Host
Mouse
Reactivity
Human, Rat, Mouse
Clonality
Monoclonal
Isotype
IgG1
Clone Number
44
Form/Format
MSH6 is a mouse monoclonal antibody derived from cell culture supernatant that is concentrated, dialyzed, filter sterilized and diluted in buffer pH 7.5, containing BSA and sodium azide as a preservative.
Immunogen
Synthetic peptide human MSH6.
Control
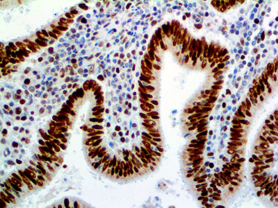
Colon Mucosa, Colon Carcinoma
Localization
Nuclear
Precautions
1. For professional users only. Results should be interpreted by a qualified medical professional.
2. This product contains <0.1% sodium azide (NaN?) as a preservative. Ensure proper handling procedures are used with this reagent.
3. Always wear personal protective equipment such as laboratory coat, goggles and gloves when handling reagents.
4. Dispose of unused solution with copious amount of water.
5. Do not ingest reagent. If reagent is ingested, seek medical advice immediately.
6. Avoid contact with eyes. If contact occurs, flush with large quantities of water.
7. Follow safety precautions of the heating device used for epitope retrieval (TintoRetriever Pressure Cooker or similar).
8. For additional safety information refer to Safety Data Sheet for this product.
9. For complete recommendations for handling biological specimens, please refer to the CDC document, “Guidelines for Safe Work Practices in Human and AMDL” (see References in this document).
2. This product contains <0.1% sodium azide (NaN?) as a preservative. Ensure proper handling procedures are used with this reagent.
3. Always wear personal protective equipment such as laboratory coat, goggles and gloves when handling reagents.
4. Dispose of unused solution with copious amount of water.
5. Do not ingest reagent. If reagent is ingested, seek medical advice immediately.
6. Avoid contact with eyes. If contact occurs, flush with large quantities of water.
7. Follow safety precautions of the heating device used for epitope retrieval (TintoRetriever Pressure Cooker or similar).
8. For additional safety information refer to Safety Data Sheet for this product.
9. For complete recommendations for handling biological specimens, please refer to the CDC document, “Guidelines for Safe Work Practices in Human and AMDL” (see References in this document).
Reactivity Note
Paraffin, Frozen
Stability
This product is stable up to the expiration date on the product label. Do not use after expiration date listed on package label. Temperature fluctuations should be avoided. Store appropriately when not in use, and avoid prolonged exposure to room temperature conditions.
Specimen Preparation
Paraffin sections: The antibody can be used on formalin-fixed paraffin-embedded (FFPE) tissue sections. Ensure tissue undergoes appropriate fixation for best results. Pre-treatment of tissues with heat-induced epitope retrieval (HIER) is recommended using Bio SB ImmunoDNA Retriever with Citrate, ImmunoDNA Retriever with EDTA or ImmunoDNA Digestor. See reverse side for complete protocol. Tissue should remain hydrated via use of Bio SB Immuno/DNA Washer solutions.
Frozen sections and cell preparations: The antibody can be used for labeling acetone-fixed frozen sections and acetone-fixed cell preparations.
Frozen sections and cell preparations: The antibody can be used for labeling acetone-fixed frozen sections and acetone-fixed cell preparations.
Staining Procedure
1. Cut and mount 3-5 micron formalin-fixed paraffin-embedded tissues on positively charged slides such as Bio SB Hydrophilic Plus Slides (BSB 7028).
2. Air dry for 2 hours at 58° C.
3. Deparaffinize, dehydrate and rehydrate tissues.
4. Subject tissues to heat induced epitope retrieval (HIER) using a suitable retrieval solution such as ImmunoDNA Retriever with Citrate (BSB 0020-BSB 0023) or EDTA (BSB 0030- BSB 0033).
5. Any of three heating methods may be used:
a. TintoRetriever Pressure Cooker or Equivalent
Place tissues/slides in a staining dish or coplin jar containing the ImmunoDNA Retriever with Citrate or EDTA, and place on trivet in the pressure cooker. Add 1-2 inches of distilled water to the pressure cooker and turn heat to high. Incubate for 15 minutes. Open and immediately transfer slides to room temperature.
b. TintoRetriever PT Module or Water Bath Method
Place tissues/slides in a pre-warmed staining dish or coplin jar containing the ImmunoDNA Retriever with Citrate or EDTA at 95°-99° C. Incubate for 30-60 minutes.
c. Conventional Steamer MethodPlace tissues/slides in a pre-warmed staining dish or coplin jar containing the ImmunoDNA Retriever with Citrate or EDTA in a steamer, cover and steam for 30-60 minutes.
6. After heat treatment, transfer slides in ImmunoDNA Retriever with Citrate or EDTA to room temperature and let stand for 15-20 minutes.
