SHC Polyclonal Antibody | anti-SHC antibody
Anti-SHC Antibody
IHC (Immunohistochemistry)
(Anti- SHC1 Picoband antibody, AAA46419, IHC(F)IHC(F): Human Placenta Tissue)
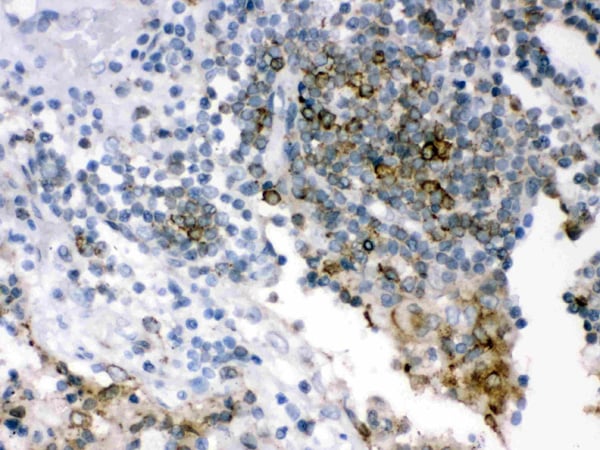
IHC (Immunohistochemistry)
(Anti- SHC1 Picoband antibody, AAA46419, IHC(P)IHC(P): Human Lung Cancer Tissue)
IHC (Immunohiostchemistry)
(Anti- SHC1 Picoband antibody, AAA46419, IHC(P)IHC(P): Mouse Brain Tissue)
WB (Western Blot)
(Anti- SHC1 Picoband antibody, AAA46419, Western blottingAll lanes: Anti SHC1 (AAA46419) at 0.5ug/mlLane 1: Rat Thymus Tissue Lysate at 50ugLane 2: Mouse Testis Tissue Lysate at 50ugLane 3: JURKAT Whole Cell Lysate at 40ugLane 4: K562 Whole Cell Lysate at 40ugLane 5: HELA Whole Cell Lysate at 40ugPredicted bind size: 63KDObserved bind size: 63KD)
Background: SHC, also known as SHC1 (SHC-transforming protein 1) or SHCA, is a protein that in humans is encoded by the SHC1 gene. SCOP classifies the 3D structure as belonging to the SH2 domain family. This gene encodes three main isoforms that differ in activities and subcellular location. While all three are adapter proteins in signal transduction pathways, the longest (p66Shc) may be involved in regulating life span and the effects of reactive oxygen species. The other two isoforms, p52Shc and p46Shc, link activated receptor tyrosine kinases to the Ras pathway by recruitment of the GRB2/SOS complex. p66Shc is not involved in Ras activation. Unlike the other two isoforms, p46Shc is targeted to the mitochondrial matrix. Several transcript variants encoding different isoforms have been found for this gene.
NCBI and Uniprot Product Information
Customer Reviews
Loading reviews...
Share Your Experience
Similar Products
Product Notes
The SHC shc1 (Catalog #AAA46419) is an Antibody and is intended for research purposes only. The product is available for immediate purchase. The Anti-SHC Antibody reacts with Human, Mouse, Rat and may cross-react with other species as described in the data sheet. AAA Biotech's SHC can be used in a range of immunoassay formats including, but not limited to, IHC (Immunohistochemistry), WB (Western Blot). Researchers should empirically determine the suitability of the SHC shc1 for an application not listed in the data sheet. Researchers commonly develop new applications and it is an integral, important part of the investigative research process. It is sometimes possible for the material contained within the vial of "SHC, Polyclonal Antibody" to become dispersed throughout the inside of the vial, particularly around the seal of said vial, during shipment and storage. We always suggest centrifuging these vials to consolidate all of the liquid away from the lid and to the bottom of the vial prior to opening. Please be advised that certain products may require dry ice for shipping and that, if this is the case, an additional dry ice fee may also be required.Precautions
All products in the AAA Biotech catalog are strictly for research-use only, and are absolutely not suitable for use in any sort of medical, therapeutic, prophylactic, in-vivo, or diagnostic capacity. By purchasing a product from AAA Biotech, you are explicitly certifying that said products will be properly tested and used in line with industry standard. AAA Biotech and its authorized distribution partners reserve the right to refuse to fulfill any order if we have any indication that a purchaser may be intending to use a product outside of our accepted criteria.Disclaimer
Though we do strive to guarantee the information represented in this datasheet, AAA Biotech cannot be held responsible for any oversights or imprecisions. AAA Biotech reserves the right to adjust any aspect of this datasheet at any time and without notice. It is the responsibility of the customer to inform AAA Biotech of any product performance issues observed or experienced within 30 days of receipt of said product. To see additional details on this or any of our other policies, please see our Terms & Conditions page.Item has been added to Shopping Cart
If you are ready to order, navigate to Shopping Cart and get ready to checkout.
