Rabbit anti-Human p16 Monoclonal Antibody | anti-p16 antibody
p16 (RM267)
Reactivity
Human
Applications
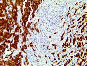
Immunohistochemistry
Synonyms
p16, Antibody; p16 (RM267); anti-p16; anti p16; anti-p16INK4a; p16INK4a; cdkn2a; p19 arf; p14 arf; p19arf; p14arf; anti CDKN2A; anti p16INK4a; anti-CDKN2A; anti-p16 antibody
Host
Rabbit
Reactivity
Human
Clonality
Monoclonal
Isotype
IgG
Clone Number
RM267
Form/Format
Paraffin, Frozen
Anti-p16 is a rabbit monoclonal antibody for immunohistochemistry derived from cell culture supernatant that is concentrated, dialyzed, filter sterilized and diluted in buffer pH7.5, containing BSA and sodium azide as a preservative.
Anti-p16 is a rabbit monoclonal antibody for immunohistochemistry derived from cell culture supernatant that is concentrated, dialyzed, filter sterilized and diluted in buffer pH7.5, containing BSA and sodium azide as a preservative.
Applicable Applications for anti-p16 antibody
IHC (Immunohistochemistry)
Immunogen
A peptide corresponding to the C-terminus of human p16INK4a (Cyclin-dependent kinase inhibitor 2A).
Control
Testis, NSCLC, TCC
Localization
Cytoplasmic, Nuclear
Precautions
1. This product contains <0.1% sodium azide (NaN3) as a preservative. Ensure proper handling procedures are used with this reagent.
2. Always wear personal protective equipment such as a laboratory coat, goggles, and gloves when handling reagents.
3. Dispose of unused solution with copious amounts of water.
4. Do not ingest reagent. If reagent is ingested, seek medical advice immediately.
5. Avoid contact with eyes. If contact occurs, flush with large quantities of water.
6. Follow safety precautions of the heating device used for epitope retrieval (TintoRetriever Pressure Cooker or similar).
7. For additional safety information refer to Safety Data Sheet for this product.
8. For complete recommendations for handling biological specimens, please refer to the CDC document, "Guidelines for Safe Work Practices in Human and AMDL".
2. Always wear personal protective equipment such as a laboratory coat, goggles, and gloves when handling reagents.
3. Dispose of unused solution with copious amounts of water.
4. Do not ingest reagent. If reagent is ingested, seek medical advice immediately.
5. Avoid contact with eyes. If contact occurs, flush with large quantities of water.
6. Follow safety precautions of the heating device used for epitope retrieval (TintoRetriever Pressure Cooker or similar).
7. For additional safety information refer to Safety Data Sheet for this product.
8. For complete recommendations for handling biological specimens, please refer to the CDC document, "Guidelines for Safe Work Practices in Human and AMDL".
Specimen Preparation
Paraffin sections: The antibody can be used on formalin-fixedparaffin-embedded (FFPE) tissue sections. Ensure tissue undergoes appropriate fixation for best results. Pre-treatment of tissues with heat-induced epitope retrieval (HIER) is recommended. Tissue should remain hydrated.
Frozen sections and cell preparations:The antibody can be used on acetone-fixed frozen sections and acetone-fixed cell preparations.
Frozen sections and cell preparations:The antibody can be used on acetone-fixed frozen sections and acetone-fixed cell preparations.
IHC Protocol
1. Cut and mount 3-5 micron formalin-fixed paraffin-embedded tissues on positively charged slides such as Hydrophilic Plus Slides.
2. Air dry for 2 hours at 58 degree C.
3. Deparaffinize, dehydrate and rehydrate tissues.
4. Subject tissues to heat induced epitope retrieval (HIER) using a suitable retrieval solution such as ImmunoDNA Retriever with Citrate.
5. Any of three heating methods may be used:
a. TintoRetriever Pressure Cooker or Equivalent
Place tissues/slides in a staining dish or coplin jar containing the ImmunoDNA Retriever with Citrate or EDTA and place on trivet in the pressure cooker. Add 1-2 inches of distilled water to the pressure cooker and turn heat to high. Incubate for 15 minutes. Open and immediately transfer slides to room temperature.
b. TintoRetriever PT Module or Water Bath Method
Place tissues/slides in a pre-warmed staining dish or coplin jar containing the ImmunoDNA Retriever with Citrate or EDTA at 95 degree C-99 degree C. Incubate for 30-60 minutes.
c. Conventional Steamer Method
Place tissues/slides in a pre-warmed staining dish or coplin jar containing the ImmunoDNA Retriever with Citrate or EDTA in a steamer, cover and steam for 30-60 minutes.
