Rabbit NGF-Receptor (p75)/CD271 Monoclonal Antibody | anti-NGFR antibody
NGF-Receptor (p75)/CD271 (Soft Tissue Tumor Marker)
Gene Names
NGFR; CD271; p75NTR; TNFRSF16; p75(NTR); Gp80-LNGFR
Reactivity
Human, Non-human Primates.Does not react with Mouse, Rat. Others not known.
Applications
Immunohistochemistry, Immunofluorescence, Flow Cytometry, Functional Assay
Synonyms
NGF-Receptor (p75)/CD271, Antibody; NGF-Receptor (p75)/CD271 (Soft Tissue Tumor Marker); CD271; Gp80-LNGFR; Low affinity nerve growth factor receptor; Low affinity neurotrophin receptor p75NTR; Nerve growth factor receptor (NGFR); p75 ICD; p75 Neurotrophin receptor; Tumor necrosis factor receptor superfamily member 16 (TNFRSF16); anti-NGFR antibody
Host
Rabbit
Reactivity
Human, Non-human Primates.
Does not react with Mouse, Rat. Others not known.
Does not react with Mouse, Rat. Others not known.
Clonality
Monoclonal
Isotype
IgG
Clone Number
NGFR/1997R
Specificity
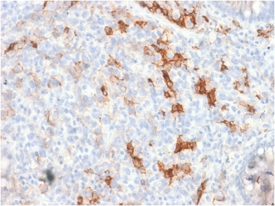
It recognizes a glycoprotein of 75kDa, identified as low affinity Nerve Growth Factor (NGF) Receptor (p75NGFR) or Neurotrophin Receptor (p75NTR). NGFR is expressed in various neural crest cells and their tumors such as melanocytes, melanomas, neuroblastomas, pheochromocytomas and neurofibromas. Reportedly, anti-NGFR is a reliable marker for desmoplastic and neurotropic melanomas. NGFR is expressed in mature non-neural cells such as perivascular cells, dental pulp cells, lymphoidal follicular dendritic cells, basal epithelium of oral mucosa and hair follicles, prostate basal cells, and myoepithelial cells. Anti-NGFR stains the myoepithelial cells of breast ducts and intra-lobular fibroblasts of breast ducts.
Form/Format
200ug/ml of Ab purified from Bioreactor Concentrate by Protein A/G. Prepared in 10mM PBS with 0.05% BSA & 0.05% azide. Also available WITHOUT BSA & azide at 1.0mg/ml.
Sequence Length
427
Applicable Applications for anti-NGFR antibody
IHC (Immunohistochemistry), IF (Immunofluorescence), FCM/FACS (Flow Cytometry)
Immunogen
Recombinant full-length human p75 NGFR protein
Cellular Localization
Cell Surface and Cytoplasmic
Hu-chromosome Location
17q21-22
Positive Control
Neuronal axons, Schwann cells, and perineural cells of peripheral nerves, or tumors of nerve sheath differentiation e.g. Schwannoma, Neurofibroma. Soma and axons of sensory neurons, and ganglionic satellite cells. Melanomas.
Preparation and Storage
Antibody with azide - store at 2 to 8 degree C.
Antibody without azide - store at -20 to -80 degree C.
Antibody is stable for 24 months. Non-hazardous. No MSDS required.
Antibody without azide - store at -20 to -80 degree C.
Antibody is stable for 24 months. Non-hazardous. No MSDS required.
References
Wang, W., et al. 2009. Patterns of expression and function of the p75NGFR protein in pancreatic cancer cells and tumours. Eur. J. Surg. Oncol. 35: 826-832. Soland, T.M., et al. 2008. Nerve growth factor receptor (p75NTR) and pattern of invasion predict poor prognosis in oral squamous cell carcinoma. Histopathology 53: 62-72.
NCBI and Uniprot Product Information
NCBI GI #
NCBI GeneID
NCBI Accession #
NCBI GenBank Nucleotide #
Molecular Weight
75kDa
NCBI Official Full Name
tumor necrosis factor receptor superfamily member 16
NCBI Official Synonym Full Names
nerve growth factor receptor
NCBI Official Symbol
NGFR
NCBI Official Synonym Symbols
CD271; p75NTR; TNFRSF16; p75(NTR); Gp80-LNGFR
NCBI Protein Information
tumor necrosis factor receptor superfamily member 16
UniProt Protein Name
Tumor necrosis factor receptor superfamily member 16
UniProt Gene Name
NGFR
UniProt Synonym Gene Names
TNFRSF16; NGF receptor
Customer Reviews
Loading reviews...
Share Your Experience
Similar Products
Product Notes
The NGFR ngfr (Catalog #AAA214465) is an Antibody produced from Rabbit and is intended for research purposes only. The product is available for immediate purchase. The NGF-Receptor (p75)/CD271 (Soft Tissue Tumor Marker) reacts with Human, Non-human Primates. Does not react with Mouse, Rat. Others not known. and may cross-react with other species as described in the data sheet. AAA Biotech's NGF-Receptor (p75)/CD271 can be used in a range of immunoassay formats including, but not limited to, IHC (Immunohistochemistry), IF (Immunofluorescence), FCM/FACS (Flow Cytometry). Researchers should empirically determine the suitability of the NGFR ngfr for an application not listed in the data sheet. Researchers commonly develop new applications and it is an integral, important part of the investigative research process. It is sometimes possible for the material contained within the vial of "NGF-Receptor (p75)/CD271, Monoclonal Antibody" to become dispersed throughout the inside of the vial, particularly around the seal of said vial, during shipment and storage. We always suggest centrifuging these vials to consolidate all of the liquid away from the lid and to the bottom of the vial prior to opening. Please be advised that certain products may require dry ice for shipping and that, if this is the case, an additional dry ice fee may also be required.Precautions
All products in the AAA Biotech catalog are strictly for research-use only, and are absolutely not suitable for use in any sort of medical, therapeutic, prophylactic, in-vivo, or diagnostic capacity. By purchasing a product from AAA Biotech, you are explicitly certifying that said products will be properly tested and used in line with industry standard. AAA Biotech and its authorized distribution partners reserve the right to refuse to fulfill any order if we have any indication that a purchaser may be intending to use a product outside of our accepted criteria.Disclaimer
Though we do strive to guarantee the information represented in this datasheet, AAA Biotech cannot be held responsible for any oversights or imprecisions. AAA Biotech reserves the right to adjust any aspect of this datasheet at any time and without notice. It is the responsibility of the customer to inform AAA Biotech of any product performance issues observed or experienced within 30 days of receipt of said product. To see additional details on this or any of our other policies, please see our Terms & Conditions page.Item has been added to Shopping Cart
If you are ready to order, navigate to Shopping Cart and get ready to checkout.
