Host
Mouse
Reactivity
Human
Clonality
Monoclonal
Isotype
IgG1
Clone Number
107.1A4
Specificity
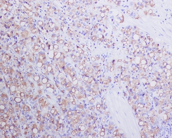
107.1A4 recognizes an antigen, which appeared to be distinct from those previously described and shows specific tumor targeting in preliminary in vivo studies. MAb 107-1A4 is suggested to recognize a distinct conformational and unique epitope in the extracellular domain of PSMA. PSMA is a type II membrane glycoprotein of 100kDa that has a short intracellular N-terminal domain (residues 1 to 18), a transmembrane region (residues 19 to 43) and a large extracellular domain consisting of residues 44 to 750.
Form/Format
Each vial contains 100 ul 1 mg/ml purified monoclonal antibody in PBS containing 0.09% sodium azide.
Applicable Applications for anti-psmA antibody
IHC (Immunohistochemistry), IHC (Immunohistochemistry), ICC (Immunocytochemistry), FCM/FACS (Flow Cytometry), ELISA
Source Note
107.1A4 is a Mouse monoclonal IgG1/k antibody derived by fusion of SP2/0-Ag14 Mouse myeloma cells with spleen cells from an immunized Mouse, using a two-phase immunization protocol involving the prostate cancer cell line LNCaP.
Product Type
Primary Antibodies
Preparation and Storage
The antibody is shipped at ambient temperature and may be stored at +4°C. For prolonged storage prepare appropriate aliquots and store at or below -20°C. Prior to use, an aliquot is thawed slowly in the dark at ambient temperature, spun down again and used to prepare working dilutions by adding sterile phosphate buffered saline (PBS, pH 7.2). Repeated thawing and freezing should be avoided. Working dilutions should be stored at +4°C, not refrozen, and preferably used the same day. If a slight precipitation occurs upon storage, this should be removed by centrifugation. It will not affect the performance or the concentration of the product.
Related Product Information for anti-psmA antibody
Prostate specific antigen (PSA) is the most widely used marker of prostate cancer. Immunoassays for PSA using monoclonal (MAb) or polyclonal antibodies have clinical appliCations, such as monitoring and early detection of prostate cancer. However, PSA is not a perfect tumor marker because Serum levels often are elevated in men with benign prostatic hyperplasia, prostatitis and other nonmalignant disorders and also because levels are not always elevated in individuals with early prostate cancer. 107-1A4 is a new prostate cancer-reactive MAb which can identify additional proteins that could be of value for the identification and treatment of prostate cancer. It shows selective reactivity to prostate epithelial membrane antigens.
Product Categories/Family for anti-psmA antibody
References
Brown, L.G., Wegner, S.K., Wang, H., Buhler, K.R., Arfman, E.W., Lange, P.H. and Vesella,. (1998). A novel monoclonal antibody 107-1A4 with high prostate specificity: geneRation, characterization of antigen expression, and targeting of Human prostate cancer xenografts. Prostate Cancer Prostatic Dis. 1, 208-15.Wang, S., Diamond, D.L., Hass, G.M., Sokoloff, R. and Vesella, R.L. (2001). IdentifiCation of prostate specific membrane antigen (PSMA) as the target of monoclonal antibody 107-1A4 by proteinchip; array, surface-enhanced laser desorption/ionization (SELDI) technology. Int J Cancer 92, 871-6.
NCBI and Uniprot Product Information
Customer Reviews
Loading reviews...
Share Your Experience
Similar Products
Product Notes
The psmA (Catalog #AAA77505) is an Antibody produced from Mouse and is intended for research purposes only. The product is available for immediate purchase. The Mouse anti PSMA reacts with Human and may cross-react with other species as described in the data sheet. AAA Biotech's PSMA can be used in a range of immunoassay formats including, but not limited to, IHC (Immunohistochemistry), IHC (Immunohistochemistry), ICC (Immunocytochemistry), FCM/FACS (Flow Cytometry), ELISA. Researchers should empirically determine the suitability of the psmA for an application not listed in the data sheet. Researchers commonly develop new applications and it is an integral, important part of the investigative research process. It is sometimes possible for the material contained within the vial of "PSMA, Monoclonal Antibody" to become dispersed throughout the inside of the vial, particularly around the seal of said vial, during shipment and storage. We always suggest centrifuging these vials to consolidate all of the liquid away from the lid and to the bottom of the vial prior to opening. Please be advised that certain products may require dry ice for shipping and that, if this is the case, an additional dry ice fee may also be required.Precautions
All products in the AAA Biotech catalog are strictly for research-use only, and are absolutely not suitable for use in any sort of medical, therapeutic, prophylactic, in-vivo, or diagnostic capacity. By purchasing a product from AAA Biotech, you are explicitly certifying that said products will be properly tested and used in line with industry standard. AAA Biotech and its authorized distribution partners reserve the right to refuse to fulfill any order if we have any indication that a purchaser may be intending to use a product outside of our accepted criteria.Disclaimer
Though we do strive to guarantee the information represented in this datasheet, AAA Biotech cannot be held responsible for any oversights or imprecisions. AAA Biotech reserves the right to adjust any aspect of this datasheet at any time and without notice. It is the responsibility of the customer to inform AAA Biotech of any product performance issues observed or experienced within 30 days of receipt of said product. To see additional details on this or any of our other policies, please see our Terms & Conditions page.Item has been added to Shopping Cart
If you are ready to order, navigate to Shopping Cart and get ready to checkout.
