Host
Mouse
Clonality
Monoclonal
Isotype
IgG1
Clone Number
SMP14
Form/Format
Purified
Purified IgG - liquid
Purified IgG - liquid
Concentration
IgG concentration 1.0 mg/ml (varies by lot)
Sequence Length
442
Applicable Applications for anti-MDM2 antibody
IHC (Immunohistochemistry), IHC (Immunohistochemistry), IHC (Immunohistochemistry)
Perservative Stabilisers
0.09% Sodium Azide
Preparation
Preparation
Immunogen
Synthetic peptide, CSRPSTSSRRRAISE, corresponding to amino acids 154-167 of human MDM2
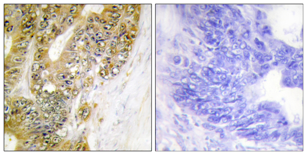
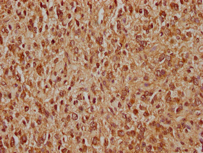
Histology Positive Control Tissue
Histology Positive Control Tissue
Target Species
Human
Preparation and Storage
Store at 4 degree C or at -20 degree C if preferred. This product should be stored undiluted. Storage in frost free freezers is not recommended. Avoid repeated freezing and thawing as this may denature the antibody. Should this product contain a precipitate we recommend microcentrifugation before use.
Shelf Life: 18 months from date of despatch.
Shelf Life: 18 months from date of despatch.
Related Product Information for anti-MDM2 antibody
Mouse anti MDM2 antibody, clone SMP14 recognizes the 90kDa MDM2 protein, which forms a complex with p53 leading to p53 inhibition. MDM2 also acts to stimulate cell proliferation via its induction of transcription factors such as E2F1 and DPI. MDM2 is over expressed in a range of human malignancies, including soft tissue sarcomas, breast cancer and bladder cancer.
NCBI and Uniprot Product Information
NCBI GI #
NCBI GeneID
NCBI Accession #
NCBI GenBank Nucleotide #
UniProt Accession #
Molecular Weight
55,991 Da
NCBI Official Full Name
E3 ubiquitin-protein ligase Mdm2 isoform h
NCBI Official Synonym Full Names
MDM2 proto-oncogene, E3 ubiquitin protein ligase
NCBI Official Symbol
MDM2
NCBI Official Synonym Symbols
HDMX; hdm2; ACTFS
NCBI Protein Information
E3 ubiquitin-protein ligase Mdm2; MDM2 oncogene, E3 ubiquitin protein ligase; Mdm2, p53 E3 ubiquitin protein ligase homolog; Mdm2, transformed 3T3 cell double minute 2, p53 binding protein; double minute 2, human homolog of; p53-binding protein; oncoprotein Mdm2
UniProt Protein Name
E3 ubiquitin-protein ligase Mdm2
UniProt Gene Name
MDM2
UniProt Synonym Gene Names
Hdm2
UniProt Entry Name
MDM2_HUMAN
Customer Reviews
Loading reviews...
Share Your Experience
Similar Products
Product Notes
The MDM2 mdm2 (Catalog #AAA49598) is an Antibody produced from Mouse and is intended for research purposes only. The product is available for immediate purchase. AAA Biotech's MDM2 can be used in a range of immunoassay formats including, but not limited to, IHC (Immunohistochemistry), IHC (Immunohistochemistry), IHC (Immunohistochemistry). Researchers should empirically determine the suitability of the MDM2 mdm2 for an application not listed in the data sheet. Researchers commonly develop new applications and it is an integral, important part of the investigative research process. It is sometimes possible for the material contained within the vial of "MDM2, Monoclonal Antibody" to become dispersed throughout the inside of the vial, particularly around the seal of said vial, during shipment and storage. We always suggest centrifuging these vials to consolidate all of the liquid away from the lid and to the bottom of the vial prior to opening. Please be advised that certain products may require dry ice for shipping and that, if this is the case, an additional dry ice fee may also be required.Precautions
All products in the AAA Biotech catalog are strictly for research-use only, and are absolutely not suitable for use in any sort of medical, therapeutic, prophylactic, in-vivo, or diagnostic capacity. By purchasing a product from AAA Biotech, you are explicitly certifying that said products will be properly tested and used in line with industry standard. AAA Biotech and its authorized distribution partners reserve the right to refuse to fulfill any order if we have any indication that a purchaser may be intending to use a product outside of our accepted criteria.Disclaimer
Though we do strive to guarantee the information represented in this datasheet, AAA Biotech cannot be held responsible for any oversights or imprecisions. AAA Biotech reserves the right to adjust any aspect of this datasheet at any time and without notice. It is the responsibility of the customer to inform AAA Biotech of any product performance issues observed or experienced within 30 days of receipt of said product. To see additional details on this or any of our other policies, please see our Terms & Conditions page.Item has been added to Shopping Cart
If you are ready to order, navigate to Shopping Cart and get ready to checkout.
