Mouse anti-Human MYO18B Monoclonal Antibody | anti-MYO18B antibody
MYO18B Antibody
Application Data
(Anti-MYO18B Antibody at 1:16000 dilution +Recombinant protein Lysates/proteins at 20 ?gper lane. Secondary Goat Anti-Mouse IgG,(H+L), Peroxidase conjugated at 1/10000 dilution. Predicted band size : 285kDa Blocking/Dilution buffer: 5% NFDM/TBST)
Application Data
(Overlay histogram showing A431 cells stainedwith AAA290652(green line). The cells were fixedwith 2% paraformaldehyde (10 min) and then permeabilized with 90% methanol for 10 min.The cells were then icubated in 2% bovine serum albumin to block non-specific protein-protein interactions followed by theantibody (AM8558b, 1:25 dilution) for 60 min at37ºC. The secondary antibody used wasGoat-Anti-Mouse IgG, DyLight® 488Conjugated Highly Cross-Adsorbed(OJ192088)at 1/200 dilution for 40 min at 37ºC. Isotype control antibody (blue line) was mouse IgG2b(1?g/1x10^6 cells) used under the same conditions. Acquisition of >10, 000 events was performed)
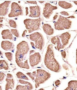
IHC (Immunohiostchemistry)
(AAA290652 staining MYO18B in human heart tissue sections by Immunohistochemistry(IHC-P - paraformaldehyde-fixed paraffin-embedded sections). Tissue was fixedwith formaldehyde and blocked with 3% BSA for 0. 5 hour at room temperature; antigen retrieval was by heat mediation with a citratebuffer (pH6). Samples were incubated with primary antibody (1/25) for 1 hours at 37°C. Aundiluted biotinylated goat polyvalent antibodywas used as the secondary antibody)
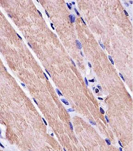
IHC (Immunohistochemistry)
(AAA290652 staining MYO18B in human skeletal muscle tissue sections by Immunohistochemistry (IHC-P -paraformaldehyde-fixed, paraffin-embeddedsections). Tissue was fixed with formaldehyde and blocked with 3% BSA for 0. 5 hour at roomtemperature; antigen retrieval was by heat mediation with a citrate buffer (pH6). Sampleswere incubated with primary antibody (1/25)for 1 hours at 37°C. A undiluted biotinylated goat polyvalent antibody was used as the secondary antibody.)
NCBI and Uniprot Product Information
Customer Reviews
Loading reviews...
Share Your Experience
Similar Products
Product Notes
The MYO18B myo18b (Catalog #AAA290652) is an Antibody produced from Mouse and is intended for research purposes only. The product is available for immediate purchase. The MYO18B Antibody reacts with Human and may cross-react with other species as described in the data sheet. AAA Biotech's MYO18B can be used in a range of immunoassay formats including, but not limited to, ELISA, WB (Western Blot), FCM/FACS (Flow Cytometry), IHC (Immunohistochemistry). Researchers should empirically determine the suitability of the MYO18B myo18b for an application not listed in the data sheet. Researchers commonly develop new applications and it is an integral, important part of the investigative research process. It is sometimes possible for the material contained within the vial of "MYO18B, Monoclonal Antibody" to become dispersed throughout the inside of the vial, particularly around the seal of said vial, during shipment and storage. We always suggest centrifuging these vials to consolidate all of the liquid away from the lid and to the bottom of the vial prior to opening. Please be advised that certain products may require dry ice for shipping and that, if this is the case, an additional dry ice fee may also be required.Precautions
All products in the AAA Biotech catalog are strictly for research-use only, and are absolutely not suitable for use in any sort of medical, therapeutic, prophylactic, in-vivo, or diagnostic capacity. By purchasing a product from AAA Biotech, you are explicitly certifying that said products will be properly tested and used in line with industry standard. AAA Biotech and its authorized distribution partners reserve the right to refuse to fulfill any order if we have any indication that a purchaser may be intending to use a product outside of our accepted criteria.Disclaimer
Though we do strive to guarantee the information represented in this datasheet, AAA Biotech cannot be held responsible for any oversights or imprecisions. AAA Biotech reserves the right to adjust any aspect of this datasheet at any time and without notice. It is the responsibility of the customer to inform AAA Biotech of any product performance issues observed or experienced within 30 days of receipt of said product. To see additional details on this or any of our other policies, please see our Terms & Conditions page.Item has been added to Shopping Cart
If you are ready to order, navigate to Shopping Cart and get ready to checkout.
