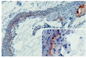
(MBL-A (8G6) deposition in developing murine atherosclerotic lesions. Staining of frozen tissue sections with antibody 8G6 (Cat. # AAA77763). Anti-mouse MBL-A at 2ug/ml (2h, RT). MBL-A was detected on the intima to media border as well as throughout the media (insert). Furthermore, extensive MBL-A deposition was seen at sites of necrosis (upper right corner).)
In human, MBL is encoded by a single gene, whereas in mice there are two homologous proteins, termed MBL-A and MBL-C. The MBL-A concentration in serum is about 6-fold lower compared to that of MBL-C... MBL-A, but not MBL-C, was found to be an acute phase protein in casein and LPS-injection models. Moreover, it has been shown that MBL-A deficient mice have aberrant antigen-specific IgM responses and- suffer from increased susceptibility to infection. Note that the monoclonal antibody 8G6 is a calcium-dependent antibody.
3. Held, K et al; Increased susceptibility of complement factor B/C2 double knockout mice and mannan-binding lectin knockout mice to systemic infection with- candida albicans. Mol Immunol 2008, 45: 3934
4. Petry, F et al. Binding and activation of human and mouse complement by Cryptospridium parvum (Apicomplexa) and susceptibility of C1q- and MBL-deficient mice to infection. Mol Immunol 2008, 45:3392
5. Abe, Y et al. Contribution of complement component C3 and complement receptor type 3 to carbohydrate-dependent uptake of oligomannose-coated liposomes by peritoneal macrophages. J. Bioch 2008, 144:563
6. Matthijsen, R et al; Macrophage-Specific Expression of Mannose-Binding Lectin Controls Atherosclerosis in Low-Density Lipoprotein Receptor Deficient Mice. Circulation 2009, 119:2188
NCBI and Uniprot Product Information
Customer Reviews
Loading reviews...
Share Your Experience
Similar Products
Product Notes
The MBL-A mbl1 (Catalog #AAA77763) is an Antibody produced from Rat and is intended for research purposes only. The product is available for immediate purchase. The MBL-A, Mouse, mAb 8G6 reacts with Mouse and may cross-react with other species as described in the data sheet. AAA Biotech's MBL-A can be used in a range of immunoassay formats including, but not limited to, WB (Western Blot), IF (Immunofluorescence), IA (Immunoassay), IHC (Immunohistochemistry). Researchers should empirically determine the suitability of the MBL-A mbl1 for an application not listed in the data sheet. Researchers commonly develop new applications and it is an integral, important part of the investigative research process. It is sometimes possible for the material contained within the vial of "MBL-A, Monoclonal Antibody" to become dispersed throughout the inside of the vial, particularly around the seal of said vial, during shipment and storage. We always suggest centrifuging these vials to consolidate all of the liquid away from the lid and to the bottom of the vial prior to opening. Please be advised that certain products may require dry ice for shipping and that, if this is the case, an additional dry ice fee may also be required.Precautions
All products in the AAA Biotech catalog are strictly for research-use only, and are absolutely not suitable for use in any sort of medical, therapeutic, prophylactic, in-vivo, or diagnostic capacity. By purchasing a product from AAA Biotech, you are explicitly certifying that said products will be properly tested and used in line with industry standard. AAA Biotech and its authorized distribution partners reserve the right to refuse to fulfill any order if we have any indication that a purchaser may be intending to use a product outside of our accepted criteria.Disclaimer
Though we do strive to guarantee the information represented in this datasheet, AAA Biotech cannot be held responsible for any oversights or imprecisions. AAA Biotech reserves the right to adjust any aspect of this datasheet at any time and without notice. It is the responsibility of the customer to inform AAA Biotech of any product performance issues observed or experienced within 30 days of receipt of said product. To see additional details on this or any of our other policies, please see our Terms & Conditions page.Item has been added to Shopping Cart
If you are ready to order, navigate to Shopping Cart and get ready to checkout.