7. For manual staining, perform antibody incubation at ambient temperature. For automated staining methods, perform antibody incubation according to instrument manufacturer’s instructions.
8. Wash slides with ImmunoDNA washer or DI water.
9. Continue IHC staining protocol. Wash slides between each step with ImmunoDNA washer solution.
2. Air dry for 2 hours at 58° C.
3. Deparaffinize, dehydrate and rehydrate tissues.
4. Subject tissues to heat induced epitope retrieval (HIER) using a suitable retrieval solution such as ImmunoDNA Retriever with Citrate (BSB 0020-BSB 0023) or EDTA (BSB 0030- BSB 0033).
5. Any of three heating methods may be used:
a. TintoRetriever Pressure Cooker or Equivalent
Place tissues/slides in a staining dish or coplin jar containing the ImmunoDNA Retriever with Citrate or EDTA, and place on trivet in the pressure cooker. Add 1-2 inches of distilled water to the pressure cooker and turn heat to high. Incubate for 15 minutes. Open and immediately transfer slides to room temperature.
b. TintoRetriever PT Module or Water Bath Method
Place tissues/slides in a pre-warmed staining dish or coplin jar containing the ImmunoDNA Retriever with Citrate or EDTA at 95°-99° C. Incubate for 30-60 minutes.
c. Conventional Steamer MethodPlace tissues/slides in a pre-warmed staining dish or coplin jar containing the ImmunoDNA Retriever with Citrate or EDTA in a steamer, cover and steam for 30-60 minutes.
6. After heat treatment, transfer slides in ImmunoDNA Retriever with Citrate or EDTA to room temperature and let stand for 15-20 minutes.
7. For manual staining, perform antibody incubation at ambient temperature. For automated staining methods, perform antibody incubation according to instrument manufacturer’s instructions.
8. Wash slides with ImmunoDNA washer or DI water.
9. Continue IHC staining protocol. Wash slides between each step with ImmunoDNA washer solution.
Preparation and Storage
Store at 2-8°C (Control Slides: Store at 20-25°C)
Related Product Information for anti-MSH6 antibody
MSH6 is a gene commonly associated with Hereditary Non-Polyposis Colorectal Cancer (HNPCC). HNPCC is an autosomal, dominantly inherited disease associated with marked increase in cancer susceptibility. It is characterized by a familial predisposition to early onset Colorectal Carcinoma and extra-colonic cancers of the gastrointestinal, urological and female reproductive tracts. HNPCC is reported to be the most common form of inherited Colorectal Cancer in the western world. MSH6 is a mismatch repair gene which is deficient in a high proportion of patients with microsatellite instability (MSI-H). The anti-MSH6 antibody is useful in screening patients and families for HNPCC. Colon cancers that are microsatellite-unstable have a better prognosis than their microsatellite-stable counterparts.
NCBI and Uniprot Product Information
NCBI GI #
NCBI GeneID
NCBI Accession #
NCBI GenBank Nucleotide #
NCBI Official Full Name
Msh6
NCBI Official Symbol
Msh6
NCBI Official Synonym Symbols
CG7003; DmelCG7003
NCBI Protein Information
CG7003 gene product from transcript CG7003-RA; Msh6; CG7003-PA; Msh6-PA
Customer Reviews
Loading reviews...
Share Your Experience
Similar Products
Product Notes
The MSH6 (Catalog #AAA59261) is an Antibody produced from Mouse and is intended for research purposes only. The product is available for immediate purchase. The MSH6 reacts with Human, Rat, Mouse and may cross-react with other species as described in the data sheet. It is sometimes possible for the material contained within the vial of "MSH6, Monoclonal Antibody" to become dispersed throughout the inside of the vial, particularly around the seal of said vial, during shipment and storage. We always suggest centrifuging these vials to consolidate all of the liquid away from the lid and to the bottom of the vial prior to opening. Please be advised that certain products may require dry ice for shipping and that, if this is the case, an additional dry ice fee may also be required.Precautions
All products in the AAA Biotech catalog are strictly for research-use only, and are absolutely not suitable for use in any sort of medical, therapeutic, prophylactic, in-vivo, or diagnostic capacity. By purchasing a product from AAA Biotech, you are explicitly certifying that said products will be properly tested and used in line with industry standard. AAA Biotech and its authorized distribution partners reserve the right to refuse to fulfill any order if we have any indication that a purchaser may be intending to use a product outside of our accepted criteria.Disclaimer
Though we do strive to guarantee the information represented in this datasheet, AAA Biotech cannot be held responsible for any oversights or imprecisions. AAA Biotech reserves the right to adjust any aspect of this datasheet at any time and without notice. It is the responsibility of the customer to inform AAA Biotech of any product performance issues observed or experienced within 30 days of receipt of said product. To see additional details on this or any of our other policies, please see our Terms & Conditions page.Item has been added to Shopping Cart
If you are ready to order, navigate to Shopping Cart and get ready to checkout.
