Mouse PDGFRalpha Monoclonal Antibody | anti-PDGFRalpha antibody
PDGFRalpha Mouse Monoclonal Antibody(4G11)
Gene Names
PDGFRA; CD140A; PDGFR2; PDGFR-2
Reactivity
Human, Rat, Mouse
Applications
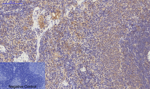
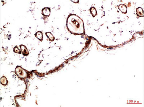
Immunohistochemistry
Synonyms
PDGFRalpha, Antibody; PDGFRalpha Mouse Monoclonal Antibody(4G11); PDGFRA; anti-PDGFRalpha antibody
Host
Mouse
Reactivity
Human, Rat, Mouse
Clonality
Monoclonal
Isotype
IgG1
Clone Number
4G11
Specificity
PDGFRa Mouse Monoclonal Antibody(4G11) detects endogenous levels of PDGFRA
Form/Format
Liquid in PBS containing 50% glycerol, 0.5% BSA and 0.02% sodium azide.
Concentration
1 mg/ml (varies by lot)
Sequence Length
1102
Applicable Applications for anti-PDGFRalpha antibody
IHC (Immunohistochemistry)
Immunogen
Synthetic Peptide
Immunogen Type
Peptide
Preparation and Storage
Store at -20 degree C
Product Categories/Family for anti-PDGFRalpha antibody
NCBI and Uniprot Product Information
NCBI GI #
NCBI GeneID
NCBI Accession #
NCBI GenBank Nucleotide #
Molecular Weight
82,809 Da
NCBI Official Full Name
platelet-derived growth factor receptor alpha isoform 4
NCBI Official Synonym Full Names
platelet derived growth factor receptor alpha
NCBI Official Symbol
PDGFRA
NCBI Official Synonym Symbols
CD140A; PDGFR2; PDGFR-2
NCBI Protein Information
platelet-derived growth factor receptor alpha
UniProt Protein Name
Platelet-derived growth factor receptor alpha
UniProt Gene Name
PDGFRA
UniProt Synonym Gene Names
PDGFR2; RHEPDGFRA; PDGF-R-alpha; PDGFR-alpha; PDGFR-2
UniProt Entry Name
PGFRA_HUMAN
Customer Reviews
Loading reviews...
Share Your Experience
Similar Products
Product Notes
The PDGFRalpha pdgfra (Catalog #AAA309524) is an Antibody produced from Mouse and is intended for research purposes only. The product is available for immediate purchase. The PDGFRalpha Mouse Monoclonal Antibody(4G11) reacts with Human, Rat, Mouse and may cross-react with other species as described in the data sheet. AAA Biotech's PDGFRalpha can be used in a range of immunoassay formats including, but not limited to, IHC (Immunohistochemistry). Researchers should empirically determine the suitability of the PDGFRalpha pdgfra for an application not listed in the data sheet. Researchers commonly develop new applications and it is an integral, important part of the investigative research process. It is sometimes possible for the material contained within the vial of "PDGFRalpha, Monoclonal Antibody" to become dispersed throughout the inside of the vial, particularly around the seal of said vial, during shipment and storage. We always suggest centrifuging these vials to consolidate all of the liquid away from the lid and to the bottom of the vial prior to opening. Please be advised that certain products may require dry ice for shipping and that, if this is the case, an additional dry ice fee may also be required.Precautions
All products in the AAA Biotech catalog are strictly for research-use only, and are absolutely not suitable for use in any sort of medical, therapeutic, prophylactic, in-vivo, or diagnostic capacity. By purchasing a product from AAA Biotech, you are explicitly certifying that said products will be properly tested and used in line with industry standard. AAA Biotech and its authorized distribution partners reserve the right to refuse to fulfill any order if we have any indication that a purchaser may be intending to use a product outside of our accepted criteria.Disclaimer
Though we do strive to guarantee the information represented in this datasheet, AAA Biotech cannot be held responsible for any oversights or imprecisions. AAA Biotech reserves the right to adjust any aspect of this datasheet at any time and without notice. It is the responsibility of the customer to inform AAA Biotech of any product performance issues observed or experienced within 30 days of receipt of said product. To see additional details on this or any of our other policies, please see our Terms & Conditions page.Item has been added to Shopping Cart
If you are ready to order, navigate to Shopping Cart and get ready to checkout.
