Mouse anti-Human SHC Monoclonal Antibody | anti-SHC antibody
SHC (SHC-transforming Protein 1, SH2 Domain Protein C1, SHC1, SHC-transforming Protein 3, SHC-transforming Protein A, SHCA, Src Homology 2 Domain-containing-transforming Protein C1, FLJ26504) (PE)
Applications are based on unconjugated antibody.
Application Data
(Proximity Ligation Analysis (PLA) of protein-protein interactions between PIK3R1 and SHC1 Huh7 cells were stained with PIK3R1 rabbit purified polyclonal 1:1200 and anti-SHC1 mouse monoclonal antibody 1:50. Signals were detected 30 Detection Kit 613 (red), and nuclei were counterstained with DAPI (blue). Each red dot represents the detection of protein-protein interaction complex.)
Application Data
(Proximity Ligation Analysis (PLA) of protein-protein interactions between PIK3R1 and SHC1 HeLa cells were stained with PIK3R1 rabbit purified polyclonal 1:1200 and SHC1 mouse monoclonal antibody 1:50. Signals were detected by 30 Detection Kit 613 (red), and nuclei were counterstained with DAPI (blue). Each red dot represents the detection of protein-protein interaction complex.)
Application Data
(Detection limit for recombinant GST tagged SHC1 is ~0.03ng/ml as a capture antibody.)
IF (Immunofluorescence)
(Immunofluorescence of monoclonal antibody to SHC1 on A-431 cell. [antibody concentration 10ug/ml].)
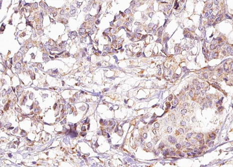
IHC (Immunohistochemistry)
(Immunoperoxidase of monoclonal antibody to SHC1 on formalin-fixed paraffin-embedded human stomach. [antibody concentration 1ug/ml].)
NCBI and Uniprot Product Information
Customer Reviews
Loading reviews...
Share Your Experience
Similar Products
Product Notes
The SHC (Catalog #AAA25836) is an Antibody produced from Mouse and is intended for research purposes only. The product is available for immediate purchase. The SHC (SHC-transforming Protein 1, SH2 Domain Protein C1, SHC1, SHC-transforming Protein 3, SHC-transforming Protein A, SHCA, Src Homology 2 Domain-containing-transforming Protein C1, FLJ26504) (PE) reacts with Human and may cross-react with other species as described in the data sheet. AAA Biotech's SHC can be used in a range of immunoassay formats including, but not limited to, ELISA, IF (Immunofluorescence), IHC (Immunohistochemistry), WB (Western Blot). IF: 10ug/ml Applications are based on unconjugated antibody. Researchers should empirically determine the suitability of the SHC for an application not listed in the data sheet. Researchers commonly develop new applications and it is an integral, important part of the investigative research process. It is sometimes possible for the material contained within the vial of "SHC, Monoclonal Antibody" to become dispersed throughout the inside of the vial, particularly around the seal of said vial, during shipment and storage. We always suggest centrifuging these vials to consolidate all of the liquid away from the lid and to the bottom of the vial prior to opening. Please be advised that certain products may require dry ice for shipping and that, if this is the case, an additional dry ice fee may also be required.Precautions
All products in the AAA Biotech catalog are strictly for research-use only, and are absolutely not suitable for use in any sort of medical, therapeutic, prophylactic, in-vivo, or diagnostic capacity. By purchasing a product from AAA Biotech, you are explicitly certifying that said products will be properly tested and used in line with industry standard. AAA Biotech and its authorized distribution partners reserve the right to refuse to fulfill any order if we have any indication that a purchaser may be intending to use a product outside of our accepted criteria.Disclaimer
Though we do strive to guarantee the information represented in this datasheet, AAA Biotech cannot be held responsible for any oversights or imprecisions. AAA Biotech reserves the right to adjust any aspect of this datasheet at any time and without notice. It is the responsibility of the customer to inform AAA Biotech of any product performance issues observed or experienced within 30 days of receipt of said product. To see additional details on this or any of our other policies, please see our Terms & Conditions page.Item has been added to Shopping Cart
If you are ready to order, navigate to Shopping Cart and get ready to checkout.
