Mouse p53 Monoclonal Antibody | anti-p53 antibody
p53 antibody
Store at-20 degree C for long term storage.
Avoid repeated freeze/thaw cycles.
IHC (Immunohistochemisry)
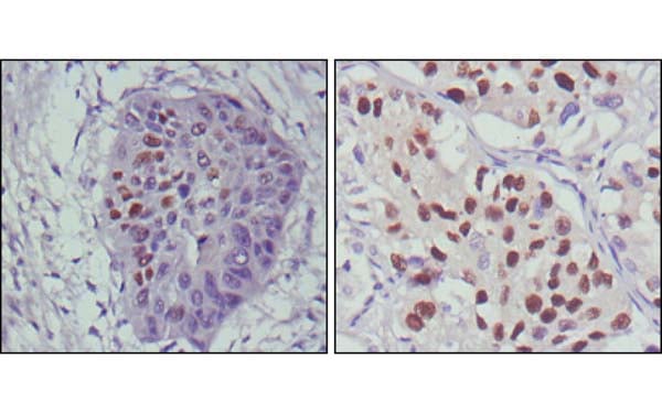
(Immunohistochemical analysis of paraffin-embedded human esophageal cancer (left) and lung cancer (right), showing nuclear localization using p53 antibody with DAB staining.)
Sequence Info: Member of the p53 family. Cytogenetic Location: 17p13.1 Molecular Location on chromosome 17: base pairs 7, 668, 401 to 7, 687, 549
Implications in Disease: Defects in p53 expression are a cause in several melanomas including lung cancer. If the TP53 gene is damaged, tumor suppression is severely reduced. People who inherit only one functional copy of the TP53 gene will most likely develop tumors in early adulthood, a disorder known as Li-Fraumeni syndrome. The TP53 gene can also be damaged in cells by mutagens (chemicals, radiation, or viruses), increasing the likelihood that the cell will begin decontrolled division. More than 50 percent of human tumors contain a mutation or deletion of the TP53 gene.
Expression Note: High levels of p53 expression were found in many cancers; and the overexpression of an apparently wild-type TP53 gene transformed a normal cell into a cancer cell. P53 is widely dispersed in the cytoplasm, nucleus and endoplasmic reticulum. Localization is predominantly nuclear but translocates to the cytoplasm. Following cell stress, cytoplasmic p53 is directed to mitochondria where it interacts with pro-and anti-apoptotic members of the Bc12 family, resulting in the release of factors from the mitochondria that drive apoptosis.
NCBI and Uniprot Product Information
Customer Reviews
Loading reviews...
Share Your Experience
Similar Products
Product Notes
The p53 tp53 (Catalog #AAA225005) is an Antibody produced from Mouse and is intended for research purposes only. The product is available for immediate purchase. AAA Biotech's p53 can be used in a range of immunoassay formats including, but not limited to, WB (Western Blot), IHC (Immunohistochemistry), ELISA. Researchers should empirically determine the suitability of the p53 tp53 for an application not listed in the data sheet. Researchers commonly develop new applications and it is an integral, important part of the investigative research process. It is sometimes possible for the material contained within the vial of "p53, Monoclonal Antibody" to become dispersed throughout the inside of the vial, particularly around the seal of said vial, during shipment and storage. We always suggest centrifuging these vials to consolidate all of the liquid away from the lid and to the bottom of the vial prior to opening. Please be advised that certain products may require dry ice for shipping and that, if this is the case, an additional dry ice fee may also be required.Precautions
All products in the AAA Biotech catalog are strictly for research-use only, and are absolutely not suitable for use in any sort of medical, therapeutic, prophylactic, in-vivo, or diagnostic capacity. By purchasing a product from AAA Biotech, you are explicitly certifying that said products will be properly tested and used in line with industry standard. AAA Biotech and its authorized distribution partners reserve the right to refuse to fulfill any order if we have any indication that a purchaser may be intending to use a product outside of our accepted criteria.Disclaimer
Though we do strive to guarantee the information represented in this datasheet, AAA Biotech cannot be held responsible for any oversights or imprecisions. AAA Biotech reserves the right to adjust any aspect of this datasheet at any time and without notice. It is the responsibility of the customer to inform AAA Biotech of any product performance issues observed or experienced within 30 days of receipt of said product. To see additional details on this or any of our other policies, please see our Terms & Conditions page.Item has been added to Shopping Cart
If you are ready to order, navigate to Shopping Cart and get ready to checkout.
