Rabbit NRF1 Polyclonal Antibody | anti-NRF1 antibody
Anti-NRF1 antibody
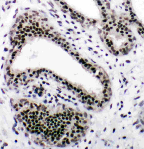
IHC (Immunohistochemistry)
(Anti-NRF1 antibody, AAA45410, IHC(P)IHC(P): Human Intestinal Cance Tissue)
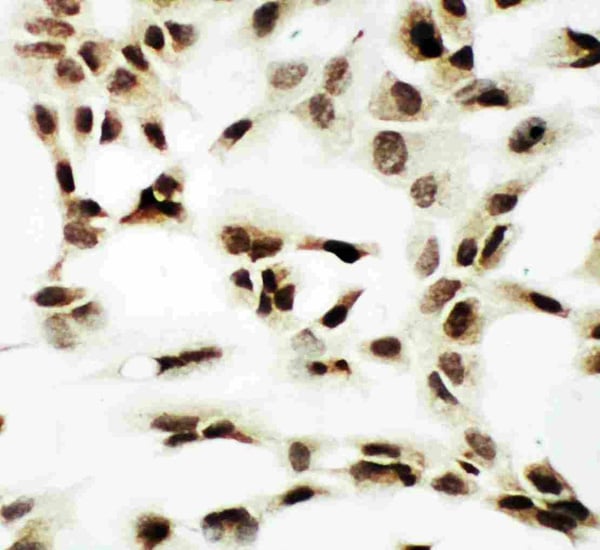
IHC (Immunohiostchemistry)
(Anti-NRF1 antibody, AAA45410, IHC(P)IHC(P): Human Mammary Cancer Tissue)
Application Data
(All lanes: Anti NRF1 (AAA45410) at 0.5ug/mlLane 1: U2OS Whole Cell Lysate at 40ugLane 2: HELA Whole Cell Lysate at 40ugPredicted bind size: 75KDObserved bind size: 75KD)
Background: NRF1(Nuclear Respiratory Factor 1), also known as Alpha-Pal. Gopalakrishnan and Scarpulla(1995) analyzed DNA from a panel of human/hamster cell hybrids using human-specific NRF1 PCR primers and localized the NRF1 gene to human chromosome 7. The assignment was further refined to 7q31 by cohybridization of NRF1- and chromosome 7-specific probes to human metaphase chromosomes. Efiok et al.(1994) identified genes containing alpha-Pal-binding sequences and found that these could be classified either as cellular proliferation genes, or as genes regulating the growth-responsive metabolic pathways of energy transduction, translation, and replication. Virbasius and Scarpulla(1994) noted that the nuclear-encoded mitochondrial transcription factor TFAM contains potential binding sites for NRF1, NRF2(GABPA) and SP1 within the promoter region. With use of binding and electrophoretic mobility shift assays, DNase footprinting, and mutation analysis of recombinant proteins, they demonstrated specific and functional binding of NRF1 and NRF2 to the TFAM promoter region.
NCBI and Uniprot Product Information
Customer Reviews
Loading reviews...
Share Your Experience
Similar Products
Product Notes
The NRF1 nrf1 (Catalog #AAA45410) is an Antibody produced from Rabbit and is intended for research purposes only. The product is available for immediate purchase. The Anti-NRF1 antibody reacts with Human, Mouse, Rat and may cross-react with other species as described in the data sheet. AAA Biotech's NRF1 can be used in a range of immunoassay formats including, but not limited to, ICC (Immunocytochemistry), IHC (Immunohistochemistry), WB (Western Blot). Researchers should empirically determine the suitability of the NRF1 nrf1 for an application not listed in the data sheet. Researchers commonly develop new applications and it is an integral, important part of the investigative research process. It is sometimes possible for the material contained within the vial of "NRF1, Polyclonal Antibody" to become dispersed throughout the inside of the vial, particularly around the seal of said vial, during shipment and storage. We always suggest centrifuging these vials to consolidate all of the liquid away from the lid and to the bottom of the vial prior to opening. Please be advised that certain products may require dry ice for shipping and that, if this is the case, an additional dry ice fee may also be required.Precautions
All products in the AAA Biotech catalog are strictly for research-use only, and are absolutely not suitable for use in any sort of medical, therapeutic, prophylactic, in-vivo, or diagnostic capacity. By purchasing a product from AAA Biotech, you are explicitly certifying that said products will be properly tested and used in line with industry standard. AAA Biotech and its authorized distribution partners reserve the right to refuse to fulfill any order if we have any indication that a purchaser may be intending to use a product outside of our accepted criteria.Disclaimer
Though we do strive to guarantee the information represented in this datasheet, AAA Biotech cannot be held responsible for any oversights or imprecisions. AAA Biotech reserves the right to adjust any aspect of this datasheet at any time and without notice. It is the responsibility of the customer to inform AAA Biotech of any product performance issues observed or experienced within 30 days of receipt of said product. To see additional details on this or any of our other policies, please see our Terms & Conditions page.Item has been added to Shopping Cart
If you are ready to order, navigate to Shopping Cart and get ready to checkout.