6. After heat treatment, transfer slides in ImmunoDNA Retriever with Citrate or EDTA to room temperature and let stand for 15-20 minutes.
7. For manual IHC, perform antibody incubation at ambient temperature. For automated IHC methods, perform antibody incubation according to instrument manufacturer’s instructions.
8. Wash slides with ImmunoDNA washer or DI water.
9. Continue IHC protocol. Wash slides between each step with ImmunoDNA washer solution.
2. Air dry for 2 hours at 58 degree C.
3. Deparaffinize, dehydrate and rehydrate tissues.
4. Subject tissues to heat induced epitope retrieval (HIER) using a suitable retrieval solution such as ImmunoDNA Retriever with Citrate.
5. Any of three heating methods may be used:
a. TintoRetriever Pressure Cooker or Equivalent
Place tissues/slides in a staining dish or coplin jar containing the ImmunoDNA Retriever with Citrate or EDTA and place on trivet in the pressure cooker. Add 1-2 inches of distilled water to the pressure cooker and turn heat to high. Incubate for 15 minutes. Open and immediately transfer slides to room temperature.
b. TintoRetriever PT Module or Water Bath Method
Place tissues/slides in a pre-warmed staining dish or coplin jar containing the ImmunoDNA Retriever with Citrate or EDTA at 95 degree C-99 degree C. Incubate for 30-60 minutes.
c. Conventional Steamer Method
Place tissues/slides in a pre-warmed staining dish or coplin jar containing the ImmunoDNA Retriever with Citrate or EDTA in a steamer, cover and steam for 30-60 minutes.
6. After heat treatment, transfer slides in ImmunoDNA Retriever with Citrate or EDTA to room temperature and let stand for 15-20 minutes.
7. For manual IHC, perform antibody incubation at ambient temperature. For automated IHC methods, perform antibody incubation according to instrument manufacturer’s instructions.
8. Wash slides with ImmunoDNA washer or DI water.
9. Continue IHC protocol. Wash slides between each step with ImmunoDNA washer solution.
Preparation and Storage
Store at 2-8 degree C (Control Slides: Store at 20-25 degree C)
Related Product Information for anti-p16 antibody
p16 is a tumor suppressor gene. p16 is an important gene in regulating the cell cycle. p16INK4a regulates the cell cycle by binding and deactivating various cyclin-CDK complexes. p16 is a G1/S-cell cycle regulator that is involved in the pathway that converges in the tumor suppressor protein Rb.
Customer Reviews
Loading reviews...
Share Your Experience
Similar Products
Product Notes
The p16 (Catalog #AAA59410) is an Antibody produced from Rabbit and is intended for research purposes only. The product is available for immediate purchase. The p16 (RM267) reacts with Human and may cross-react with other species as described in the data sheet. AAA Biotech's p16 can be used in a range of immunoassay formats including, but not limited to, IHC (Immunohistochemistry). Researchers should empirically determine the suitability of the p16 for an application not listed in the data sheet. Researchers commonly develop new applications and it is an integral, important part of the investigative research process. It is sometimes possible for the material contained within the vial of "p16, Monoclonal Antibody" to become dispersed throughout the inside of the vial, particularly around the seal of said vial, during shipment and storage. We always suggest centrifuging these vials to consolidate all of the liquid away from the lid and to the bottom of the vial prior to opening. Please be advised that certain products may require dry ice for shipping and that, if this is the case, an additional dry ice fee may also be required.Precautions
All products in the AAA Biotech catalog are strictly for research-use only, and are absolutely not suitable for use in any sort of medical, therapeutic, prophylactic, in-vivo, or diagnostic capacity. By purchasing a product from AAA Biotech, you are explicitly certifying that said products will be properly tested and used in line with industry standard. AAA Biotech and its authorized distribution partners reserve the right to refuse to fulfill any order if we have any indication that a purchaser may be intending to use a product outside of our accepted criteria.Disclaimer
Though we do strive to guarantee the information represented in this datasheet, AAA Biotech cannot be held responsible for any oversights or imprecisions. AAA Biotech reserves the right to adjust any aspect of this datasheet at any time and without notice. It is the responsibility of the customer to inform AAA Biotech of any product performance issues observed or experienced within 30 days of receipt of said product. To see additional details on this or any of our other policies, please see our Terms & Conditions page.Item has been added to Shopping Cart
If you are ready to order, navigate to Shopping Cart and get ready to checkout.
