Rabbit anti-Human Prostatic Acid Phosphatase (ACPP) Monoclonal Antibody | anti-ACP3 antibody
Prostatic Acid Phosphatase (ACPP) Rabbit PolymAb
IHC (Immunohistochemistry)
(Immunohistochemistry analysis of paraffin-embedded Human prostate tissue using Prostatic Acid Phosphatase (ACPP) Rabbit PolymAb® (AAA282903) at a dilution of 1:1000 (40x lens). High pressure antigen retrieval performed with 0.01M Tris-EDTA Buffer (pH 9.0) prior to IHC staining.)
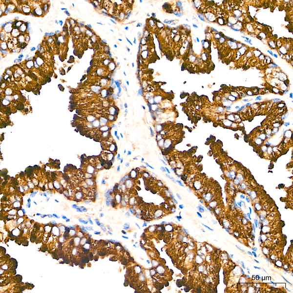
IHC (Immunohistochemisry)
(Immunohistochemistry analysis of paraffin-embedded Human prostate cancer tissue using Prostatic Acid Phosphatase (ACPP) Rabbit PolymAb® (AAA282903) at a dilution of 1:1000 (40x lens). High pressure antigen retrieval performed with 0.01M Tris-EDTA Buffer (pH 9.0) prior to IHC staining.)
WB (Western Blot)
(Western blot analysis of lysates from Rat liver using Prostatic Acid Phosphatase (ACPP) Rabbit PolymAb® (AAA282903) at 1:1000 dilution incubated overnight at 4?.Secondary antibody: HRP-conjugated Goat anti-Rabbit IgG (H+L) (AS014) at 1:10000 dilution.Lysates/proteins: 25 ug per lane.Blocking buffer: 3% nonfat dry milk in TBST.Detection: ECL Basic Kit (RM00020).Exposure time: 90s.)
WB (Western Blot)
(Western blot analysis of lysates from Mouse liver using Prostatic Acid Phosphatase (ACPP) Rabbit PolymAb® (AAA282903) at 1:1000 dilution incubated overnight at 4?.Secondary antibody: HRP-conjugated Goat anti-Rabbit IgG (H+L) (AS014) at 1:10000 dilution.Lysates/proteins: 25 ug per lane.Blocking buffer: 3% nonfat dry milk in TBST.Detection: ECL Basic Kit (RM00020).Exposure time: 45s.)
NCBI and Uniprot Product Information
Observed MW: 45kDa
Customer Reviews
Loading reviews...
Share Your Experience
Similar Products
Product Notes
The ACP3 acpp (Catalog #AAA282903) is an Antibody produced from Rabbit and is intended for research purposes only. The product is available for immediate purchase. The Prostatic Acid Phosphatase (ACPP) Rabbit PolymAb reacts with Human and may cross-react with other species as described in the data sheet. AAA Biotech's Prostatic Acid Phosphatase (ACPP) can be used in a range of immunoassay formats including, but not limited to, ELISA, IHC (Immunohistochemistry), WB (Western Blot). Researchers should empirically determine the suitability of the ACP3 acpp for an application not listed in the data sheet. Researchers commonly develop new applications and it is an integral, important part of the investigative research process. The amino acid sequence is listed below: KELKFVTLVF RHGDRSPIDT FPTDPIKESS WPQGFGQLTQ LGMEQHYELG EYIRKRYRKF LNESYKHEQV YIRSTDVDRT LMSAMTNLAA LFPPEGVSIW NPILLWQPIP VHTVPLSEDQ LLYLPFRNCP RFQELESETL KSEEFQKRLH PYKDFIATLG KLSGLHGQDL FGIWSKVYDP LYCESVHNFT LPSWATEDTM TKLRELSELS LLSLYGIHKQ KEKSRLQGGV LVNEILNHMK RATQIPSYKK LIMYSAHDTT VSGLQMALDV YNGLLPPYAS CHLTELYFEK GEYFVEMYYR NETQHEPYPL MLPGCSPSCP LERFAELVGP VIPQDWSTEC MTTNSHQGTE DSTD. It is sometimes possible for the material contained within the vial of "Prostatic Acid Phosphatase (ACPP), Monoclonal Antibody" to become dispersed throughout the inside of the vial, particularly around the seal of said vial, during shipment and storage. We always suggest centrifuging these vials to consolidate all of the liquid away from the lid and to the bottom of the vial prior to opening. Please be advised that certain products may require dry ice for shipping and that, if this is the case, an additional dry ice fee may also be required.Precautions
All products in the AAA Biotech catalog are strictly for research-use only, and are absolutely not suitable for use in any sort of medical, therapeutic, prophylactic, in-vivo, or diagnostic capacity. By purchasing a product from AAA Biotech, you are explicitly certifying that said products will be properly tested and used in line with industry standard. AAA Biotech and its authorized distribution partners reserve the right to refuse to fulfill any order if we have any indication that a purchaser may be intending to use a product outside of our accepted criteria.Disclaimer
Though we do strive to guarantee the information represented in this datasheet, AAA Biotech cannot be held responsible for any oversights or imprecisions. AAA Biotech reserves the right to adjust any aspect of this datasheet at any time and without notice. It is the responsibility of the customer to inform AAA Biotech of any product performance issues observed or experienced within 30 days of receipt of said product. To see additional details on this or any of our other policies, please see our Terms & Conditions page.Item has been added to Shopping Cart
If you are ready to order, navigate to Shopping Cart and get ready to checkout.
