Mouse MCM7 Monoclonal Antibody | anti-MCM7 antibody
MCM7 (Proliferation Marker)
Gene Names
MCM7; MCM2; CDC47; P85MCM; P1CDC47; PNAS146; PPP1R104; P1.1-MCM3
Reactivity
Human. Others not known.
Applications
Immunohistochemistry, Western Blot, Immunofluorescence, Flow Cytometry, Functional Assay
Synonyms
MCM7, Antibody; MCM7 (Proliferation Marker); CDC47; DNA replication licensing factor MCM7; MCM7 mini chromosome maintenance deficient 7; Mini chromosome Maintenance 7; Mini chromosome maintenance protein 7; P1.1-MCM3; P1CDC47; P85MCM; PNAS146; anti-MCM7 antibody
Host
Mouse
Reactivity
Human. Others not known.
Clonality
Monoclonal
Isotype
IgG2b
Clone Number
MCM7/1466
Specificity
MCM7 is one of the highly conserved mini-chromosome maintenance proteins (MCM) that is essential for the initiation of eukaryotic genome replication. The hexameric protein complex formed by the MCM proteins is a key component of the pre-replication complex and may be involved in the formation of replication forks and in the recruitment of other DNA replication related proteins. The MCM complex consisting of this protein and MCM2, 4 and 6 proteins possesses DNA helicase activity, and may act as a DNA unwinding enzyme. Cyclin D1-dependent kinase, CDK4, is found to associate with this protein, and may regulate the binding of this protein with the tumor suppressor protein RB1/RB.
Form/Format
200ug/ml of Ab purified from Bioreactor Concentrate by Protein A/G. Prepared in 10mM PBS with 0.05% BSA & 0.05% azide. Also available WITHOUT BSA & azide at 1.0mg/ml.
Sequence Length
543
Applicable Applications for anti-MCM7 antibody
IHC (Immunohistochemistry), WB (Western Blot), IF (Immunofluorescence), FCM/FACS (Flow Cytometry)
Immunogen
Recombinant human MCM7 protein fragment (aa195-319)
Cellular Localization
Nuclear
Hu-chromosome Location
7q21.3-q22.1
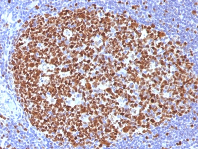
Positive Control
Raji or Ramos cells. Tonsil
Preparation and Storage
Antibody with azide - store at 2 to 8 degree C.
Antibody without azide - store at -20 to -80 degree C.
Antibody is stable for 24 months. Non-hazardous. No MSDS required.
Antibody without azide - store at -20 to -80 degree C.
Antibody is stable for 24 months. Non-hazardous. No MSDS required.
References
Koonin, E.V. 1993. A common set of conserved motifs in a vast variety of putative nucleic acid-dependent ATPases including MCM proteins involved in the initiation of eukaryotic DNA replication. Nucleic Acids Res. 21: 2541-2547.
NCBI and Uniprot Product Information
NCBI GI #
NCBI GeneID
NCBI Accession #
NCBI GenBank Nucleotide #
Molecular Weight
88kDa
NCBI Official Full Name
DNA replication licensing factor MCM7 isoform 2
NCBI Official Synonym Full Names
minichromosome maintenance complex component 7
NCBI Official Symbol
MCM7
NCBI Official Synonym Symbols
MCM2; CDC47; P85MCM; P1CDC47; PNAS146; PPP1R104; P1.1-MCM3
NCBI Protein Information
DNA replication licensing factor MCM7
UniProt Protein Name
DNA replication licensing factor MCM7
UniProt Gene Name
MCM7
UniProt Synonym Gene Names
CDC47; MCM2
Customer Reviews
Loading reviews...
Share Your Experience
Similar Products
Product Notes
The MCM7 mcm7 (Catalog #AAA214443) is an Antibody produced from Mouse and is intended for research purposes only. The product is available for immediate purchase. The MCM7 (Proliferation Marker) reacts with Human. Others not known. and may cross-react with other species as described in the data sheet. AAA Biotech's MCM7 can be used in a range of immunoassay formats including, but not limited to, IHC (Immunohistochemistry), WB (Western Blot), IF (Immunofluorescence), FCM/FACS (Flow Cytometry). Researchers should empirically determine the suitability of the MCM7 mcm7 for an application not listed in the data sheet. Researchers commonly develop new applications and it is an integral, important part of the investigative research process. It is sometimes possible for the material contained within the vial of "MCM7, Monoclonal Antibody" to become dispersed throughout the inside of the vial, particularly around the seal of said vial, during shipment and storage. We always suggest centrifuging these vials to consolidate all of the liquid away from the lid and to the bottom of the vial prior to opening. Please be advised that certain products may require dry ice for shipping and that, if this is the case, an additional dry ice fee may also be required.Precautions
All products in the AAA Biotech catalog are strictly for research-use only, and are absolutely not suitable for use in any sort of medical, therapeutic, prophylactic, in-vivo, or diagnostic capacity. By purchasing a product from AAA Biotech, you are explicitly certifying that said products will be properly tested and used in line with industry standard. AAA Biotech and its authorized distribution partners reserve the right to refuse to fulfill any order if we have any indication that a purchaser may be intending to use a product outside of our accepted criteria.Disclaimer
Though we do strive to guarantee the information represented in this datasheet, AAA Biotech cannot be held responsible for any oversights or imprecisions. AAA Biotech reserves the right to adjust any aspect of this datasheet at any time and without notice. It is the responsibility of the customer to inform AAA Biotech of any product performance issues observed or experienced within 30 days of receipt of said product. To see additional details on this or any of our other policies, please see our Terms & Conditions page.Item has been added to Shopping Cart
If you are ready to order, navigate to Shopping Cart and get ready to checkout.
