Mouse anti-Human MUC16/CA125 Monoclonal Antibody | anti-CA125 antibody
MUC16/CA125 (Ovarian Carcinoma Marker)
Gene Names
MUC16; CA125
Reactivity
Human
Applications
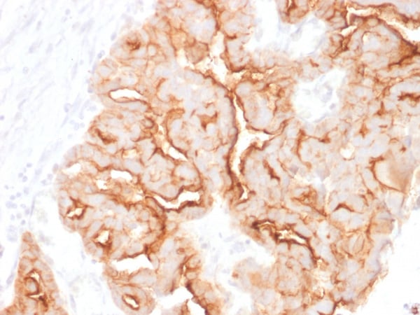
Immunohistochemistry
Purity
Purified Ab with BSA and Azide at 200ug/ml OR Purified Ab WITHOUT BSA and Azide at 1.0mg/ml
Synonyms
MUC16/CA125, Antibody; MUC16/CA125 (Ovarian Carcinoma Marker); CA125; Cancer antigen 125; MUC16; Mucin16; Ovarian cancer-related tumor marker CA125; Ovarian carcinoma antigen CA125; anti-CA125 antibody
Host
Mouse
Reactivity
Human
Clonality
Monoclonal
Isotype
IgG1, kappa
Clone Number
MUC16/1860
Specificity
The mucins are a family of highly glycosylated, secreted proteins with a basic structure consisting of a variable number of tandem repeats (VNTRs). Membrane-associated and secretory Mucins are high molecular weight glycoproteins of the glycocalyx (polysaccharide biofilm) that protects mucosal epithelium from particulate matter and microorganisms. Epithelial Mucins are large, secreted and cell surface glycoproteins crucial for adhesion modulation, signaling and epithelial cell protection. The number of repeats is highly polymorphic and varies among different alleles. The Mucin family consists of Mucins 1-4, Mucin 5 (AC and B), Mucins 6-8, Mucins 11-13 and Mucins 15-17. The Mucin 16 protein (also commonly referred to as CA125), encoded for by the gene MUC16, is a very high molecular weight tumor antigen consisting of three domains: a carboxy terminal domain, an extracellular domain and an amino terminal domain. Mucin 16, an ovarian cancer-associated antigen, is used as a marker to monitor the progress of epithelial ovarian cancer. It is a hydrophilic membrane-associated protein that may be involved in vitamin A functions.
Purity/Purification
Purified Ab with BSA and Azide at 200ug/ml OR Purified Ab WITHOUT BSA and Azide at 1.0mg/ml
Form/Format
200ug/ml of Ab Purified from Bioreactor Concentrate by Protein A/G. Prepared in 10mM PBS with 0.05% BSA & 0.05% azide. Also available WITHOUT BSA & azide at 1.0mg/ml.
Sequence Length
14507
Applicable Applications for anti-CA125 antibody
IHC (Immunohistochemistry)
Positive Control
MDA-MB-468 cells. Ovarian Cancer.
Immunogen
Full length native MUC16 protein Purified from human ovarian carcinoma
Cellular Localization
Cell Surface and Secreted
Hu-chromosome Location
19p13.2
Preparation and Storage
Antibody with azide: store at 2 to 8 degree C.
Antibody without azide: store at -20 to -80 degree C.
Antibody is stable for 24 months. Non-hazardous. No MSDS required.
Antibody without azide: store at -20 to -80 degree C.
Antibody is stable for 24 months. Non-hazardous. No MSDS required.
References
Yin, B.W., et al. 2001. Molecular cloning of the CA125 ovarian cancer antigen: identification as a new mucin, MUC16. J. Biol. Chem. 276:27371-27375.
NCBI and Uniprot Product Information
NCBI GI #
NCBI GeneID
NCBI Accession #
NCBI GenBank Nucleotide #
UniProt Accession #
Molecular Weight
>2,000kDa
NCBI Official Full Name
mucin-16
NCBI Official Synonym Full Names
mucin 16, cell surface associated
NCBI Official Symbol
MUC16
NCBI Official Synonym Symbols
CA125
NCBI Protein Information
mucin-16
UniProt Protein Name
Mucin-16
UniProt Gene Name
MUC16
UniProt Synonym Gene Names
CA125; MUC-16; CA-125
UniProt Entry Name
MUC16_HUMAN
Customer Reviews
Loading reviews...
Share Your Experience
Similar Products
Product Notes
The CA125 muc16 (Catalog #AAA215298) is an Antibody produced from Mouse and is intended for research purposes only. The product is available for immediate purchase. The MUC16/CA125 (Ovarian Carcinoma Marker) reacts with Human and may cross-react with other species as described in the data sheet. AAA Biotech's MUC16/CA125 can be used in a range of immunoassay formats including, but not limited to, IHC (Immunohistochemistry). Researchers should empirically determine the suitability of the CA125 muc16 for an application not listed in the data sheet. Researchers commonly develop new applications and it is an integral, important part of the investigative research process. It is sometimes possible for the material contained within the vial of "MUC16/CA125, Monoclonal Antibody" to become dispersed throughout the inside of the vial, particularly around the seal of said vial, during shipment and storage. We always suggest centrifuging these vials to consolidate all of the liquid away from the lid and to the bottom of the vial prior to opening. Please be advised that certain products may require dry ice for shipping and that, if this is the case, an additional dry ice fee may also be required.Precautions
All products in the AAA Biotech catalog are strictly for research-use only, and are absolutely not suitable for use in any sort of medical, therapeutic, prophylactic, in-vivo, or diagnostic capacity. By purchasing a product from AAA Biotech, you are explicitly certifying that said products will be properly tested and used in line with industry standard. AAA Biotech and its authorized distribution partners reserve the right to refuse to fulfill any order if we have any indication that a purchaser may be intending to use a product outside of our accepted criteria.Disclaimer
Though we do strive to guarantee the information represented in this datasheet, AAA Biotech cannot be held responsible for any oversights or imprecisions. AAA Biotech reserves the right to adjust any aspect of this datasheet at any time and without notice. It is the responsibility of the customer to inform AAA Biotech of any product performance issues observed or experienced within 30 days of receipt of said product. To see additional details on this or any of our other policies, please see our Terms & Conditions page.Item has been added to Shopping Cart
If you are ready to order, navigate to Shopping Cart and get ready to checkout.
