Mouse RENALASE Monoclonal Antibody | anti-RENALASE antibody
RENALASE Mouse Monoclonal
Applications
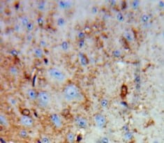
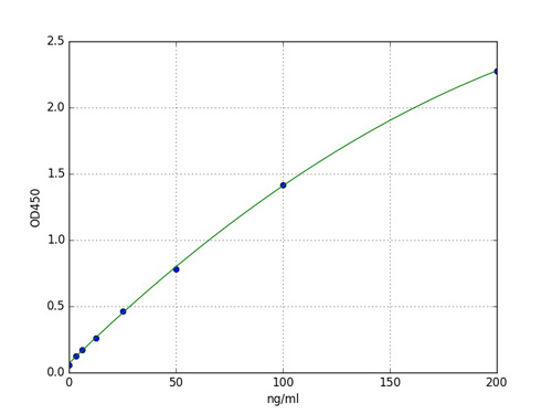
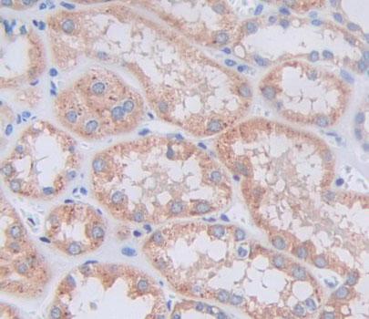
ELISA, Western Blot, Immunohistochemistry
Purity
Purity: >=95% as determined by SDS-PAGEPurification: Protein A+G purification
Synonyms
RENALASE, Antibody; RENALASE Mouse Monoclonal; C10orf59, MAO C, Monoamine oxidase C, RENALASE, RNLS; anti-RENALASE antibody
Host
Mouse
Clonality
Monoclonal
Isotype
IgG1
Specificity
Human; other species are not tested. Please decide the specificity by homology
Purity/Purification
Purity: >=95% as determined by SDS-PAGE
Purification: Protein A+G purification
Purification: Protein A+G purification
Form/Format
Liquid; PBS with 0.1% sodium azide and 50% glycerol pH 7.3
Applicable Applications for anti-RENALASE antibody
ELISA, WB (Western Blot), IHC (Immunohistochemistry)
Application Notes
WB: 1:1000-1:10000
IHC: 1:20-1:200
IHC: 1:20-1:200
Immunogen
Renalase
Preparation and Storage
-20°C for 12 months (Avoid repeated freeze / thaw cycles.)
Related Product Information for anti-RENALASE antibody
RNLS, also named as Renalase, C10orf59 and MAO-C, belongs to the renalase family. It is probable FAD-dependent amine oxidase secreted by the kidney, which circulates in blood and modulates cardiac function and systemic blood pressure. RNLS degrades catecholamines such as dopamine, norepinephrine and epinephrine in vitro. It lowers blood pressure in vivo by decreasing cardiac contractility and heart rate and preventing a compensatory increase in peripheral vascular tone, suggesting a causal link to the increased plasma catecholamine and heightened cardiovascular risk. High concentrations of catecholamines activate plasma renalase and promotes its secretion and synthesis. RNLS has physiologically relevant catecholamine-oxidizing activity. (PMID:15841207) This antibody is specific to RNLS.
NCBI and Uniprot Product Information
UniProt Accession #
Molecular Weight
38kDa
Customer Reviews
Loading reviews...
Share Your Experience
Similar Products
Product Notes
The RENALASE (Catalog #AAA27493) is an Antibody produced from Mouse and is intended for research purposes only. The product is available for immediate purchase. AAA Biotech's RENALASE can be used in a range of immunoassay formats including, but not limited to, ELISA, WB (Western Blot), IHC (Immunohistochemistry). WB: 1:1000-1:10000 IHC: 1:20-1:200. Researchers should empirically determine the suitability of the RENALASE for an application not listed in the data sheet. Researchers commonly develop new applications and it is an integral, important part of the investigative research process. It is sometimes possible for the material contained within the vial of "RENALASE, Monoclonal Antibody" to become dispersed throughout the inside of the vial, particularly around the seal of said vial, during shipment and storage. We always suggest centrifuging these vials to consolidate all of the liquid away from the lid and to the bottom of the vial prior to opening. Please be advised that certain products may require dry ice for shipping and that, if this is the case, an additional dry ice fee may also be required.Precautions
All products in the AAA Biotech catalog are strictly for research-use only, and are absolutely not suitable for use in any sort of medical, therapeutic, prophylactic, in-vivo, or diagnostic capacity. By purchasing a product from AAA Biotech, you are explicitly certifying that said products will be properly tested and used in line with industry standard. AAA Biotech and its authorized distribution partners reserve the right to refuse to fulfill any order if we have any indication that a purchaser may be intending to use a product outside of our accepted criteria.Disclaimer
Though we do strive to guarantee the information represented in this datasheet, AAA Biotech cannot be held responsible for any oversights or imprecisions. AAA Biotech reserves the right to adjust any aspect of this datasheet at any time and without notice. It is the responsibility of the customer to inform AAA Biotech of any product performance issues observed or experienced within 30 days of receipt of said product. To see additional details on this or any of our other policies, please see our Terms & Conditions page.Item has been added to Shopping Cart
If you are ready to order, navigate to Shopping Cart and get ready to checkout.
