Mouse anti-Human RBP4/Retinol Binding Protein 4 Monoclonal Antibody | anti-RBP4 antibody
RBP4/Retinol Binding Protein 4 Mouse Monoclonal Antibody [Clone RBP4/4053]
Gene Names
RBP4; RDCCAS
Reactivity
Human
Applications
Immunohistochemistry
Synonyms
RBP4/Retinol Binding Protein 4, Antibody; RBP4/Retinol Binding Protein 4 Mouse Monoclonal Antibody [Clone RBP4/4053]; Plasma retinol binding protein 4 (PRBP); RDCCAS; Retinol binding protein 4 interstitial; anti-RBP4 antibody
Host
Mouse
Reactivity
Human
Clonality
Monoclonal
Isotype
Mouse/IgG2c, kappa
Clone Number
RBP4/4053
Form/Format
200ug/ml of Ab purified from Bioreactor Concentrate by Protein A/G. Prepared in 10mM PBS with 0. 05% BSA & 0. 05% azide. Also available WITHOUT BSA & azide at 1.0mg/ml.
Concentration
Purified Ab with BSA and Azide at 200ug/ml
OR
Purified Ab WITHOUT BSA and Azide at 1.0mg/ml (varies by lot)
OR
Purified Ab WITHOUT BSA and Azide at 1.0mg/ml (varies by lot)
Applicable Applications for anti-RBP4 antibody
IHC (Immunohistochemistry)
Immunogen
Recombinant fragment (around aa29-148) of human RBP4 protein (exact sequence is proprietary)
Cellular Localization
Secreted
Positive Control
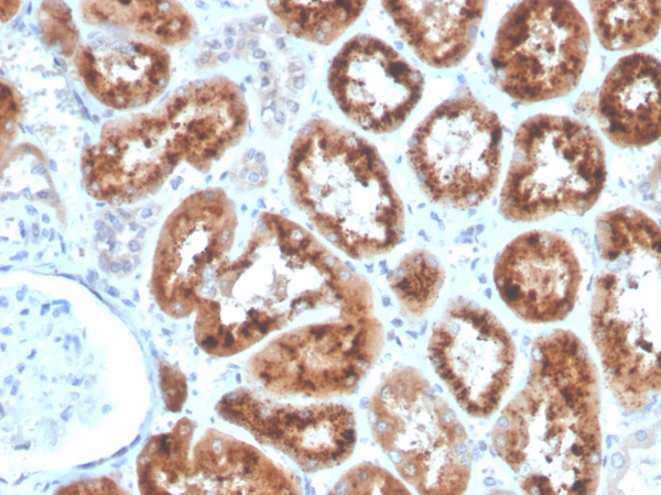
HeP-G2 cells. Human kidney, pancreas or liver tissues.
Hu-chromosome Location
10q23.33
Unigene
50223
Preparation and Storage
Antibody with azide: store at 2 to 8 degree C
Antibody without azide: store at -20 to -80 degree C
Antibody is stable for 24 months. Non-hazardous. No MSDS required.
Antibody without azide: store at -20 to -80 degree C
Antibody is stable for 24 months. Non-hazardous. No MSDS required.
Related Product Information for anti-RBP4 antibody
Retinol (Vitamin A) is transported in the blood bound to its carrier protein, retinol-binding protein (RBP), also designated plasma retinol-binding protein (PRBP) or RBP4. A member of the lipocalin family, RBP conveys retinol from stores in the liver to peripheral tissues. In plasma, RBP binds transthyretin (TTR, formerly called prealbumin) to prevent glomerular filtration of low molecular weight RBP in the kidneys. The stability of this complex holds test importance because the molar ratio of RBP:TTR provides an indirect way to indicate marginal Vitamin A deficiency. Vitamin A deficiency blocks the secretion of RBP, resulting in defective delivery and supply to epidermal cells. Originally identified solely as a transporter protein, recent studies correlating increased levels of RBP expression in adipose tissue with Insulin resistance have generated research into the possible roles the protein may play in the pathogenesis of type 2 diabetes and obesity.
NCBI and Uniprot Product Information
NCBI GI #
NCBI GeneID
NCBI Accession #
NCBI GenBank Nucleotide #
Molecular Weight
23,010 Da
NCBI Official Full Name
retinol-binding protein 4
NCBI Official Synonym Full Names
retinol binding protein 4, plasma
NCBI Official Symbol
RBP4
NCBI Official Synonym Symbols
RDCCAS
NCBI Protein Information
retinol-binding protein 4; RBP; PRBP; plasma retinol-binding protein; retinol-binding protein 4, interstitial
UniProt Protein Name
Retinol-binding protein 4
UniProt Gene Name
RBP4
UniProt Synonym Gene Names
PRBP; RBP
UniProt Entry Name
RET4_HUMAN
Customer Reviews
Loading reviews...
Share Your Experience
Similar Products
Product Notes
The RBP4 rbp4 (Catalog #AAA215874) is an Antibody produced from Mouse and is intended for research purposes only. The product is available for immediate purchase. The RBP4/Retinol Binding Protein 4 Mouse Monoclonal Antibody [Clone RBP4/4053] reacts with Human and may cross-react with other species as described in the data sheet. AAA Biotech's RBP4/Retinol Binding Protein 4 can be used in a range of immunoassay formats including, but not limited to, IHC (Immunohistochemistry). Researchers should empirically determine the suitability of the RBP4 rbp4 for an application not listed in the data sheet. Researchers commonly develop new applications and it is an integral, important part of the investigative research process. It is sometimes possible for the material contained within the vial of "RBP4/Retinol Binding Protein 4, Monoclonal Antibody" to become dispersed throughout the inside of the vial, particularly around the seal of said vial, during shipment and storage. We always suggest centrifuging these vials to consolidate all of the liquid away from the lid and to the bottom of the vial prior to opening. Please be advised that certain products may require dry ice for shipping and that, if this is the case, an additional dry ice fee may also be required.Precautions
All products in the AAA Biotech catalog are strictly for research-use only, and are absolutely not suitable for use in any sort of medical, therapeutic, prophylactic, in-vivo, or diagnostic capacity. By purchasing a product from AAA Biotech, you are explicitly certifying that said products will be properly tested and used in line with industry standard. AAA Biotech and its authorized distribution partners reserve the right to refuse to fulfill any order if we have any indication that a purchaser may be intending to use a product outside of our accepted criteria.Disclaimer
Though we do strive to guarantee the information represented in this datasheet, AAA Biotech cannot be held responsible for any oversights or imprecisions. AAA Biotech reserves the right to adjust any aspect of this datasheet at any time and without notice. It is the responsibility of the customer to inform AAA Biotech of any product performance issues observed or experienced within 30 days of receipt of said product. To see additional details on this or any of our other policies, please see our Terms & Conditions page.Item has been added to Shopping Cart
If you are ready to order, navigate to Shopping Cart and get ready to checkout.
