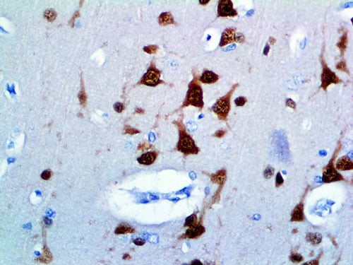
NeuN is widely used to label neurons since the vast majority of neurons are strongly positive. NeuN immunoreactivity becomes obvious as neurons mature, typically after they have downregulated expression of Doublecortin, a marker seen in the earliest stages of neuronal development.
2. This product contains <0.1% sodium azide (NaN?) as a preservative. Ensure proper handling procedures are used with this reagent.
3. Always wear personal protective equipment such as laboratory coat, goggles and gloves when handling reagents.
4. Dispose of unused solution with copious amount of water.
5. Do not ingest reagent. If reagent is ingested, seek medical advice immediately.
6. Avoid contact with eyes. If contact occurs, flush with large quantities of water.
7. Follow safety precautions of the heating device used for epitope retrieval (TintoRetriever Pressure Cooker or similar).
8. For complete recommendations for handling biological specimens, please refer to the CDC document, “Guidelines for Safe Work Practices in Human and AMDL”
Staining Procedure
(1. Cut and mount 3-5 micron formalin-fixed paraffin-embedded tissues on positive charged slides such as Hydrophilic Plus Slides.2. Air dry for 2 hours at 58° C.3. Deparaffinize, dehydrate and rehydrate tissues.4. Subject tissues to heat epitope retrieval using a suitable retrieval solution such as ImmunoDNA Retriever with Citrate or EDTA.5. Any of three heating methods may be used:a. TintoRetriever Pressure Cooker or EquivalentPlace tissues/slides in a staining dish or coplin jar containing the ImmunoDNA Retriever with Citrate or EDTA, and place in the pressure cooker. Add 1-2 inches of distilled water to the pressure cooker and turn heat to high. Incubate for 15 minutes. Open and immediately transfer slides to room temperature.b. TintoRetriever PT Module or Water Bath MethodPlace tissues/slides in a pre-warmed staining dish or coplin jar containing the ImmunoDNA Retriever with Citrate or EDTA at 95°-99° C. Incubate for 30-60 minutes.c. Conventional Steamer MethodPlace tissues/slides in a pre-warmed staining dish or coplin jar containing the ImmunoDNA Retriever with Citrate or EDTA in a Steamer, cover and steam for 30-60 minutes.6. After heat treatment, transfer slides in ImmunoDNA Retriever with Citrate or EDTA to room temperature and let stand for 15-20 minutes.7. For manual staining, perform antibody incubation at ambient temperature. For automated staining methods, perform antibody incubation according to instrument manufacturer’s instructions.8. Wash slides with IHC wash buffer or DI water.9. Continue IHC staining protocol.)
Customer Reviews
Loading reviews...
Share Your Experience
Similar Products
Product Notes
The NeuN (Catalog #AAA59279) is an Antibody produced from Mouse and is intended for research purposes only. The product is available for immediate purchase. The NeuN reacts with Human, Mouse, Rat, Chicken, Ferret, Pig and may cross-react with other species as described in the data sheet. It is sometimes possible for the material contained within the vial of "NeuN, Monoclonal Antibody" to become dispersed throughout the inside of the vial, particularly around the seal of said vial, during shipment and storage. We always suggest centrifuging these vials to consolidate all of the liquid away from the lid and to the bottom of the vial prior to opening. Please be advised that certain products may require dry ice for shipping and that, if this is the case, an additional dry ice fee may also be required.Precautions
All products in the AAA Biotech catalog are strictly for research-use only, and are absolutely not suitable for use in any sort of medical, therapeutic, prophylactic, in-vivo, or diagnostic capacity. By purchasing a product from AAA Biotech, you are explicitly certifying that said products will be properly tested and used in line with industry standard. AAA Biotech and its authorized distribution partners reserve the right to refuse to fulfill any order if we have any indication that a purchaser may be intending to use a product outside of our accepted criteria.Disclaimer
Though we do strive to guarantee the information represented in this datasheet, AAA Biotech cannot be held responsible for any oversights or imprecisions. AAA Biotech reserves the right to adjust any aspect of this datasheet at any time and without notice. It is the responsibility of the customer to inform AAA Biotech of any product performance issues observed or experienced within 30 days of receipt of said product. To see additional details on this or any of our other policies, please see our Terms & Conditions page.Item has been added to Shopping Cart
If you are ready to order, navigate to Shopping Cart and get ready to checkout.
