Mouse Renalase Monoclonal Antibody | anti-RNLS antibody
Renalase (Renal Cell Marker)
Gene Names
RNLS; C10orf59; RENALASE
Reactivity
Human. Others not known.
Applications
Immunohistochemistry, ELISA
Synonyms
Renalase, Antibody; Renalase (Renal Cell Marker); Chromosome 10 open reading frame 59; MAO C; MAO-C; Monoamine oxidase-C; Renalase; Renalase FAD dependent amine oxidase; RNLS; anti-RNLS antibody
Host
Mouse
Reactivity
Human. Others not known.
Clonality
Monoclonal
Isotype
IgG2b
Clone Number
RNLS/1940
Specificity
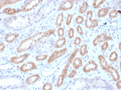
Renalase is a 342 amino acid FAD-dependent amine oxidase that is highly expressed in kidney and is expressed at a lower level in heart, skeletal muscle and small intestine. Renalase is secreted in the blood by the kidney and it is thought to regulate cardiac function and systemic blood pressure. It is also suggested that Renalase functions as a hormone that metabolizes circulating catecholamines, which have an active role in the sympathetic and parasympathetic nervous systems. Individuals with chronic kidney disease and end-stage renal disease have markedly reduced levels of plasma Renalase than healthy individuals. Infusion of Renalase in animal models causes decrease in heart rate, cardiac contractility and blood pressure. Two isoforms of Renalase exist due to alternative splicing events.
Form/Format
200ug/ml of Ab purified from Bioreactor Concentrate by Protein A/G. Prepared in 10mM PBS with 0.05% BSA & 0.05% azide. Also available WITHOUT BSA & azide at 1.0mg/ml.
Sequence Length
342
Applicable Applications for anti-RNLS antibody
IHC (Immunohistochemistry), ELISA
Immunogen
Recombinant human RNLS protein fragment (around aa 34-235)
Cellular Localization
Secreted
Hu-chromosome Location
10q23.31
Positive Control
293T Cells. Heart or Kidney
References
Luft, F.C. 2005. Renalase, a catecholamine-metabolizing hormone from thekidney. Cell Metab. 1: 358-360.
NCBI and Uniprot Product Information
NCBI GI #
NCBI GeneID
NCBI Accession #
NCBI GenBank Nucleotide #
Molecular Weight
38kDa
NCBI Official Full Name
renalase isoform 1
NCBI Official Synonym Full Names
renalase, FAD dependent amine oxidase
NCBI Official Symbol
RNLS
NCBI Official Synonym Symbols
C10orf59; RENALASE
NCBI Protein Information
renalase
UniProt Protein Name
Renalase
UniProt Gene Name
RNLS
UniProt Synonym Gene Names
C10orf59; MAO-C
Customer Reviews
Loading reviews...
Share Your Experience
Similar Products
Product Notes
The RNLS rnls (Catalog #AAA214680) is an Antibody produced from Mouse and is intended for research purposes only. The product is available for immediate purchase. The Renalase (Renal Cell Marker) reacts with Human. Others not known. and may cross-react with other species as described in the data sheet. AAA Biotech's Renalase can be used in a range of immunoassay formats including, but not limited to, IHC (Immunohistochemistry), ELISA. Researchers should empirically determine the suitability of the RNLS rnls for an application not listed in the data sheet. Researchers commonly develop new applications and it is an integral, important part of the investigative research process. It is sometimes possible for the material contained within the vial of "Renalase, Monoclonal Antibody" to become dispersed throughout the inside of the vial, particularly around the seal of said vial, during shipment and storage. We always suggest centrifuging these vials to consolidate all of the liquid away from the lid and to the bottom of the vial prior to opening. Please be advised that certain products may require dry ice for shipping and that, if this is the case, an additional dry ice fee may also be required.Precautions
All products in the AAA Biotech catalog are strictly for research-use only, and are absolutely not suitable for use in any sort of medical, therapeutic, prophylactic, in-vivo, or diagnostic capacity. By purchasing a product from AAA Biotech, you are explicitly certifying that said products will be properly tested and used in line with industry standard. AAA Biotech and its authorized distribution partners reserve the right to refuse to fulfill any order if we have any indication that a purchaser may be intending to use a product outside of our accepted criteria.Disclaimer
Though we do strive to guarantee the information represented in this datasheet, AAA Biotech cannot be held responsible for any oversights or imprecisions. AAA Biotech reserves the right to adjust any aspect of this datasheet at any time and without notice. It is the responsibility of the customer to inform AAA Biotech of any product performance issues observed or experienced within 30 days of receipt of said product. To see additional details on this or any of our other policies, please see our Terms & Conditions page.Item has been added to Shopping Cart
If you are ready to order, navigate to Shopping Cart and get ready to checkout.
