Rabbit anti-Human NRF1 Monoclonal Antibody | anti-NRF1 antibody
NRF1 Rabbit mAb
ChIP (Chromatin immunoprecipitation)
(Chromatin immunoprecipitation analysis of extracts of HepG2 cells, using NRF1 antibody (AAA283091) and rabbit IgG.The amount of immunoprecipitated DNA was checked by quantitative PCR. Histogram was constructed by the ratios of the immunoprecipitated DNA to the input.)
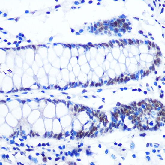
IHC (Immunohistochemistry)
(Immunohistochemistry analysis of paraffin-embedded Human colon using NRF1 Rabbit mAb (AAA283091) at dilution of 1:100 (40x lens). Microwave antigen retrieval performed with 0.01M PBS Buffer (pH 7.2) prior to IHC staining.)
WB (Western Blot)
(Western blot analysis of various lysates using NRF1 Rabbit mAb (AAA283091) at 1?1000 dilution.Secondary antibody: HRP-conjugated Goat anti-Rabbit IgG (H+L) (AS014) at 1:10000 dilution.Lysates/proteins: 25ug per lane.Blocking buffer: 3% nonfat dry milk in TBST.Detection: ECL Basic Kit (RM00020).Exposure time: 5s.)
WB (Western Blot)
(Western blot analysis of various lysates using NRF1 Rabbit mAb (AAA283091) at 1?1000 dilution.Secondary antibody: HRP-conjugated Goat anti-Rabbit IgG (H+L) (AS014) at 1:10000 dilution.Lysates/proteins: 25ug per lane.Blocking buffer: 3% nonfat dry milk in TBST.Detection: ECL Basic Kit (RM00020).Exposure time: 1s.)
Application Data
(CUT&Tag was performed using the CUT&Tag Assay Kit (pAG-Tn5) for Illumina(RK20265) from 10? HepG2 cells with 1 ug NRF1 Rabbit mAb (AAA283091), along with a Goat Anti-Rabbit IgG(H+L). The CUT&Tag results indicate the enrichment pattern of NRF1 in representative gene loci (LINS1), as shown in figure.)
NCBI and Uniprot Product Information
Observed MW: 68kDa
Customer Reviews
Loading reviews...
Share Your Experience
Similar Products
Product Notes
The NRF1 nrf1 (Catalog #AAA283091) is an Antibody produced from Rabbit and is intended for research purposes only. The product is available for immediate purchase. The NRF1 Rabbit mAb reacts with Human and may cross-react with other species as described in the data sheet. AAA Biotech's NRF1 can be used in a range of immunoassay formats including, but not limited to, ChIP (Chromatin immunoprecipitation), ELISA, IP (Immunoprecipitation), IHC (Immunohistochemistry), WB (Western Blot). Researchers should empirically determine the suitability of the NRF1 nrf1 for an application not listed in the data sheet. Researchers commonly develop new applications and it is an integral, important part of the investigative research process. The amino acid sequence is listed below: LVPSQTVVQT FSNPDGTVSL IQVGTGATVA TLADASELPT TVTVAQVNYS AVADGEVEQN WATLQGGEMT IQTTQASEAT QAVASLAEAA VAASQEMQQG A. It is sometimes possible for the material contained within the vial of "NRF1, Monoclonal Antibody" to become dispersed throughout the inside of the vial, particularly around the seal of said vial, during shipment and storage. We always suggest centrifuging these vials to consolidate all of the liquid away from the lid and to the bottom of the vial prior to opening. Please be advised that certain products may require dry ice for shipping and that, if this is the case, an additional dry ice fee may also be required.Precautions
All products in the AAA Biotech catalog are strictly for research-use only, and are absolutely not suitable for use in any sort of medical, therapeutic, prophylactic, in-vivo, or diagnostic capacity. By purchasing a product from AAA Biotech, you are explicitly certifying that said products will be properly tested and used in line with industry standard. AAA Biotech and its authorized distribution partners reserve the right to refuse to fulfill any order if we have any indication that a purchaser may be intending to use a product outside of our accepted criteria.Disclaimer
Though we do strive to guarantee the information represented in this datasheet, AAA Biotech cannot be held responsible for any oversights or imprecisions. AAA Biotech reserves the right to adjust any aspect of this datasheet at any time and without notice. It is the responsibility of the customer to inform AAA Biotech of any product performance issues observed or experienced within 30 days of receipt of said product. To see additional details on this or any of our other policies, please see our Terms & Conditions page.Item has been added to Shopping Cart
If you are ready to order, navigate to Shopping Cart and get ready to checkout.
